La radiocirugía estereotáctica con Gamma Knife® (GK), sobre el núcleo ventral intermedio-medial del tálamo (VIM), unilateral es una opción neuroquirúrgica mínimamente invasiva para el temblor refractario. Se describe la experiencia de talamotomía con GK (TGK) en pacientes con temblor esencial (TE) y enfermedad de Parkinson (EP) de predominio tremórico de una unidad especializada en cirugía estereotáctica.
MétodosSe revisan los pacientes tratados con TGK desde enero de 2014 hasta febrero de 2018. Se analizan variables clínico-demográficas, indicación, dosis empleada, eficacia (mediante subescalas de Fahn-Tolosa-Marin (FTM) y MDS-UPDRS motora) y efectos adversos (EA).
ResultadosSe registraron 13 pacientes, seis con diagnóstico de EP de predominio tremórico, cuetro con TE refractario y tres casos de TE + EP. La mediana de edad fue 78 años (62-83), con siete pacientes > 75 años. Cuatro pacientes anticoagulados y dos con antecedentes de ictus previo. La dosis máxima de radiación aplicada fue 130 Gy. La media de seguimiento fue 30,0 (14,5) meses. Se observó una mejoría significativa del temblor en las subescalas de FTM del 63,6% a 12 meses y del 63,5% al final del seguimiento y en items de temblor de MDS-UPDRS del 71,3% a 12 meses y del 60,3% al final del seguimiento. Once pacientes refirieron mejoría significativa en su calidad de vida. Tres pacientes refirieron EA leves y transitorios.
ConclusionesSe presenta la mayor serie de pacientes con TE y parkinsoniano tratados con TGK en España con seguimiento a largo plazo. La TGK puede ser un tratamiento seguro y con eficacia mantenida en temblor refractario, incluso en edad avanzada o en tratamiento anticoagulante.
Unilateral Gamma Knife™ stereotactic radiosurgery on the ventral-intermediate nucleus of the thalamus is a minimally invasive neurosurgical option for refractory tremor. We describe the experience of Gamma Knife™ thalamotomy (GKT) in patients with essential tremor (ET) and tremor-dominant Parkinson's disease (PD) at our specialised stereotactic neurosurgery unit.
MethodsWe reviewed the cases of patients treated with GKT between January 2014 and February 2018 with a minimum of 12 months’ follow-up. We analysed clinical and demographic variables, indication, radiation dose, effectiveness (based on subscales of the Fahn-Tolosa-Marin [FTM] scale and the Movement Disorders Society-Unified Parkinson's Disease Rating Scale [MDS-UPDRS] motor score), and adverse events.
ResultsThirteen patients were registered, 6 with a diagnosis of tremor-dominant PD, four with refractory ET, and three with ET and PD. Median age was 78 years (range, 62-83), with seven patients aged over 75 years. Four patients were receiving anticoagulants and two had history of stroke. The maximum radiation dose administered was 130 Gy. Mean (standard deviation) follow-up duration was 30.0 (14.5) months. Significant tremor improvement was observed on the FTM subscales: 63.6% at 12 months and 63.5% at the end of follow-up; MDS-UPDRS tremor items showed improvements of 71.3% at 12 months and 60.3% at the end of follow up. Eleven patients reported significant improvements in quality of life, and 3 reported mild and transient adverse effects.
ConclusionsThis is the largest series of patients with essential and parkinsonian tremor treated with GKT and followed up in the long term in Spain. GKT can be safe and effective in the long term in patients with refractory tremor, including in elderly patients and those receiving anticoagulants.
