Editado por: Dr. Mariano de la Figuera von Wichmann
(Clínica Olivé Gumà, Barcelona, Spain)
Prof. Dr. Elena Segura-Grau
(Tondela Viseu Hospital Center, Viseu, Portugal)
Última actualización: Diciembre 2024
Más datosLa ecografía se presenta como la técnica diagnóstica no invasiva más adecuada para examinar la enfermedad testicular. Posee la capacidad de distinguir las causas más relevantes del dolor agudo e inflamación escrotal, tales como la epididimitis, la torsión testicular y el traumatismo agudo. En los pacientes con alguna irregularidad palpable o inflamación escrotal, la ecografía puede identificar, localizar y caracterizar tanto masas intratesticulares como extratesticulares. Utilizando un transductor lineal de alta frecuencia, se logra una visualización detallada de la anatomía de los testículos y de las estructuras circundantes. Asimismo, permite la evaluación de la perfusión vascular mediante el análisis Doppler. Un entrenamiento adecuado y el conocimiento de los límites de esta técnica, teniendo siempre en cuenta la historia clínica y el examen físico, nos va a mejorar sustancialmente la toma de decisiones. Este análisis abarca tanto la sonoanatomía normal del testículo como diversas enfermedades que pueden ser de interés en la consulta.
Ultrasound stands out as the most suitable non-invasive diagnostic technique for examining testicular pathology. It has the ability to differentiate the most relevant causes of acute pain and scrotal inflammation, such as epididymitis, testicular torsion, and acute trauma. In patients with palpable irregularities or scrotal swelling, ultrasound can identify, locate, and characterize both intratesticular and extratesticular masses. Using a high-frequency linear transducer enables detailed visualization of testicular anatomy and surrounding structures. Additionally, it allows for the assessment of vascular perfusion through Doppler analysis. Considering clinical history and physical examination proper training and understanding the technique's limitations significantly enhance decision-making. This analysis covers both the normal sonoanatomy of the testicle and a variety of pathologies that may be of interest in a physician's office.
La ecografía se posiciona como la técnica principal para examinar la enfermedad escrotal, posibilitando un diagnóstico diferencial crucial en la determinación del manejo subsiguiente. Por lo tanto, familiarizarse con la técnica y comprender los principales signos ecográficos son aspectos esenciales para alcanzar dicho objetivo. El estudio detallado de la anatomía y de su representación ecográfica es de vital importancia para poder detectar la enfermedad1–10.
El examen clínico a menudo proporciona signos y síntomas no específicos como dolor escrotal, inflamación o una masa palpable en el escroto. Con una sensibilidad cercana al 100% para el diagnóstico de masas escrotales, la ecografía permite identificar y caracterizar lesiones intratesticulares o extratesticulares, y a menudo puede distinguir entre lesiones benignas o malignas. Así mismo, se ha convertido en el estudio de imagen de elección para evaluar el dolor escrotal agudo2,5–10.
En cualquier caso, una valoración correcta de la enfermedad escrotal comprende un estudio clínico y una exploración física previa adecuados. Se debe tener en cuenta que las variantes patológicas son innumerables, y en el caso de masas testiculares, el diagnóstico en muchas ocasiones es producto del estudio histológico1,6.
Esta revisión bibliográfica proporciona una visión general de la anatomía ecográfica del escroto y su sistemática, seguida del diagnóstico de diversas lesiones y enfermedad que podemos encontrarnos en nuestras consultas.
IndicacionesLas indicaciones de la ecografía escrotal para el médico de atención primaria son:
- •
Dolor escrotal agudo, descartando situaciones de urgencia como la afectación isquémica en la torsión testicular.
- •
Traumatismo escrotal agudo.
- •
Estudio de la localización y caracterización de masas escrotales.
- •
Localización de testes no descendidos.
