El síndrome de Susac (SS) continua siendo una entidad de difícil diagnóstico con una presentación que se solapa con otras enfermedades y que a menudo es confundida con enfermedades desmielinizantes tales como la esclerosis múltiple (EM) o la encefalomielitis aguda diseminada (ADEM), debido a su presentación clínica y sus hallazgos paraclínicos1.
La oclusión producida por una endoteliopatía autoinmune afecta a las arteriolas precapilares del cerebro, de la retina y del oído interno (cóclea y canales semicirculares)2. Dando lugar a alteraciones neurológicas, auditivas y en la agudeza visual, en este último caso por oclusión en las ramas de las arterias retinianas. Aunque esta tríada no está siempre presente de forma completa en todos los casos.
Respecto a las alteraciones neurológicas se incluyen alteraciones del nivel de conciencia con trastorno cognitivo conductual, asociado o no a síntomas focales neurológicos tales como ataxia, paresia y disartria. En esta etapa de encefalopatía subaguda se pueden objetivar lesiones centrales del cuerpo-calloso (CC) que permiten su diagnóstico cuando son objetivadas en la resonancia magnética (RM).
La RM nos puede ayudar al diagnóstico precoz en ciertos casos gracias a la visualización de microinfartos en la porción central del CC en cortes sagitales FLAIR y T2, las lesiones asemejan «copos de nieve» que posteriormente evolucionan a agujeros negros y atrofia centro-callosos. Estas lesiones presentan un tamaño de 3-7mm, y sugieren oclusión de precapilares de pequeño tamaño por debajo de 0,1mm (100μm de diámetro). Los microinfartos pueden adquirir forma de rayos. También se reconocen imágenes hiperdensas en difusión en cápsula interna que adoptan la forma de «collar de perlas». La presencia de dichas imágenes asociadas a lesiones centro-callosas es inequívocamente patognomónica de SS2. Aunque la mayor parte de los casos con SS no muestran afectación en la RM3.
De esta forma el papel de la RM es limitado en enfermedades de pequeño vaso como el SS (vasos con un diámetro por debajo de 0,1mm) siendo en muchas ocasiones difícil de detectar la afectación de los vasos de pequeño calibre de la sustancia blanca incluso por arteriografía convencional4. Por tanto, la RM es útil cuando la oclusión, la estenosis o la dilatación se produzca en arterias de mediano o mayor calibre (por encima de 0,5mm)3.
En este contexto presentamos el caso de una mujer de 34 años de edad que es remitida a nuestro centro por un cuadro que incluía inestabilidad motora y acúfenos, así como disminución en la audición, y de la agudeza visual en su ojo derecho.
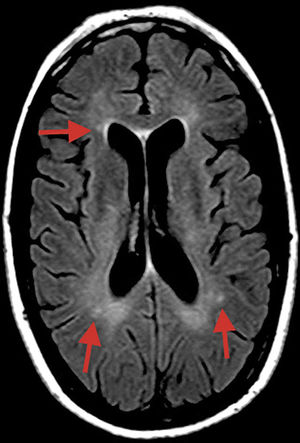
En la RM al inicio del cuadro se visualizaron pequeñas lesiones hiperintensas inespecíficas en T2-FLAIR en la sustancia blanca subcortical, cuerpo calloso y pedúnculos cerebelosos (fig. 1).
En la exploración del fondo del ojo derecho se confirmó la presencia de placas de Gass y un vaso arterial temporal inferior opacificado y engrosado sin oclusión completa de su luz. Se decidió realizar angiografía por tomografía de coherencia óptica (OCTA) de polo posterior, donde se puso de manifiesto una pérdida de la red vascular superficial y profunda de la retina del ojo derecho con reducción del número de ramas arteriales y zonas de isquemia periférica en la región temporal inferior (fig. 2).
La OCTA es una nueva modalidad de imagen que incorpora el contraste que genera el movimiento de las células en los vasos de la retina, contra el tejido estático que le rodea. La amplitud de la señal de retorno de los elementos en movimiento crea angiogramas de la vasculatura retiniana de una forma no invasiva y segura, sin necesidad de contraste5 (fig. 2). La OCTA permite una resolución lateral de 20μm y 2,6μm de profundidad6, lo que es suficiente para visualizar capilares en el área macular y detectar de forma precoz e inocua, como en nuestro caso, la pérdida de red vascular en la retina. Esto nos resultó de gran utilidad para realizar el diagnóstico de SS antes de que se pudieran objetivar lesiones claras de isquemia en el parénquima cerebral por RM.
Respecto al tratamiento tenemos que decir que las estrategias terapéuticas no han sido evaluadas mediante ensayos clínicos controlados dado el escaso número de pacientes que presentan la enfermedad7. Esto hace que a menudo los pacientes sean tratados con distintos agentes inmunomoduladores en un enfoque no estandarizado.
La terapia con corticoides en dosis altas continúa siendo uno de los pilares, pero a menudo son necesarias terapias adicionales como inmunoglobulinas intravenosas, micofenolato mofetilo o ciclofasfamida8. Por otro lado, las medidas de anticoagulación, los agentes anti-plaquetarios y los agentes anti-vasoespásticos deberían ser considerados9.
A modo de resumen el diagnóstico precoz del SS es importante ya que permitiría un tratamiento intenso y mantenido que mejoraría el pronóstico de la enfermedad2. Hay que tener en cuenta que el curso de la enfermedad es impredecible10 y la enfermedad carece de biomarcadores fiables7, en este escenario la OCTA genera imágenes con una resolución media de 8 a 10μm que permiten visualizar procesos isquémicos11 en vasos de pequeño calibre (menores de 100μm) del parénquima retiniano y su progresión, ayudando a otras pruebas de imagen como la RM donde el tipo de corte podría no objetivar estas lesiones endoteliales en los estadios iniciales de la enfermedad.