El temblor es uno de los motivos de consulta más frecuentes en neurología y el más prevalente dentro de los trastornos del movimiento. Si bien se trata de un síntoma benigno en la mayoría de los casos, tiende a empeorar con la edad y la progresión de la enfermedad subyacente, pudiendo llegar a ser invalidante y refractario al tratamiento médico1,2. Las dos causas más importantes de temblor patológico son el temblor esencial (TE) y el asociado con la enfermedad de Parkinson (EP)3. La estimulación cerebral profunda (ECP) bilateral del núcleo ventral intermedio-medial (VIM), del tálamo y del núcleo subtalámico, han demostrado eficacia en el tratamiento del temblor refractario bajo unos riesgos conocidos, los más importantes inherentes al proceso quirúrgico, en pacientes diagnosticados de TE y EP adecuadamente seleccionados4,5. La radiocirugía estereotáctica con Gamma Knife (GK), utilizando como diana para el temblor el VIM talámico unilateral, es una opción de tratamiento quirúrgico mínimamente invasivo que ha suscitado un interés creciente en los últimos tiempos6,7 y que puede ser especialmente valiosa en pacientes en los que, por edad avanzada o comorbilidad, la ECP se encuentre formalmente contraindicada8. El objetivo del presente trabajo es describir la experiencia de una unidad de neurocirugía estereotáctica a largo plazo de la talamotomía unilateral con GK (TGK) en pacientes con TE y EP de predominio tremórico, refractarios al tratamiento farmacológico. Finalmente, se pone en contexto esta opción quirúrgica entre las disponibles en la actualidad para el tratamiento del temblor.
MétodosSe revisaron de forma retrospectiva la totalidad de los pacientes tratados por temblor con TGK unilateral en nuestro centro desde enero de 2014 hasta febrero de 2018. Se recogieron datos clínico-demográficos como edad, sexo, diagnóstico y tiempo de evolución de los síntomas, el número de tratamientos orales empleados, la indicación para TGK y el tiempo de seguimiento. El diagnóstico de TE, EP, o ambos, fue realizado por un especialista en trastornos del movimiento, siguiendo los criterios diagnósticos validados9,10. La indicación para el tratamiento con TGK fue, en el caso del TE, el presentar un temblor discapacitante en la mano dominante que fuera refractario a los fármacos antitremóricos o con mala tolerancia a los mismos. Se consideró paciente refractario a antitremóricos al paciente con mal control del temblor tras el uso de dos fármacos de primera línea (propranolol y primidona) o en caso de contraindicación de alguno de los de primera línea, uno de primera línea y al menos uno de segunda línea (topiramato, gabapentina, alprazolam, zonisamida, etc.). En el caso de la EP, el candidato ideal se consideró al paciente con un temblor asimétrico intenso, que implicase un deterioro significativo en su calidad de vida, independientemente de si el lado más afectado era el dominante, y que no se controlase con el tratamiento antiparkinsoniano oral optimizado. No fue requisito para este tratamiento la presencia o no de fluctuaciones motoras. La demencia se consideró criterio de exclusión.
En todos los casos, se empleó el Leksell Gamma Knife® con diana en VIM talámico de forma unilateral, siguiendo un protocolo de localización de la zona a irradiar mediante resonancia magnética de 3 teslas y con participación de un equipo multidisciplinar formado por neurorradiólogo, físico médico, oncólogo radioterápico, neuropsicólogo, neurólogos y neurocirujanos con experiencia en radiocirugía estereotáctica. Utilizamos el sistema de Taillerach modificado por Regis y Ohye, localizamos la línea intercomisural y aplicamos un cálculo rectangular. Hemos obtenido unas coordenadas medias de3,5-4 mm sobre la línea intercomisural (Z), 7-8 mm anterior a la comisura posterior (Y) y 11 mm lateral a la pared del tercer ventrículo (X). La localización del VIM la comparamos con las coordenadas del atlas Wahren y Schaltenbrand11, calculadas mediante un programa estereotáxico propio (Estereonauta®). Realizamos por separado los dos cálculos en la resonancia magnética (RM) cerebral en condiciones estereotáxicas en secciones de 1,2 mm en T1 y 2 mm en T2, axial y coronal. Asimismo, localizamos en la RM la cápsula interna y la correlacionamos mediante fusión con la tractografía efectuada en RM funcional de 3 teslas. La dosis máxima de radiación aplicada fue de 130 Gy, mediante un solo colimador de 4 mm.