Para la exploración ecográfica testicular se emplean habitualmente transductores lineales de alta frecuencia (entre 7,5 y 13MHz)9,11. Aunque con la escala de grises suele ser suficiente para el diagnóstico de la mayoría de la enfermedad, el empleo del Doppler color puede ser de gran ayuda en casos seleccionados. Se explora al paciente en decúbito supino mientras sujeta el pene cranealmente1,9,11–14.
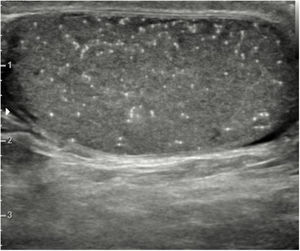
En condiciones normales ambos testículos se localizan en la bolsa escrotal, el izquierdo más bajo que el derecho. Su tamaño oscila entre 4 y 5cm de eje mayor por 2-3cm de ancho para un volumen normal de 30cc. Presentan un parénquima homogéneo. En la cara posterior del testículo se halla el mediastino o cuerpo de Highmore, visible como una zona lineal e hiperecogénica. Desde la zona del mediastino se extienden finos tabiques originados en la túnica albugínea que dividen el parénquima testicular en lóbulos, isoecogénica respecto al parénquima. El cuerpo y la cola no son siempre visibles, se situarían en posición posterolateral y su densidad es algo menor (fig. 1). Los vasos intraparenquimatosos pueden observarse ocasionalmente como pequeñas imágenes lineales hipoecogénicas. La rete testis se puede identificar hasta en un 18% de los pacientes como un área hipoecogénica estratificada adyacente al mediastinum testis12,14,15.
Vascularización: Se analizará mediante la ecografía Doppler-color espectral y power Doppler13. Se debe realizar en todas las exploraciones ecográficas del escroto, especialmente en los casos de escroto agudo. Es imprescindible realizar un estudio comparativo obteniendo imágenes con doble ventana en las que los parámetros del Doppler sean idénticos al analizar y obtener imágenes de cada uno de los testículos y sus epidídimos. Debe empezarse el estudio por el testículo sano, para ajustar los parámetros en escala de grises y Doppler-color y mantenerlos a lo largo del estudio1,9,12–14.
Estructuras extratesticulares: En una exploración completa debe realizarse una evaluación ecográfica de las estructuras extratesticulares como el cordón espermático y el canal inguinal. Se pueden emplear maniobras de Valsalva o la posición en bipedestación para su evaluación12,13.
Hallazgos patológicosLesiones intratesticularesEl papel principal de la ecografía en el diagnóstico de los tumores es ayudar a distinguir entre lesiones intratesticulares y extratesticulares, ya que la mayoría de las masas extratesticulares son benignas, mientras que las masas intratesticulares tienen una mayor probabilidad de ser malignas.
Las masas intratesticulares se clasifican como sólidas, quísticas o mixtas. Por lo general, las lesiones quísticas son benignas, mientras que las lesiones sólidas y mixtas, con pocas excepciones, deben considerarse como neoplásicas2,8,9.
En los varones con masas testiculares, la ecografía escrotal se ha convertido en una extensión del examen físico, pero nunca debe considerarse un sustituto de este último1,4,6.
Tumores malignos del testículoEl cáncer testicular es una enfermedad que típicamente afecta a varones jóvenes, siendo la formación de masa sólida más frecuente en este segmento de la población. En caso de sospecha la primera evaluación recomendada es la ecografía testicular, ya que exhibe una sensibilidad cercana al 100% y una especificidad del 99%2,6,8,9,16.
Sin embargo, la diferenciación de los tumores con la ecografía sigue siendo un reto debido a la importante superposición de las características de las imágenes entre diferentes tipos de tumores3,6,7.
Germinales- •
Seminomas.
- •
No seminomatosos: Carcinoma de células embrionarias, teratomas, coriocarcinomas.
Entre los tumores testiculares, los de células germinales representan la inmensa mayoría. De estos, el seminoma es el tumor testicular puro más frecuente, y aparece con mayor frecuencia en pacientes adultos, en torno a la edad de 40 años.
