Varón de 46 años, sin alergias conocidas, con antecedente de hipertensión arterial en tratamiento con enalapril 20mg/día, sin otras enfermedades de interés.
Acude a consulta por dolor intenso en fosa renal derecha irradiado a fosa ilíaca ipsilateral, acompañado de náuseas y sudoración, sin vómitos, con polaquiuria y tenesmo vesical, sin hematuria visible ni fiebre, de un día de evolución. El dolor cede parcialmente con metamizol. En la exploración física se observa tensión arterial 149/86mmHg, frecuencia cardiaca de 91lpm, saturación de oxígeno del 97% basal y temperatura de 35,9°C. En la exploración abdominal destaca puño-percusión renal derecha positiva, siendo la izquierda negativa, ruidos hidroaéreos presentes, sin masas ni visceromegalias, dolor leve a la palpación en fosa iliaca derecha, sin signos de irritación peritoneal. El resto de la exploración física sistemática es normal.
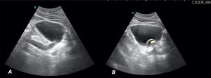
Ante el cuadro sugestivo de cólico renoureteral derecho, se decide realizar ecografía a pie de cama en consulta con los siguientes hallazgos: riñón derecho con dilatación de la vía excretora sugerente de hidronefrosis grado II/IV (figs. 1A y B). Vejiga bien replecionada con imagen anecoica tubular en el corte longitudinal que corresponde al uréter distal dilatado (fig. 2A). En el interior de la vejiga se observa imagen anecoica con borde hiperecoico bien definido que sugiere ureterocele y en su interior, una imagen hiperecoica con sombra acústica posterior de 9,76mm compatible con litiasis (fig. 2B). Riñón izquierdo (fig. 1C), hígado, vesícula y vía biliar intra y extrahepática, bazo, zona pancreática y próstata sin alteraciones.
A) Corte longitudinal. Imagen anecoica a la entrada de la vejiga, que corresponde al uréter dilatado. B) Corte longitudinal. Vejiga bien replecionada con imagen anecoica, con borde hiperecoico bien definido (imagen quística) que sugiere ureterocele. En su interior imagen hiperecoica con sombra acústica posterior de 9,76mm compatible con litiasis.
Se deriva al paciente al servicio de urgencias hospitalarias (SUH). En analítica sanguínea destaca: leucocitos 15.900/μl (neutrófilos 14.100/μl, linfocitos 800/μl), fibrinógeno 527mg/dl, urea 35mg/dl, creatinina 1,6mg/dl, proteína C reactiva 6,9mg/dl, resto sin alteraciones. Sistemático de orina negativo/normal. Sedimento urinario con moco abundante, 6-15 leucocitos por campo, presencia abundante de cristales de oxalato cálcico y 2-5 hematíes por campo. Se cursa urocultivo y se inicia tratamiento conservador con analgesia, fluidoterapia y antibioterapia profiláctica intravenosa. El paciente evoluciona favorablemente, con mejoría del dolor, pero ante los hallazgos de la ecografía realizada en atención primaria, se realiza interconsulta al servicio de urología. Se solicita ecografía urgente que confirma los hallazgos descritos en la ecografía clínica. Se decide manejo conservador y control analítico, con mejoría de la función renal, por lo que se decide alta domiciliaria con analgesia y empleo de alfa-antagonistas para terapia expulsiva, sin tratamiento antibiótico por urocultivo negativo. El paciente expulsa la litiasis y se realiza control ecográfico en atención primaria, visualizándose ambos riñones de morfología, contorno y tamaño normal, con buena diferenciación corticomedular, con vías excretoras no dilatadas, sin imágenes sugestivas de litiasis, con vejiga bien replecionada de paredes lisas sin alteraciones, resolviéndose el ureterocele y la hidronefrosis.
El ureterocele es una dilatación quística del uréter en su extremo intravesical1–3, y constituye una enfermedad infrecuente, especialmente en el adulto1,2. Se clasifican en: ortotópicos o intravesicales, que se producen en localizaciones ureterales normales y son más frecuentes en el adulto; y en heterotópicos (ectópicos) o extravesicales, que se localizan en uréteres ectópicos y sistemas renales y colectores dúplex, son más frecuentes en la edad infantil1,3.