La eficacia se obtuvo en base a escalas clínicas validadas, obtenidas en situación basal, a los 12 meses y al final del período de seguimiento. En cuatro de los 13 pacientes incluidos las puntuaciones en las escalas pre-procedimiento se calcularon mediante la evaluación de los vídeos basales por un especialista en trastornos del movimiento (JRPS). En pacientes con TE se evaluó eficacia mediante la escala para la valoración del temblor de Fahn-Tolosa-Marin (FTM)12, con base en los ítems de intensidad del temblor postural y cinético en mano dominante, de escritura, del dibujo (A) y de la capacidad para llevarse líquidos a la boca o beber. En los pacientes diagnosticados de EP se emplearon los ítems correspondientes a temblor (temblor de reposo, postural, cinético, constancia del temblor) en hemicuerpo diana de la parte motora (III) de la última versión de la escala unificada para la valoración de la EP (MDS-UPDRS)13. En los casos diagnosticados de TE y EP, de forma concomitante, se emplearon ambas subescalas. Se valoró la calidad de vida mediante la escala visual analógica (EVA) del cuestionario de salud Euro-QoL-5D14. A todos los pacientes se les pasó una escala de impresión clínica global del cambio15 a los 12 meses tras la TGK y al final del período de seguimiento, que fue adaptada con los siguientes valores: 1 = mejoría importante o desaparición del temblor, con mejoría funcional completa; 2 = mejoría moderada o reducción del temblor moderada, con mejoría funcional parcial; 3 = mejoría leve o reducción leve del temblor, sin mejoría funcional; 4 = sin cambios; 5 = leve empeoramiento; 6 = empeoramiento moderado; 7 = empeoramiento importante.
Por último, se revisaron efectos adversos registrados durante todo el período de seguimiento, habiendo interrogado de forma dirigida en las revisiones sucesivas por la posible aparición de síntomas sensitivos, pérdida de fuerza, alteración para articular el lenguaje o trastorno de la marcha.
Se calculó media y desviación estándar de los diferentes ítems de las escalas describiéndose su valor basal, a los 12 meses y al final del período de seguimiento. Se realizó un análisis estadístico de las puntuaciones de la FTM y de la MDS-UPDRS basal, a los 12 meses y al final del seguimiento, utilizando el test estadístico W-Wilcoxon para muestras relacionadas y considerando estadísticamente significativa una p < 0,05. Los resultados se expresan en medias (desviación estándar) y medianas (rango).
ResultadosSe registraron un total de 13 pacientes. Su diagnóstico fue EP con predominio tremórico (seis pacientes), TE refractario al tratamiento médico convencional (cuatro pacientes) y TE de larga evolución y EP añadida de menor tiempo de evolución y diagnóstico más reciente (tres pacientes). Siete de los pacientes tenían una edad avanzada (> 75 años, máximo 83 años), cuatro se encontraban en tratamiento anticoagulante y dos habían sufrido un ictus previo. Tres pacientes presentaban más de una contraindicación para ECP (edad > 75 años, anticoagulación y/o ictus previo). Cinco pacientes rechazaron la posibilidad de tratarse con ECP tras ser adecuadamente informados de los beneficios esperables y riesgos de ambos procedimientos (tabla 1). A tres pacientes se les informó de la posibilidad de tratamiento con HIFU (high-intensity focused ultrasound) decantándose finalmente por el tratamiento con GK por sus ventajas económicas en nuestro medio. La media de seguimiento fue de 30,0 (14,5) meses, rango 12-60 meses. La latencia hasta la mejoría del temblor fue de tres meses (rango 1-6 meses) desde el procedimiento.
Características clínicas y demográficas
| Número total de pacientes | 13 | |
| Edad, años (mediana, rango) | 78 | (62-83) |
| Sexo | ||
| Varón | 9 | 69% |
| Mujer | 4 | 31% |
| Diagnóstico | ||
| Temblor esencial (TE) | 4 | 31% |
| Enfermedad de Parkinson (EP) | 6 | 46% |
| TE + EP | 3 | 23% |
| Tiempo de evolución TE, años (mediana, rango) | 31 | (6-68) |
| Tiempo de evolución EP, años (mediana, rango) | 9,5 | (3-11) |
| Fármacos antitremóricos utilizados (mediana, rango) | 5 | (3-7) |
| Dosis equivalente de levodopa, mg (mediana, rango) | 800 | (300-1.000) |
| Lado tratado | ||
| VIM derecho | 4 | 31% |
| VIM izquierdo | 9 | 69% |
| Motivos para seleccionar TGK | ||
| Edad > 75 años | 7 | 54% |
| Anticoagulación | 4 | 31% |
| Ictus previo | 2 | 15% |
| Rechazo de ECP | 5 | 38% |
| Tiempo de seguimiento, meses (media, DE) | 30,0 | (14,5) |
DE: desviación estándar; ECP: estimulación cerebral profunda; EP: enfermedad de Parkinson; TE: temblor esencial; TGK: talamotomía mediante radiocirugía estereotáctica con Gamma Knife®; VIM: núcleo ventral intermedio-medial del tálamo.
