Se presenta un varón de 79 años con antecedentes personales de HTA y DM bien controlada. Buena autonomía en las actividades básicas y complejas de la vida diaria. Acude a consultas externas por deterioro cognitivo de 6 meses de evolución que en los últimos 2 meses asocia deterioro de la marcha. Refiere como factor asociado un traumatismo craneal leve en su domicilio por una caída sin pérdida de conciencia ni otros síntomas. En el examen se observa un paciente con un lenguaje normal, desorientación temporal (puntúa 2/5 en el subtest del MMSE), buena orientación espacial (5/5 en el subtest del MMSE). La atención es normal (puntúa 6/5 en el test Digit Span) y se observa una amnesia episódica verbal alterada (4/8 en el test Memory Impairment Screen). Las capacidades visuoespaciales estaban alteradas, con clara apraxia constructiva (test del reloj a la orden 3/10). En el resto del examen neurológico se observa marcha con un patrón apráxico con pasos cortos e inestable que le impedía una deambulación independiente sin ayuda de bastón o apoyo.
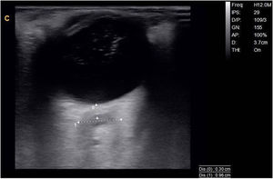
Se realizó con ecógrafo portátil (Chison Q9 con sonda lineal de 7MHz) una ecografía orbitaria en modo B, donde se obtienen un diámetro del nervio óptico en el lado derecho de 9,6mm (fig. 1) y en el lado izquierdo de 6,4mm.
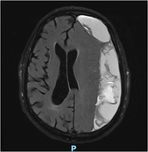
Con la sospecha diagnóstica de una demencia de rápida evolución con alteración de la marcha asociada a signos indirectos ecográficos de hipertensión endocraneal, se programa RMN craneal urgente (fig. 2).
Con el resultado de hematoma subdural extenso e hipertensión endocraneal se deriva a Neurocirugía, donde se realiza craniectomía urgente con evacuación del hematoma. A las 48h había una mejoría de la situación cognitiva con una recuperación de la memoria episódica verbal (7 puntos sobre 8 en el test Memory Impairment Screen) y en la orientación temporal (4/5 en el subtest del MMSE). La marcha había mejorado sobre todo el componente de la estabilidad, logrando no precisar ayuda en trayectos cortos (10m).
La medición del diámetro del nervio óptico se ha observado que tiene una buena correlación como signo indirecto no invasivo para detectar una hipertensión endocraneal; los estudios se han realizado principalmente en casos con hipertensión endocraneal idiopática, comprobados posteriormente mediante punción lumbar1. Esta técnica es fácil de realizar con un mínimo entrenamiento en neurosonografía y conocimiento teórico. Precisa de un ecógrafo con modo B, con una sonda lineal multifrecuencias de 3-9MHz. Se explora la órbita mediante ventana transorbitaria. El paciente se coloca en posición supina, con la cabeza elevada unos 20-30°. Con los ojos cerrados se coloca gel sobre el párpado superior. La sonda se dispone en posición axial y se visualiza la zona de la papila y la región retrobulbar del nervio óptico; desde esta localización se miden unos 3mm en profundidad siguiendo el trayecto del nervio óptico, en esa zona se calcula el diámetro entre los bordes externos del área hiperecogénica del nervio óptico (corresponde a la vaina del nervio óptico) (fig. 1). Los estudios evaluados muestran una adecuada diferencia interobservador y los criterios de normalidad se establecen en 5,4±0,6mm1–3.
Entre las posibles indicaciones actuales, además de la hipertensión endocraneal idiopática, existen estudios que aportan información sobre la presión intracraneal en los cuidados neurocríticos de los pacientes en coma por traumatismos craneales o por sangrado intracraneal, donde se reporta una sensibilidad del 90% y una especificidad del 85%4.
Las ventajas son obvias, dado que es una técnica no invasiva, reproducible, económica, rápida y fácil de realizar con la adecuada formación y entrenamiento. Entre los inconvenientes hay que citar que se observa un 10% de casos con hipertensión endocraneal en los que no se obtienen estos cambios en el nervio óptico (se piensa que se debe a variaciones anatómicas individuales). Tampoco es capaz de detectar casos de hipertensión endocraneal de evolución aguda. Esta técnica es considerada como complementaria, y precisa confirmación con estudios diagnósticos definitivos como la neuroimagen o el examen de presión en el LCR5 cuando la sospecha diagnóstica es alta.
Este caso nos ilustra como la ecografía orbitaria en una situación de una demencia de rápida evolución con antecedente traumático puede ser de utilidad en la práctica clínica habitual. La adecuada formación y experiencia, así como la disponibilidad de un ecógrafo en consultas fueron claves a la hora de realizar esta prueba. En manos experimentadas puede ser una herramienta muy eficaz en el diagnóstico de sospecha de la hipertensión endocraneal, y para proponer unas medidas diagnósticas o terapéuticas más eficientes en diversas áreas de la Neurología.
El uso de esta técnica ecográfica puede aportar una información muy útil en la evaluación inicial en las siguientes indicaciones: a) cefaleas con síntomas o signos de hipertensión endocraneal; b) cefalea asociada a obesidad; c) diagnóstico diferencial de papiledema/pseudopapiledema bilateral; d) monitorización no invasiva de la presión intracraneal de paciente críticos con ictus extensos, meningitis o traumatismos, y e) demencias con una evolución rápida, asociadas a signos neurológicos focales, historia de caídas o traumatismos, como fue este caso. Actualmente, la evidencia científica es limitada, por lo que puede ser una oportunidad para iniciar nuevos estudios de investigación clínica.





