La neurofibromatosis tipo 1 (NF1) está causada por la mutación del gen NF1 localizado en el cromosoma 17q11.2.1,2. Los neurofibromas aparecen en un 90% de los casos y los plexiformes en un menor porcentaje. Son tumores benignos de vainas nerviosas, pero los plexiformes presentan hasta un 10% de riesgo de transformación maligna.
Comentamos el caso de una niña de 8 años y 4 meses diagnosticada de NF-1 a los 2 años de edad. A los 4 días tras realizarse cirugía de amigdalectomía y adenoidectomía comienza con imposibilidad para caminar, asociado a parestesias («calambres») en pie y pierna izquierdos. A la exploración presenta pérdida de fuerza en pie izquierdo, imposibilidad para realizar la flexión dorsal ni adecuada inversión-eversión y posición de pie en equino. Imposibilidad de realizar marcha normal ni otras variantes. No Babinski. Reflejos osteotendinosos presentes sin aumento de área reflexógena. Lasègue izquierdo positivo.
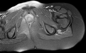
Como pruebas complementarias se realizaron radiografías de caderas, pie y pierna izquierda; ecografía de hueco poplíteo y tercio proximal de miembro inferior izquierdo que descartó trombosis venosa; analítica de sangre completa con estudio de coagulación, autoinmunidad y CPK normales. El electroneurograma y electromiograma objetivaron signos compatibles con la existencia de una mononeuropatía axonal parcial (axonotmesis) del nervio ciático común izquierdo con afectación predominante del componente peroneo. Se completa estudio con resonancia magnética (RM) de columna lumbosacra y estudio RM pélvico y de miembro inferior donde se identificó una lesión de partes blandas bien definida en el teórico trayecto del nervio ciático izquierdo, visible desde el nivel de la escotadura ciática hasta caudalmente el hueco poplíteo, compatible con neurofibroma. (figs. 1 y 2)
Los neurofibromas plexiformes son tumores que afectan a las estructuras del nervio (plexo, fascículos o ramas nerviosas)3. Se calcula que su incidencia es de alrededor de un 17% en NF tipo 12. El estudio de imagen para detección y caracterización se realiza mediante RM, generalmente explorando los 3 planos del espacio con secuencias T1, T2 supresión de grasa y estudio T1 supresión de grasa tras gadolinio intravenoso. De forma habitual los neurofibromas son hiperintensos en T2, realzan tras contraste intravenoso, se relacionan anatómicamente con un nervio y pueden mostrar característicamente un «patrón en diana»3–6. El 12% de estas lesiones presentan degeneración maligna; generalmente muestran un crecimiento rápido o un dolor mantenido. Los estudios con tomografía de positrones podrían ser útiles en el estudio de estas lesiones ante la sospecha de malignización, encontrando en algunos estudios una sensibilidad de hasta el 90% con una especificidad del 87% (Warbey 2009),7-9. El tratamiento de las lesiones sintomáticas y/o malignas se basa en la cirugía. La quimioterapia y radioterapia se reservan en caso de malignización. Dada la naturaleza vascular de estas lesiones también se han utilizado inhibidores de la angiogénesis o inductores de la diferenciación celular10.
En el caso de nuestra paciente, se remitió al servicio de Rehabilitación y comenzó tratamiento con gabapentina durante 2 meses. Se realizó control neurofisiológico donde se objetivó normalización del estudio y RM de control donde no se apreció aparición de nuevas lesiones. A los 2 años de evolución no presentaba alteración de la marcha ni dolores y en la exploración neurológica no se objetivaron déficits.
En conclusión, la gabapentina podría ser útil en el tratamiento de la clínica neuropática de los neurofibromas plexiformes. Además, ante su presencia es importante vigilar síntomas y signos que hagan sospechar malignización de la lesión.