Hubo una mejoría significativa a los 12 meses tras la TGK y al final del seguimiento respecto a la situación basal en todos los ítems realizados de la escala de la FTM, MDS-UPDRS motora y EVA de la EuroQoL-5D (tabla 2). Además, no hubo cambios estadísticamente significativos en las puntuaciones obtenidas a los 12 meses respecto al final del período de seguimiento. En las figuras 1 y 2 se muestran gráficamente la media y desviación estándar de las puntuaciones de los ítems evaluados de la escala FTM y de la MDS-UPDRS, respectivamente.
Valores descriptivos y estadísticos de las puntuaciones de la escala de FTM, MDS-UPDRS y EVA basal, a los 12 meses tras TGK y al final del seguimiento
| Basal | 12 m | p B vs. 12 m | Final | p B vs. F | p 12 m vs. F | |
|---|---|---|---|---|---|---|
| Escala de Fahn-Tolosa-Marin (n = 7 TE) | ||||||
| Temblor postural en mano dominante | 2,86 (0,69) | 0,86 (0,38) | 0,014 | 0,83 (0,41) | 0,02 | 1 |
| Temblor cinético en mano dominante | 3,14 (0,90) | 1,00 (0,58) | 0,017 | 1,00 (0,63) | 0,026 | 1 |
| Escritura | 2,71 (0,76) | 0,86 (0,69) | 0,011 | 0,83 (0,75) | 0,02 | 1 |
| Dibujo (espiral A) | 2,71 (0,76) | 1,29 (0,76) | 0,015 | 1,33 (0,52) | 0,023 | 0,317 |
| Beber | 3,14 (0,69) | 1,29 (0,95) | 0,026 | 1,33 (0,82) | 0,039 | 0,317 |
| MDS-UPDRS parte motora (n = 9 EP) | ||||||
| Temblor de reposo en extremidad superior diana | 3,00 (0,71) | 0,67 (0,71) | 0,007 | 1,00 (1,00) | 0,027 | 0,157 |
| Temblor de reposo en extremidad inferior diana | 2,78 (0,83) | 0,78 (0,67) | 0,007 | 1,29 (0,95) | 0,026 | 0,083 |
| Temblor en hemicuerpo diana | 8,11 (2,57) | 2,00 (1,73) | 0,008 | 2,71 (2,43) | 0,027 | 0,102 |
| Temblor en hemicuerpo diana + constancia | 10,44 (2,96) | 3,00 (2,18) | 0,008 | 4,14 (2,91) | 0,027 | 0,109 |
| EVA (EuroQoL-5D) (n = 13) | 59,23 (7,60) | 80,38 (13,91) | 0,002 | 80,00 (15,49) | 0,005 | 0,059 |
Los datos se expresan en media (desviación estándar). Los valores de p resultan del análisis estadístico mediante test de Wilcoxon para muestras relacionadas.
12 m: 12 meses; B: basal; EP: enfermedad de Parkinson; EVA: escala visual analógica; F: final; TE: temblor esencial; TGK: talamotomía mediante radiocirugía estereotáctica con Gamma Knife®; p: valor de p.
En pacientes con TE (n = 7), la intensidad del temblor postural y cinético en la mano dominante se redujeron, respectivamente, un 70 y un 68,2% a los 12 meses post-TGK (p = 0,014; p = 0,017) y un 71 y un 68,2% al final del seguimiento (p = 0,020; p = 0,026). En cuanto a tareas manuales específicas, hubo una mejoría en la escritura y el dibujo de la espiral del 68,4 y del 52,6% a los 12 meses (p = 0,011; p = 0,015) y del 69,4 y del 50,9% al final del seguimiento (p = 0,020; p = 0,023). En cuanto a la capacidad manual de llevarse líquidos a la boca la mejoría fue del 59,1% a los 12 meses (p = 0,026) y del 57,6% al final de seguimiento (p = 0,039). La mejoría global en los ítems analizados de la escala de FTM fue del 63,6% a los 12 meses y del 63,5% al final del seguimiento.
