metricas
covid
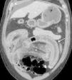
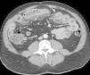
Radiología Angioedema de intestino delgado secundario a inhibidor de la enzima convertidora...
Información de la revista
Vol. 57. Núm. 5.
Páginas 449-450 (Septiembre - Octubre 2015)
Compartir
Descargar PDF
Más opciones de artículo
Vol. 57. Núm. 5.
Páginas 449-450 (Septiembre - Octubre 2015)
Carta científica
Angioedema de intestino delgado secundario a inhibidor de la enzima convertidora de la angiotensina
Angioedema of the small bowel secondary to treatment with angiotensin converting enzyme inhibitor
Visitas
2619
D. Romeu Vilara,
Autor para correspondencia
doc_romeu@yahoo.com

Autor para correspondencia.
, D. López Reyb
a Servicio de Radiodiagnóstico, Hospital Virxe da Xunqueira, Cee, A Coruña, España
b Servicio de Radiodiagnóstico, Complejo Hospitalario Universitario de A Coruña (CHUAC), A Coruña, España
Este artículo ha recibido
Información del artículo
Texto completo
Bibliografía
Descargar PDF
Estadísticas
Figuras (2)

Artículo

Opciones para acceder a los textos completos de la publicación Radiología
Suscriptor
Suscriptor de la revista

Si ya tiene sus datos de acceso, clique aquí.

Si olvidó su clave de acceso puede recuperarla clicando aquí y seleccionando la opción "He olvidado mi contraseña".
Suscribirse
Suscribirse a:

Radiología

Comprar
Comprar acceso al artículo

Comprando el artículo el PDF del mismo podrá ser descargado

Comprar ahora
Contactar
Teléfono para suscripciones e incidencias
De lunes a viernes de 9h a 18h (GMT+1) excepto los meses de julio y agosto que será de 9 a 15h
Llamadas desde España
932 415 960
Llamadas desde fuera de España
+34 932 415 960
E-mail
Opciones de artículo
Herramientas