La siderosis del sistema nervioso es un cuadro clínico originado por el depósito de hemosiderina en la superficie de la piamadre y en las células adyacentes del sistema nervioso central. Su acción nociva destruye las neuronas superficiales, especialmente las del cerebelo, tronco cerebral y médula, provocando proliferación de la glía y fibrosis1. Las manifestaciones clínicas pueden ser amplias, siendo las más frecuentes la sordera, la ataxia y la exaltación de los reflejos profundos2. Las restantes manifestaciones se presentan en menos de la mitad de los casos3.
La siderosis superficial del sistema nervioso es un cuadro poco frecuente. Hasta 1999 sólo se registraban en la literatura médica 95 casos3. La edad del diagnóstico oscila entre 14 y 77 años y la defunción oscila entre 1 y 38 años tras el diagnóstico2.
La etiología queda sin resolver en muchos casos. En aquellos casos en que se demuestra el origen del sangrado, las causas más frecuentes son la patología dural (47%), como los seudomeningoceles, y los tumores (35%). Las intervenciones quirúrgicas como causantes del problema que nos ocupa también han sido descritas4: destacan la hemisferectomía y la intervención de tumores cerebrales.Presentamos el caso clínico de un varón de 47 años, intervenido hace 21 años de un meningioma intrarraquídeo a nivel T4-T5 (alta en julio de 1988) que un año después de la intervención empezó a presentar crisis de cefaleas, en forma acuminada con gran agitación psicomotriz pero sin rinorrea, lagrimeo ni ptosis.
Las crisis fueron cada vez más frecuentes e intensas, motivando la incapacidad laboral a finales de 2004: los triptanes fueron ineficaces así como la profilaxis con propranolol y amitriptilina. Se prescribió tratamiento profiláctico con metisergida y flunaricina, obteniéndose crisis más esporádicas, menos duraderas y menos intensas. En marzo del año 2008 se retiró la metisergida.
Los controles radiológicos (tórax y abdomen) y sistema vascular periférico fueron siempre normales.
En enero de 2009 el paciente acudió de urgencias por una crisis de cefalea intensísima iniciada 2 días antes. La exploración neurológica fue normal, no presentando signos meníngeos. Se le administró prednisolona 40mg cada 12h por vía intravenosa. El dolor remitió a las 12h de iniciado el tratamiento.
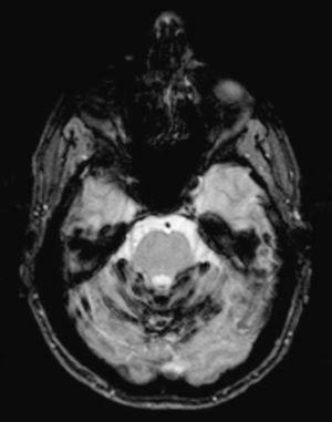
La resonancia magnética (RM) cerebral (Philips Intera 1,5 T) mostró una manifiesta hipointensidad lineal siguiendo las superficies leptomeníngeas vermianas y cerebelosas, y de forma menos extensa las superficies leptomeníngeas cerebrales, compatible con siderosis superficial por depósito de productos de degradación de la sangre. Discreto ensanchamiento de los surcos vermianos superiores y cerebelosos por atrofia focal. Dichos hallazgos eran más manifiestos en las secuencias T2 GE (fig. 1).
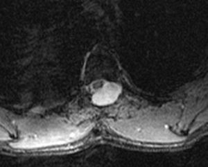
La RM medular mostró cambios quirúrgicos dorsales con resección de elementos posteriores y un voluminoso seudomeningocele posterolateral izquierdo en T4-T5, zona de la intervención del tumor, que desplazaba el cordón medular y remodelaba las estructuras vertebrales adyacentes. No se observaron alteraciones significativas en la señal de resonancia medular, a excepción de un fino halo hipointenso periférico en secuencias GE a nivel de la intervención, que probablemente correspondía también a una mínima siderosis meníngea (fig. 2).
El líquido cefalorraquídeo (LCR) mostró aspecto levemente xantocrómico, con 12 eritrocitos por mm3, escasos monocitos, linfocitos y neutrófilos. Las proteínas mostraban 0,55g/l.
En la exploración neurológica no se comprobó en ninguna ocasión síndrome cerebeloso, ataxia, ni hipoacusia, manifestaciones habituales de la siderosis superficial2,5–7. Existía hiperreflexia en extremidades inferiores, como secuela de la compresión medular originada por el tumor extirpado en 1988 y quizás mantenida por la acción del meningocele en la intervención quirúrgica. No se detectó deterioro de las funciones superiores.
La RM cerebral practicada en el último ingreso fue definitiva para el diagnóstico al demostrar la siderosis, en especial cerebelosa (fig. 1). Examinadas con detalle las RM cerebrales realizadas en 1989 y 2000, se comprobó la presencia de débiles depósitos de siderina en el vermis y hemisferios cerebelosos, que en aquel momento no se valoraron. La gran sensibilidad de la RM para detectar el depósito de hemosiderina y ferritina permite el diagnóstico de siderosis superficial en el periodo presintomático que puede alcanzar 30 años. Ello podría explicar la ausencia de las manifestaciones clínicas más características en nuestro enfermo.
Este caso es similar a los descritos por Kumar et al5, Anderson et al4 y Kole et al6, con presencia de meningocele posquirúrgico, probablemente relacionado con el sangrado crónico. La acción quirúrgica sobre el meningocele sangrante, practicada por Kole et al6, parece ser el único caso de éxito terapéutico. Actualmente, debido a la mejoría de sus molestias, el enfermo ha rechazado la exploración quirúrgica para determinar el origen del sangrado que motiva el cuadro. Queda por resolver la causa de las cefaleas que podrían ser secundarias a episodios de sangrado subaracnoideo con irritación meníngea o a cuadros de hipotensión licuoral relacionados con el seudomeningocele.