En pacientes con EP (n = 9), el temblor de reposo en las extremidades superior e inferior diana se redujo, respectivamente, un 77,7 y un 71,9% a los 12 meses (p = 0,007; p = 0,007) y un 66,7 y un 53,6% al final del seguimiento (p = 0,027; p = 0,026). En cuanto a la puntuación del temblor en hemicuerpo diana (ítems de temblor de reposo, postural y cinético en extremidades superior diana y temblor de reposo en extremidad inferior diana) la mejoría fue del 75,3% a los 12 meses (p = 0,008) y del 66,6% al final del seguimiento (p = 0,027). La mejoría global del temblor hemicorporal de la parte motora de la MDS-UPDRS fue del 71,3% a los 12 meses (p = 0,008) y del 60,3% al final del seguimiento (p = 0,027). Se observa un ligero empeoramiento al final del período de seguimiento respecto a la situación a los 12 meses tras la TGK, que no fue estadísticamente significativo (p = 0,109; tabla 2).
Los 11 pacientes que mantuvieron la mejoría clínica objetiva refirieron, asimismo, mejoría en su calidad de vida. En los otros dos pacientes no hubo cambios en su calidad de vida. La EVA presentó, respecto a la situación basal, una mejoría de +21,2 puntos a los 12 meses tras la TGK (p = 0,002), que se mantuvo al final del período de seguimiento +20,8 (p = 0,005).
Según la escala de impresión clínica global del cambio (fig. 3), a los 12 meses desde la TGK, y al final del periodo de seguimiento, 11 pacientes (84,6%) presentaron una mejoría mantenida en todas sus puntuaciones en las escalas de temblor. Ocho pacientes (61,5%) presentaron desaparición del temblor o mínimos síntomas, seis con diagnóstico de EP y dos con TE. En tres pacientes (23,1%) la mejoría fue moderada. Una paciente de 83 años con TE desde los 15 años experimentó una leve mejoría del temblor que no supuso una mejoría en su calidad de vida. Un paciente con TE + EP presentó mejoría del temblor a los tres meses de la TGK pero empeoró a los seis meses, retornando a su situación basal.
Tres pacientes refirieron efectos adversos leves, transitorios, o ambos. Un paciente reportó parestesias transitorias en la mano tratada durante dos meses, desapareciendo posteriormente, otro paciente presentó quejas cognitivas menores u «olvidos» sin evidenciarse cambios en el test neuropsicológico de control respecto al basal pre-TGK y otro paciente sufrió depresión con evolución favorable con tratamiento antidepresivo. No hubo efectos adversos severos o importantes en ningún caso.
Una paciente de 81 años con TE, con antecedentes de ictus previo, en tratamiento anticoagulante, fue derivada desde un centro de referencia en HIFU al no considerarse buena candidata para esta técnica dados sus antecedentes, habiéndose realizado TGK con buena respuesta y sin efectos adversos tras 24 meses.
Un paciente de 69 años, con diagnóstico de EP de 10 años de evolución, en tratamiento antiparkinsoniano con dosis equivalente diaria de levodopa de 900 milígramos, alcanzó un seguimiento de 54 meses tras TGK sin haber experimentado efectos adversos y manteniendo disminución del temblor del 76,9% (de 13 a 3 puntos) en MDS-UPDRS del hemicuerpo tratado al final del período de seguimiento.
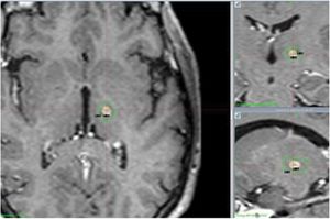
En cuanto a los hallazgos en la RM cerebral de control, a los 12 meses, las lesiones presentan una forma ovalada y el centro de las mismas ha coincidido en todos los controles con la localización del objetivo (target). La media de volumen de tejido hipointenso en secuencias T1 e hiperintenso en secuencias T2 que capta contraste fue de 104 mm3, con una mediana de 91,5 mm3 (fig. 4).
DiscusiónSe presenta la mayor serie de pacientes con temblor esencial y parkinsoniano tratados con TGK en España, con valoración de eficacia y seguridad durante una media de seguimiento de 30 meses.