La mayoría de las veces, el seminoma se encuentra confinado al interior de la túnica albugínea. Suele presentarse ecográficamente como una lesión homogénea, hipoecogénica e intratesticular, de aspecto numular. Ocasionalmente es multinodular (vídeo 1) o se presenta como una lesión focal con márgenes lobulados (figs. 2a y b).
Cortes longitudinales de masas testiculares: a) Masa intratesticular homogénea e hipoecogénica (medida en ejes longitudinal y anteroposterior con línea discontinua amarilla) con diagnóstico anatomopatológico de seminoma; b) Imagen a con captación Doppler color; c) Masa que ocupa la práctica totalidad del teste (medido en ejes longitudinal y anteroposterior con línea discontinua amarilla) hipoecogénica con diagnóstico anatomopatológico de linfoma.
El carcinoma embrionario testicular, por el contrario, suele ser más heterogéneo, mal delimitado, coexistiendo áreas hiper e hipoecogénicas y focos de hemorragia y necrosis. Los quistes degenerativos, atrapamiento vacuolar o focos hemorrágicos y la disrupción albugínea son frecuentes6.
El teratoma es el segundo tumor más frecuente en el niño, apareciendo antes de los 4 años. El diagnóstico mediante ecografía se basa principalmente en especulaciones, ya que las posibles variaciones son numerosas6,8.
El tipo de tumor de células germinales más agresivo y menos común es el coriocarcinoma. Presenta una ecogenicidad mixta con aspecto heterogéneo, dada la frecuente presencia de calcificaciones, áreas de hemorragia y/o necrosis8.
Debe tenerse siempre presente que una elevada proporción de los pacientes con tumores no seminomatosos (70%) cursan con metástasis al diagnóstico, con lo que resulta muy apropiado extender el estudio ecográfico al retroperitoneo2,4,6–9,16,17.
EstromalesLos tumores estromales de los cordones sexuales representan el 5% de los cánceres testiculares, teniendo mayor prevalencia en la edad pediátrica. Al igual que en el resto de tumores, no existen criterios radiológicos específicos que permitan diferenciarlos.
El más frecuente es el tumor de células de Leydig o de células intersticiales, siendo de estos en torno a un 10% malignos, y ocurriendo en edades comprendidas entre los 20 y 50 años. Ecográficamente se observan como pequeñas lesiones solitarias y unilaterales, sólidas, bien delimitadas, homogéneas, hipoecogénicas, vascularizadas y en raras ocasiones masas de mayor tamaño con áreas de hemorragia y necrosis2,7–10,16,17.
Tumores secundarios. Linfoma. MetástasisOtros tumores testiculares malignos a destacar son el linfoma, el más común (5% de todos los tumores testiculares), seguido de leucemia y menos frecuente, metástasis (próstata, pulmón, tracto gastrointestinal, piel y riñón).
En varones mayores de 60 años, el tumor testicular maligno más frecuente es el linfoma, tratándose normalmente de un linfoma no Hodgkin que presenta un peor pronóstico. Suele ser en su mayoría unilateral y la ecografía nos muestra un testículo de mayor tamaño con un parénquima difusamente hipoecogénico (fig. 2c) con aumento del flujo sanguíneo, o lesiones hipoecogénicas multifocales.
Las metástasis al testículo se diagnostican habitualmente en pacientes mayores de 50 años. Generalmente se encuentran en estadios avanzados del tumor primario y no existe ninguna característica específica en su apariencia ecográfica2,5,6,17.
Masas testiculares benignasUna de las principales tareas del médico ante el hallazgo de una masa intratesticular en ecografía, es diferenciar una lesión sólida (frecuentemente maligna) de lesiones quísticas, normalmente benignas, como la ectasia tubular de la rete testis o quistes simples2.
Quistes testicularesLos quistes simples aparecen aproximadamente entre un 8-10% de los pacientes y se asocian comúnmente a traumatismos, cirugía e inflamación. En la ecografía se distinguen anecogénicos, sin vascularización interna y con refuerzo acústico posterior, presentando tamaños variables (fig. 3a)7–9.
