metricas
covid
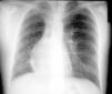
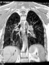
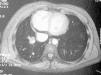
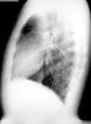
Radiología Caso en imagen:2
Información de la revista
Vol. 49. Núm. 5.
Páginas 322 (Septiembre 2007)
Compartir
Descargar PDF
Más opciones de artículo
Vol. 49. Núm. 5.
Páginas 322 (Septiembre 2007)
Caso en imagen:2
Case 2
Visitas
18325
FJ de Castro Garcíaa, JA. Santos Sánchezb, JA. Gutiérrez Díezb
a Centro Diagnóstico Recoletas Salamanca. Salamanca.
b Servicio de Radiodiagnóstico. Hospital Universitario de Salamanca. Salamanca. España.
Este artículo ha recibido
Información del artículo
Texto completo
Descargar PDF
Estadísticas
Figuras (5)
Mostrar másMostrar menos

Artículo

Opciones para acceder a los textos completos de la publicación Radiología
Suscriptor
Suscriptor de la revista

Si ya tiene sus datos de acceso, clique aquí.

Si olvidó su clave de acceso puede recuperarla clicando aquí y seleccionando la opción "He olvidado mi contraseña".
Suscribirse
Suscribirse a:

Radiología

Comprar
Comprar acceso al artículo

Comprando el artículo el PDF del mismo podrá ser descargado

Comprar ahora
Contactar
Teléfono para suscripciones e incidencias
De lunes a viernes de 9h a 18h (GMT+1) excepto los meses de julio y agosto que será de 9 a 15h
Llamadas desde España
932 415 960
Llamadas desde fuera de España
+34 932 415 960
E-mail
Opciones de artículo
Herramientas