La radiocirugía estereotáctica con GK es un procedimiento ablativo, no incisional o mínimamente invasivo al no requerir cirugía craneal abierta, basado en la irradiación precisa de volúmenes cerebrales muy circunscritos16. Desde su creación por Leksell en los años 50, ha sido utilizada en el tratamiento de tumores cerebrales, malformaciones arteriovenosas, epilepsia y la neuralgia del trigémino. Desde la primera talamotomía con GK en un paciente con TE, realizada en 199217, se han publicado 34 artículos con 1.389 pacientes tratados por temblor con GK8, destacando tres estudios prospectivos18-20. No se ha realizado ningún ensayo clínico aleatorizado. Aproximadamente el 82% de los pacientes tratados con TGK por temblor experimentan una mejoría clínica8, lo que es similar al resultado obtenido en nuestra serie (84,6%). Asimismo, el grado de reducción del temblor obtenido en nuestra serie, a los 12 meses tras TGK, del 63,6% en los pacientes con TE y del 71,3% en los pacientes con EP, se encuentra en consonancia con lo observado en otros estudios21,22. Además, observamos una eficacia sostenida en la reducción del temblor tanto en TE como en EP, comparable a la observada a los 24 meses en el estudio de Ohye et al.19. En el caso de los pacientes con EP, en el estudio actual, se registró un leve empeoramiento del temblor parkinsoniano al final del seguimiento respecto a la situación a los 12 meses, que aunque no resultó estadísticamente significativo podría evidenciar, o bien una tendencia a disminuir la eficacia del tratamiento ablativo a largo plazo, o bien una progresión de la enfermedad basal.
Las series con mayor número de pacientes describen complicaciones en un 1,6% a un 16,7% de casos8. Las más graves son: pérdida de fuerza contralateral a la lesión, disartria y disfagia. En los inicios de la TGK, la tasa de complicaciones fue muy alta y pronto se identificó que las dosis de radiación altas (a partir de los 150 Gy) eran innecesariamente tóxicas23,24. Gracias a la curva de aprendizaje se han establecido protocolos bien contrastados para las cirugías de pequeños volúmenes de tejido sano, como es el caso del VIM en TE con dosis entre 90-130 Gy. Se han descrito dos casos de hemorragia talámica (2/1.389 = 0,14%), una a los 14 meses20 y otra a los 90 meses en un paciente de 85 años anticoagulado25. En la serie actual, no se observaron las mencionadas complicaciones en ningún caso a pesar de la inclusión de pacientes de edad avanzada, anticoagulados y con antecedentes de ictus previo. El uso de dosis no superiores a 130 Gy y la experiencia del centro en el tratamiento con GK son factores que creemos importantes en el nivel de seguridad obtenido. El nivel de evidencia actual de la radiocirugía estereotáctica con GK en el tratamiento del temblor refractario al tratamiento médico es de clase IV8,18,19.
Las limitaciones del estudio incluyen su naturaleza retrospectiva, el bajo número de pacientes analizados y la ausencia de enmascaramiento de las valoraciones clínicas. Por otra parte, no se pueden descartar futuras complicaciones tardías, descritas en la literatura especializada de forma muy excepcional. Un estudio retrospectivo con seguimiento en 28 pacientes con TE durante una mediana de 54 (37-152) meses, no registró ninguna complicación tardía22. En dicha serie se utilizó una dosis de radiación de 130-150 Gy. En nuestro centro la dosis nunca supera los 130 Gy.