Ectasia tubular de la rete testisLa ectasia tubular de la red testicular es una entidad clínica benigna en la que la dilatación quística de la red testicular es el resultado de la obstrucción parcial o completa de los conductos eferentes, siendo un hallazgo frecuente en pacientes mayores de 50 años asintomáticos. En la ecografía se observa como múltiples estructuras anecogénicas, sin tejido blando ni vascularización Doppler, dentro del mediastino, siendo un hallazgo bilateral habitualmente (fig. 3a). La importancia radica en hacer un diagnóstico diferencial adecuado con lesiones malignas quísticas7–10.
Inflamación. Infección. AbscesosLas zonas infectadas o inflamadas, al igual que los tumores, muestran con frecuencia un incremento en la vascularización en comparación con el tejido testicular normal.
Un absceso testicular se observa en aproximadamente el 5% de los pacientes con orquitiepididimitis y suele aparecer de una a 7 semanas después, a menudo como resultado de un tratamiento defectuoso. Los hallazgos ecográficos pueden ser indistinguibles de una masa tumoral, sin embargo, la evidencia de inflamación perilesional y la ausencia de flujo Doppler intralesional nos orienta al diagnóstico de absceso2,7–9.
InfartosUna de las imágenes nodulares que puede imitar la apariencia de un tumor en la ecografía es el infarto focal. Este tipo de infarto que ocurre de manera espontánea es poco común, suele carecer de síntomas clínicos y resulta complicado distinguirlo claramente de una neoplasia. Una vez más, el uso de Doppler color resulta útil en el proceso de diferenciación con los infartos focales.
Tanto el infarto como el hematoma suelen manifestar una reducción en la señal Doppler, llegando incluso a presentar una ausencia total de vascularización2,7–9.
Micro y macrocalcificaciones testicularesLa calcificación testicular es una afección poco frecuente que se caracteriza por depósitos de calcio dentro de los túbulos seminíferos. Las de mayor tamaño, descritas en la literatura como macrocalcificaciones o simplemente calcificaciones intratesticulares, pueden ser únicas o múltiples, de tamaño variable, y cuando no se asocian a una masa, pueden deberse a traumatismo, infección, infarto o tumores como el tumor «burn-out».
Cuando hay más de 5 microcalcificaciones presentes en una imagen del testículo, esto se denomina microlitiasis testicular. En la ecografía se ven como focos hiperecogénicos de 1 a 3mm sin sombra acústica posterior (Fig. 4). El hallazgo ecográfico de microlitiasis testiculares se encuentra en aproximadamente el 5% de los varones entre los 18 y 35 años. A pesar de múltiples estudios, la relación con el cáncer testicular no está claramente definida.
El término tumor «burn-out» o tumor «quemado» se introdujo para describir los casos en los que el tumor testicular primario se reduce a una cicatriz fibrótica con células cancerosas intratubulares. En los casos reportados, los hallazgos más sospechosos en la ecografía son focos altamente ecogénicos o calcificaciones macroscópicas (>2-3mm), con o sin microlitiasis, en testículos pequeños o atróficos2,6,8,9,16,18.
Lesiones extra testicularesHidroceleAcumulación anormal de líquido seroso entre la capa parietal y visceral del escroto dentro de la túnica vaginal, siendo la causa más frecuente de aumento de volumen escrotal indoloro. Puede ser congénito, por cierre incompleto de la túnica vaginal o adquirido, multifactorial: idiopático, infeccioso, traumático o tumoral10,19. Aunque el hidrocele no es una urgencia escrotal aguda, si el volumen del hidrocele es excesivo podría comprometer la viabilidad del testículo. En la mayoría de los casos, la ecografía escrotal nos va a permitir la evaluación inicial y definir la actitud terapéutica a seguir1. En la ecografía se debe separar lo fisiológico de lo patológico, siendo fisiológico 1-2ml de líquido dentro la túnica. Un hidrocele se visualiza como una colección anecogénica con buena transmisión del sonido rodeando la superficie del testículo. La presencia de tabiques puede estar asociada con infección, traumatismo o metástasis, entre otros. La existencia de ecos en su interior suele corresponder a cristales de colesterol o cuerpos de fibrina9,20 (Fig. 5).
