Los angiomas cavernosos suman hasta el 13% de las lesiones cerebrales vasculares y consisten en cavidades capilares anormalmente agrandadas rodeadas por una fina capa de endotelio y sin intervención de parénquima cerebral1–4. Con una prevalencia del 0,1 - 0,5%, pueden ser únicos o múltiples y esporádicos o familiares. Los casos familiares (CMF) suponen hasta un 50% y suelen presentarse con múltiples lesiones en un 84% frente al 15-25% de los esporádicos5,6.
La CMF es un trastorno genético autosómico-dominante de expresión variable y penetrancia clínica y radiológica incompletas7. El estudio genético es positivo en el 70% de casos, hallándose mutaciones (heredadas o de novo) que ocasionan pérdidas de función de la proteína codificada en 3 loci distintos: CCM1/KRIT1 (7q11-q22) en el 40% de los casos, CCM2/MGC 4607 o malcavernina (7p13-15) en el 20% y CCM3/PDCD10 (3q25.2-q27) en el 10-20%. Se han identificado más de 90 mutaciones distintas en CCM1, 8 en CCM2 y 7 en CCM3. La sensibilidad del screening genético aumenta en los pacientes con más familiares afectos (96%) respecto a los casos esporádicos con lesiones múltiples (57%)7,8.
La hipótesis del mecanismo two-hit o “en dos pasos” ha cobrado importancia en recientes estudios sobre la patogenia de esta entidad: sería necesaria la pérdida o mutación de los dos alelos del gen para padecer la enfermedad9–11.
Las manifestaciones clínicas, de inicio entre 20 y 40 años, comprenden crisis epilépticas, cefalea y déficit neurológico por hemorragia cerebral o compresión. La mayoría de cavernomas se localizan supratentorialmente, aunque pueden encontrarse también en el troncoencéfalo y la médula espinal12. La resonancia magnética (RM), y en especial la secuencia ecogradiente, es la prueba más sensible para su detección. La imagen característica es en “palomita de maíz”, con núcleo reticulado bien delimitado, señal heterogénea por sangre en distintos estadios y reborde hipointenso de hemosiderina7.
Presentamos a 8 pacientes (5 varones y 3 mujeres) pertenecientes a una misma familia con cavernomas cerebrales múltiples en la RM, en los que se realizó estudio genético, siendo positivo en todos ellos para una mutación en el gen CCM1 no descrita previamente en la literatura. Se trata de 4 hermanos afectados de un total de 6, y de 4 hijos de estos. El resto de familiares de primer y segundo grado (fig. 1) permanecían sanos hasta el momento del presente estudio, realizándose en 2 de los casos asintomáticos un estudio genético que resultó ser negativo para la mutación hallada en esta familia, así como una RM cerebral que fue normal.
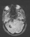
Su clínica de inicio consistió en crisis comiciales en 5 (3 varones y 2 mujeres), déficit focal neurológico en 2 (varones) consistente en parestesias y monoparesia MII en un caso y ataxia con nistagmus y paresia del VI par izquierdo en otro y cefalea en una (mujer). La RM mostraba cavernomas cerebrales múltiples típicos en hemisferios cerebrales, troncoencéfalo y, en un caso, medular (fig. 2). En RM seriadas se observó aparición de nuevas lesiones y evolución de las anteriores. Cinco pacientes presentaron sangrado agudo en la RM (3 mujeres y 2 varones) en protuberancia derecha, 3 frontales izquierdas y uno en raíz de cola de caballo.
El análisis genómico del ADN leucocitario realizado mediante la técnica de SSCP (single-strand conformational polymorphism) /heterodúplex, secuenciación de los fragmentos con movilidad anómala, rastreo mutacional de los exones y fragmentos intrónicos colindantes del 1 al 12 del gen CCM1, que corresponden a los exones 8 al 1913, se demostró una misma mutación (c.1585. del C) en el exón 8 de dicho gen, consistente en una deleción de la base citosina en la posición 1585 (siendo la referencia de la secuencia del ADN codificante o cADN para esta numeración nucleotídica la NM_194456.1 según la Human Gene Mutation Database). Dicha mutación (de tipo frameshift) altera la pauta de lectura llevando a un codón de STOP prematuro y, por tanto, a una proteína truncada. Este tipo de mutaciones son las que mayoritariamente se han descrito en este gen.
El gen CCM1, responsable de la mayoría de casos de CMF en familias hispanas, contiene 19 exones que codifican para la proteína Krit 1 (Krev Intreraction Trapped 1), de 736 aminoácidos. Entre los exones 8 y 19 del gen se han descrito la práctica totalidad de mutaciones detectadas en pacientes con CMF8,13.
Mostramos una mutación en el gen CCM1 no descrita previamente en otras familias con CMF y que aparece relacionada con la enfermedad, apoyando su carácter etiopatogénico.
La realización del estudio genético y seguimiento radiológico a posibles portadores asintomáticos con familiares afectos de CMF o de cavernomatosis múltiple esporádica es esencial para el estudio de nuevas alteraciones genéticas, seguimiento clínico y tratamiento precoz, si procede, de las lesiones.
El reciente descubrimiento de las vías de actuación comunes de los genes CCM y los futuros estudios prospectivos llevados a cabo con estudios genéticos en largas series de pacientes, así como para inactivar dichos genes específicamente en el SNC de embriones de ratones, tienen por objeto dilucidar por completo los mecanismos patogénicos de estas malformaciones y descubrir otras posibles mutaciones en estos tres o en un posible cuarto gen relacionado14.
El presente trabajo fue presentado como póster en la XXVI Reunión de la Sociedad Valenciana de Neurología (El Albir, 2009).