La prevalencia se encuentra entre uno de cada 500 individuos en series de autopsia4,5 hasta uno de cada 4.000 individuos según otros estudios, siendo más común en las personas de raza blanca y en edad pediátrica1, afectando más al sexo femenino en una relación 6:14. La mayoría de ureteroceles son congénitos1,2,5.
La prueba diagnóstica de elección es la ecografía, donde podrá detectarse una imagen en la pared posterior de la vejiga delimitada por una línea hiperecogénica bien definida, redondeada, de pared fina, que cambia de tamaño durante la exploración en tiempo real, sin doppler en su interior. En ocasiones se puede visualizar el uréter dilatado en la zona posterior a la vejiga2,5, como el descrito en este caso. Los uréteres son estructuras de calibre muy estrecho no visibles en ecografía de forma habitual6, salvo en situaciones patológicas donde sufran gran dilatación, como se muestra en la figura 2A. La ecografía permite, además, valorar complicaciones derivadas del ureterocele, como la dilatación del tracto urinario (reflejo ureterovesical o hidronefrosis), permitiendo establecer el grado y gravedad de la afectación renal2,5. El estudio se puede completar con otras técnicas como cistografía, urografía intravenosa, gammagrafía renal, cistoscopia y tomografía axial computarizada (TAC), según cada caso4,5.
El ureterocele es un hallazgo casual en la edad adulta y la clínica es variable. Suelen comenzar con infecciones de repetición. El ureterocele obstructivo que contiene litiasis en su interior, es muy infrecuente en adultos, y existen pocos casos descritos. Otras manifestaciones clínicas pueden ser la incontinencia, la hematuria o masa abdominal palpable por obstrucción renal o del uréter distal1,5.
El tratamiento depende del tipo de ureterocele, el modo de presentación, la repercusión clínica, el tipo de sistema colector y la causa subyacente. En ureteroceles ectópicos, en edad pediátrica y asociados a reflujo ureterovesical, se recomienda intervención quirúrgica (destechamiento, incisión simple, reimplante ureteral, anastomosis ureteropiélica del polo superior al inferior o incluso nefrectomía). En los ortotópicos, en edad adulta, con o sin reflujo ureterovesical, se recomienda manejo conservador con antibioterapia profiláctica y tratamiento de la causa subyacente. En caso de complicación, se debe valorar tratamiento endoscópico y si la función renal se deteriora rápidamente, se podría plantear nefrostomía percutánea urgente2,5,7.
En el caso presentado, extremadamente infrecuente, se decide manejo conservador, por la función renal preservada, la mejoría del dolor y la presencia de hidronefrosis leve/moderada. Para aliviar síntomas a corto plazo, se puede colocar drenaje ureteral o renal5,7, que se desestima en este caso por evolución favorable que no requiere intervención quirúrgica.
La realización de ecografía en la consulta de atención primaria en los casos de crisis renoureteral resulta muy útil. La valoración del sistema renovesical presenta una curva de aprendizaje corta pudiendo ser realizada desde atención primaria con ciertos conocimientos previos. Permite establecer la gravedad del caso valorando la presencia de reflujo ureterovesical, de litiasis y de complicaciones, como el ureterocele.
La realización de ecografía en la consulta presentaría grandes ventajas además de las ya mencionadas previamente, como obtener una respuesta inmediata del diagnóstico de presunción, logrando correlacionar la clínica del paciente con los resultados ecográficos obtenidos y tomar unas decisiones en consecuencia de manera más rápida, eficiente y dirigida, pudiendo evitar en algunos casos derivaciones innecesarias que pudiesen ser tratadas desde atención primaria, o por el contrario en determinados casos realizar una derivación de forma más precoz8.
Responsabilidades éticasProtección de personas y animales. Los autores declaran que para esta investigación no se han realizado experimentos en seres humanos ni en animales.
Confidencialidad de los datos. Los autores declaran que en este artículo no aparecen datos de pacientes.
Derecho a la privacidad y consentimiento informado. Los autores declaran que en este artículo no aparecen datos de pacientes.
Se ha contado con el consentimiento del paciente y se han seguido los protocolos de los centros de trabajo sobre el tratamiento de la información de los pacientes.