HematoceleSe define como la acumulación de sangre entre la capa visceral y parietal del testículo, secundario a procesos como traumatismo, torsión testicular, procesos neoformativos o por intervenciones quirúrgicas21. También pueden cronificar, teniendo como resultado calcificaciones y/o fibrosis. La ecografía muestra áreas focales de ecogenicidad heterogénea rodeando el testículo que, dependiendo de su evolución, podrá presentarse con debris y septos internos1,19.
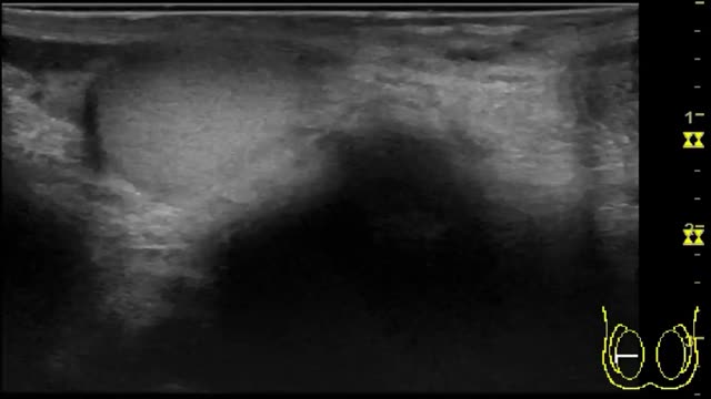
PioceleSe trata de la acumulación de material purulento entre las capas de la túnica vaginal. Su causa principal es la orquiepididimitis no tratada o la rotura de un absceso testicular. Clínicamente presenta dolor escrotal agudo y, en casos graves, puede complicarse con sepsis. Si llegara a extenderse al periné, una de las complicaciones más graves es la gangrena de Fournier19,22.
En ecografía se visualizan colecciones complejas con ecos y septos internos con aumento de la vascularización de la pared escrotal, y en algunos casos con presencia de gas interno visualizado como reflejos hiperecogénicos y sombras9,23 (vídeo 2).
VaricoceleSe define como la dilatación de la vena testicular y del plexo venoso pampiniforme dentro del cordón espermático. Dentro de la historia clínica los pacientes presentan dolor crónico de leve intensidad. Al examen físico se convierte en la masa palpable más común del cordón espermático, siendo predominante en un gran porcentaje de varones con problemas de fertilidad. Su presentación es con mayor frecuencia en adultos jóvenes predominando en el lado izquierdo 85%, 15% bilateral. Si aparece un varicocele derecho aislado se estudiará la causa de la obstrucción del drenaje venoso buscando descartar sus múltiples afectaciones (trombosis de la vena renal derecha, masa renal o retroperitoneal y situs inverso)7,9,10,19 (Fig. 6).
Ecográficamente se visualizan imágenes tubulares, anecogénicas o hipoecogénicas con trayecto tortuoso, con un diámetro mayor de 2 a 3mm, que serán más evidentes al realizar maniobras de Valsalva o en la bipedestación. El uso de ecografía Doppler color nos ayudará a confirmar el diagnóstico al visualizar la existencia de flujo venoso. Con la técnica de Doppler pulsado se visualizará flujo retrógrado durante más de 2s durante la maniobra de Valsalva10,11,24.
Lesiones epididimarias: quiste del epidídimo/espermatoceleSon dilataciones de los túbulos de los conductos eferentes del epidídimo, siendo el contenido linfático claro y seroso en el quiste del epidídimo y con espermatozoides, linfocitos y escombros, de aspecto cremoso en el caso del espermatocele. Pueden ser uni o bilaterales. Se puede presentar hasta en el 40% de los varones, siendo la lesión extra testicular más frecuente. Suelen ser secundarios a epididimitis o traumatismos previos.
