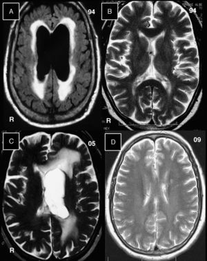
La enfermedad de Whipple (EW) es infrecuente y causada por la infección y persistencia del Tropheryma whipplei (TW). Las manifestaciones clínicas son muy variadas: digestivas, articulares, oculares, cardíacas, renales, pulmonares y en sistema nervioso. Reportamos el seguimiento hospitalario de un varón de 78 años de edad, que sufrió poliartralgias migratorias y episodios febriles, con múltiples recaídas y remisiones, desde los 33 años. La EW fue diagnosticada por biopsia duodenal a los 53 años, luego de varios meses de diarrea recurrente. Entonces, recibió sulfametoxazol y trimetroprim (ST) por vía oral por más de 6 años. En 1994, presentó un caminar inestable, debido a una hidrocefalia de presión normal, y fue tratado quirúrgicamente. El LCR citoquímico resultó normal (fig. 1. A: hidrocefalia y edema periventricular. B: normalización de la hidrocefalia posderivación ventrículo-auricular). Recibió ST otros 6 años. Se mantuvo asintomático hasta los 70 años, cuando presentó en 6 meses 3 episodios de disartria transitoria. A los 72 años, desarrolló un síndrome confusional. La resonancia cerebral mostró hiperintensidades en el hemisferio cerebral izquierdo y dilatación ventricular asimétrica (fig. 1 C). El LCR presentó células y glucosa normales una severa hiperproteinorraquia de 2,5g/l, y cultivos para gérmenes inespecíficos y específicos negativos. Recibió una segunda derivación del LCR y durante la cirugía se efectuó una biopsia cerebral periventricular y de sinequias ventriculares que mostraban macrófagos PAS + (fig. 2.1) y TW en PCR (fig. 2.2). También se efectuó el estudio con microscopio electrónico, hallándose inclusiones adentro de los macrófagos con membranas trilaminares con el aspecto de estructuras bacilares.
Imágenes de resonancia magnética cerebral sin la administración de gadolinio. A) Correspondiente al año 1994, en tiempo FLAIR aparece dilatación ventricular bilateral con hiperintensidades que rodean a las cavidades. B) La imagen en T2 se efectuó un mes después de la figura 1 y con la derivación ventrículo-auricular ya efectuada. Las cavidades ventriculares se normalizaron. C) Correspondiente al año 2005, en tiempo T2, muestra en el hemisferio cerebral izquierdo dilatación del ventrículo lateral, con hiperintensidades que rodean a este ventrículo. D) Correspondiente al año 2009, en tiempo T2, y no muestran alteraciones en el parénquima cerebral, y los ventrículos laterales son de tamaño normal.
1) Biopsia cerebral y de sinequias ventriculares mostrando a los linfocitos y macrófagos llenos de periodic acid-Schiff (PAS+), consistentes con microorganismos de TW. 2) Reacción en cadena de la polimerasa (PCR), detección del TW con ARN 16S. Estos oligonucleótidos permiten la detección de 160 pares de bases fragmentados en la presencia del ADN bacteriano. La flecha blanca marca la intensa banda blanca, de la columna de nuestro paciente problema comparado con un control positivo.
Se reincorporó ST (800mg y 160mg, respectivamente, 2 veces por día) continuado y ceftriaxona intramuscular (1g 2 veces por día) durante 2 meses. Los síntomas desaparecieron y un control de resonancia cerebral a los 77 años no mostraba lesiones (fig. 1D). En un último control en 2010, permanecía asintomático y medicado con ST en iguales dosis. Esta historia clínica fue presentada en formato de afiche en el 86° Congreso Anual de la Asociación Americana de Neuropatología del 9 al 13 de junio de 2010, y publicada como resumen1. Nuestro objetivo es difundirla en idioma español.
El diagnóstico de EW puede ser dificultoso en los pacientes que no tienen las manifestaciones digestivas desde el comienzo. Las poliartralgias corresponden a los síntomas cardinales en la mitad de los casos2. En la historia relatada las características anteriores estuvieron presentes. Los trastornos del sistema nervioso central pueden aparecer como hidrocefalia comunicante, parálisis de la mirada vertical, ataques vasculares cerebrales, convulsiones, síndrome confusional, deterioro cognitivo progresivo y algo muy característico como la miorritmia oculomasticatoria3,4. El caso reportado tuvo 3 de las manifestaciones neurológicas mencionadas. En EW, los macrófagos de los pacientes poseen un pH anormalmente acidificado, lo cual permite la supervivencia del TW en el interior del citoplasma5–7. Antes del tratamiento con antibióticos (ATB) la EW era fatal. Al principio los ATB usados fueron penicilina y tetraciclinas, pero las recaídas eran muy frecuentes, y en las últimas décadas las recomendaciones estuvieron basadas en los ATB que también atravesaran la barrera hematoencefálica como ST, utilizado desde la década de 1970. Las sugerencias recientes son la ceftriaxona parenteral y ST por vía oral. Otros agentes ATB propuestos son las cefalosporinas y doxiciclina orales en tratamiento prolongado, y la hidroxicloroquina para intentar cambiar el pH de los macrófagos8–10. Todas estas recomendaciones no están basadas en trabajos controlados, sino en comunicaciones con baja recurrencia. El tiempo de tratamiento con ATB en EW con complicaciones neurológicas no se ha establecido y una administración prolongada puede ser razonable. A través de la larga observación del enfermo presentado, se comprobó que las recidivas en el sistema nervioso aparecían después de suspender, reducir o quizás al fallo de ST en el tratamiento prolongado11, como si el TW esperara la depreciación del bacteriostático. A estos pacientes con EW y manifestaciones neurológicas se les podría sugerir que eviten la suspensión y el descenso de la dosis antibiótica que los ha mejorado.