Respecto a la comparación directa del GK frente a otras técnicas neuroquirúrgicas en el tratamiento del TE la evidencia es limitada26-28. A modo de resumen, en el tratamiento neuroquirúrgico del TE, la cirugía de ECP sobre el VIM es una técnica no lesional, reversible, incisional al precisar craneotomía y bilateral habitualmente. Por el contrario, la talamotomía del VIM mediante GK, radiofrecuencia y más recientemente por HIFU son técnicas ablativas, no incisionales y unilaterales, cuya experiencia es muy limitada en el procedimiento bilateral dados los potenciales riesgos de la talamotomía bilateral29. La ECP es considerada la primera opción en el tratamiento neuroquirúrgico del TE dada la contrastada eficacia en la reducción del temblor de forma bilateral, bajo unos riesgos conocidos como la hemorragia cerebral en 0,5-1,5% y la infección de la herida quirúrgica en 1,7-5,4%27. En la talamotomía unilateral se ha observado una reducción del temblor similar mediante HIFU, GK y radiofrecuencia27, con un nivel de evidencia a los 12 meses superior para el HIFU, al presentar ensayos clínicos randomizados30,31, respecto a GK y radiofrecuencia. Un metaanálisis reciente32 indica, en la talamotomía sobre VIM unilateral en TE, una frecuencia de efectos adversos permanentes graves tales como hemiparesia del 9,3% con radiofrecuencia, del 1,8% mediante GK y del 1,2% mediante HIFU. En el caso del HIFU hubo un 18,7% de efectos adversos permanentes totales en estudios prospectivos, tratándose la mayoría de ellos de efectos adversos leves (parestesias). Un estudio mostró que el tracto cerebelotalámico podría ser una diana eficaz con menor frecuencia de efectos adversos en el caso de HIFU33.
Las ventajas del HIFU frente al GK residen en el control intraoperatorio y la mejoría sintomática inmediata con HIFU, frente a la ausencia de dicho control y la mejoría diferida de 3-6 meses con GK. Las ventajas del GK frente al HIFU serían su menor coste, la no necesidad de ventana transcraneal (en el HIFU se requiere un mínimo grosor craneal) ni rasurado del pelo y la posibilidad de realizarse sin suspender la anticoagulación. Por otra parte, se piensa que el mecanismo del GK no es solo lesional sino que existiría un área de «neuromodulación» rodeando al core necrótico y al área subnecrótica, esto y la ausencia de una lesión «aguda» podría explicar una menor frecuencia de efectos adversos como ataxia o parestesias en comparación con las otras técnicas24,27,32. En cuanto a la evidencia a largo plazo, existen estudios retrospectivos que indican una eficacia y seguridad sostenidas con GK22,34-36, habiendo una evidencia más limitada con HIFU dada su reciente aparición37. En el paciente anciano con comorbilidad y anticoagulado el perfil de seguridad sería favorable para el GK27,32, aspecto que también se ve reflejado en la serie actual.
Un estudio comparativo de coste-eficacia de ECP, HIFU y GK en el tratamiento del TE28 no mostró diferencias significativas en el coste proyectado de HIFU respecto a GK y el estudio coste-eficacia fue favorable a HIFU respecto a la ECP y al GK. Si bien este estudio difícilmente sería extrapolable a nuestro medio.
En cuanto al paciente con EP, la indicación de la TGK genera mayor controversia al tratarse de una enfermedad neurodegenerativa bilateral y axial en su progresión y dado que la talamotomía no mejora la bradicinesia ni la marcha19. Por ello, conviene señalar que, la indicación de la TGK para ella es la del paciente con EP de predominio tremórico, asimétrico, que no se controla con medicación antiparkinsoniana en dosis optimizada, con o sin complicaciones motoras, en el que la bradicinesia sea leve, y en caso de que la ECP se encuentre contraindicada o ésta sea rechazada por el paciente. Dada la heterogeneidad fenotípica de la EP, en la actualidad se están investigando otras dianas terapéuticas para la cirugía estereotáctica sin incisión como son el núcleo subtalámico38,39 y el globo pálido interno40.
ConclusionesEl estudio actual y la evidencia descrita, nos permiten concluir que la radiocirugía estereotáctica con Gamma Knife®, realizada de forma unilateral sobre el VIM talámico en dosis de 130 Gy en centros con experiencia, es un tratamiento seguro y con eficacia mantenida a largo plazo en el tratamiento del temblor esencial y parkinsoniano refractarios, incluso en pacientes en edad avanzada, los que reciben tratamiento anticoagulante o en pacientes con ictus previo, situaciones que contraindican la cirugía de estimulación cerebral profunda.
Se necesitan estudios aleatorizados que confirmen la eficacia y seguridad de la TGK en pacientes con temblor esencial y parkinsoniano refractarios, así como estudios comparativos que evalúen eficacia, seguridad y coste de la ECP, el HIFU y la TGK.
FinanciaciónEste trabajo no ha recibido financiación pública ni privada.
Conflicto de interesesLos autores declaran no tener ningún conflicto de intereses.