Los quistes epididimarios se presentan en cualquier punto del epidídimo y suelen medir menos de 2cm (fig. 3b) y los espematoceles los encontramos en la cabeza y son mayores de 2cm. Los de mayor tamaño desplazarán el testículo, y los diferenciaremos del hidrocele, porque este último rodea al testículo.
En la ecografía los 2 suelen tener las mismas imágenes: imagen anecogénica o con ecos en el interior (espermatocele), única o múltiple, con pared fina y bien definida, con refuerzo acústico posterior y simple o con septos finos en el interior (multiloculares: siendo estos más frecuentes en los espermatoceles). En el Doppler color son imágenes avasculares6,7,9–11,22,24–26.
Perlas, escrotolitos o cálculos escrotalesSon macro calcificaciones extratesticulares, únicas o múltiples, y cuando estas calcificaciones están libres dentro de la túnica vaginal del escroto, con libre movilidad, se denominarán escrotolitos o cálculos escrotales.
Se consideran benignas y no requerirían seguimiento a diferencia de las calcificaciones intratesticulares.
En la ecografía se visualizan como imágenes hiperecogénicas extra testiculares, flotantes (cambiarán de posición con la movilización del paciente), en el cordón espermático o en el plexo pampiniforme, de hasta 1cm de diámetro con sombra acústica posterior, y se aprecian con más facilidad si están asociados a un hidrocele. Con la eco-Doppler se visualiza el típico artefacto en cola de cometa (Twinkling artifact)8,10,19,22,24,26.
Lipomas del cordónTumor benigno más frecuente dentro de los tumores extra testiculares, y en el caso del cordón espermático representa al 50% de estos, presentándose a cualquier edad.
En la palpación se aprecia una masa escrotal blanda, no dolorosa, de tamaño variable, que se descubre de forma incidental.
Ecográficamente se puede detectarse una imagen paratesticular redondeada, bien definida, con ecogenicidad heterogénea, aunque predomina la imagen hiperecogénica sobre la hipoecogénica. El lipoma se deforma al aumentar la presión del transductor sobre este. En la eco-Doppler color son avasculares8–11,22,27.
Tumores adenomatoidesTumor de crecimiento lento, que se localiza a nivel de la túnica vaginal o del epidídimo, concretamente en la cola, siendo dentro de los tumores epididimarios sólidos el más frecuente. Se presenta con frecuencia entre los 20 y 50 años. Suelen ser unilaterales y solitarios y son más frecuentes en el lado izquierdo.
En ecografía se visualizan como una lesión redondeada u ovoide, bien definida, de tamaño variable desde pocos milímetros hasta 7cm, predominando los menores de 1cm. La ecoestructura es homogénea, con ecogenicidad variable. En el estudio Doppler color es avascular8,10,11,19,22.
Escroto agudoCuadro clínico caracterizado por la aparición de dolor agudo acompañado de tumefacción y signos inflamatorios en el escroto. Se considera una urgencia médica28.
Las causas pueden ser inflamatorias/infecciosas, vasculares o traumáticas.
Epidemitis y orquieoepidemitisEs la causa más frecuente de dolor testicular en adolescentes y adultos y se caracteriza por una inflamación del epidídimo y o del testículo, debido a una infección.
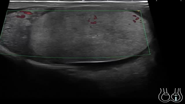
Ecográficamente se caracteriza por aumento de flujo en el Doppler color. Suele ser unilateral. El epidídimo puede estar aumentado de tamaño y ser heterogéneo (vídeo 3). Puede existir hidrocele reactivo y engrosamiento de las cubiertas escrotales. Habitualmente comienza afectando a la cola del epidídimo y se extiende al cuerpo y a la cabeza y si la infección progresa también al testículo (orquioepididimitis). En la orquitis el testículo puede presentar una ecogenicidad heterogénea y hay un aumento del flujo en el Doppler-color en el testículo afecto, al compararlo con el contralateral1,14,28,29 (Fig. 7).
a) Epididimitis con engrosamiento e hipoecogenicidad del epidídimo (señalado con flechas y medido su grosor entre cruces); b) Orquitis avanzada con zonas de marcada hipoecogenicidad del parénquima testicular y área periférica abscesificada con captación Doppler; c) Evolución de «b» una semana después con área abscesificada en polo inferior testicular con hidrocele tabicado secundario (señalado con flechas).
Rotación del testículo sobre sí mismo de forma que el cordón espermático con los vasos testiculares se torsiona y se produce un compromiso vascular. Es una urgencia quirúrgica por el riesgo de isquemia del testículo si no se interviene en las primeras 4-6h.
La ecografía es poco específica en el modo B, cuando se detectan alteraciones en la ecogenicidad es en los casos de torsión avanzada, en los que puede haber una ecogenicidad heterogénea con áreas hipoecogénicas debido a la congestión, edema e infarto, así como un claro aumento de tamaño del testículo afectado. Es imprescindible utilizar el modo Doppler para el diagnóstico. Inicialmente existe una ausencia de flujo venoso y posteriormente también arterial en el testículo afecto al compararlo con el contralateral (Fig. 8). Ha de confirmarse la presencia de flujo en las venas y en las arterias intratesticulares mediante la técnica Doppler espectral (pulsado). Respecto al cordón espermático se puede visualizar el giro o tirabuzón del cordón, conocido como «whirlpool sign». Es muy específico de torsión testicular y se manifiesta como una masa con forma de espiral de localización posterosuperior al testículo con ausencia de flujo o escaso flujo en los casos de torsión intermitente (vídeo 4). En los casos de resolución espontánea se puede ver un flujo intratesticular muy aumentado debido a la llamada fase de reperfusión1,9,28,30.
Torsión del apéndice testicularEl apéndice testicular o hidátide de Morgagni es un remanente embrionario sésil, lo que predispone a su torsión.
Ecográficamente se detecta un apéndice aumentado de tamaño, con aumento de flujo periférico en la exploración con Doppler color. Es frecuente que exista cierta cantidad de hidrocele reactivo. Después del episodio agudo el apéndice disminuye de tamaño y se calcifica. El papel de la ecografía en estos casos es descartar torsión testicular y orquiepididimitis14,27.
TraumatismosLo más importante es determinar si existe rotura testicular ya que es una urgencia quirúrgica.
La rotura testicular se manifiesta como una discontinuidad de la túnica albugínea. También puede existir irregularidad del contorno testicular y ecogenicidad heterogénea con pérdida de la vascularización del parénquima testicular.
En la fractura testicular se detecta solo discontinuidad o rotura del parénquima testicular. A veces se puede identificar una línea hipoecogénica que corresponde a un área avascular en el parénquima testicular, hallazgo que puede asociarse o no a la rotura de la túnica albugínea1,12,14,30,31.
ConclusionesLa ecografía emerge como la principal técnica para evaluar la enfermedad escrotal, facilitando un diagnóstico diferencial crucial para la toma de decisiones. La familiaridad con la técnica y la comprensión de los signos ecográficos son esenciales. Este enfoque seguro y accesible, muestra sensibilidad elevada en el diagnóstico de masas escrotales y de enfermedad aguda. Sin embargo, se destaca que la evaluación completa requiere un estudio clínico previo, considerando la diversidad de variantes patológicas y la necesidad habitual de estudios histológicos para diagnósticos certeros.
FinanciaciónEl artículo se ha financiado exclusivamente con el patrimonio propio de los autores.
Consideraciones éticasSe ha contado con el consentimiento del paciente, y se han seguido los protocolos de los centros de trabajo sobre tratamiento de la información de los pacientes.
Conflicto de interesesLos autores expresan que no existe conflicto de intereses en el artículo realizado.











