Editado por: Dr. Mariano de la Figuera von Wichmann
(Clínica Olivé Gumà, Barcelona, Spain)
Prof. Dr. Elena Segura-Grau
(Tondela Viseu Hospital Center, Viseu, Portugal)
Última actualización: Diciembre 2024
Más datosLa hematuria es una entidad frecuente en atención primaria. El diagnóstico diferencial abarca múltiples causas: fisiológica, farmacológica, falsa hematuria y diversas enfermedades urológicas, siendo fundamental en su estudio valorar las posibles causas neoplásicas malignas.
La ecografía urológica es una técnica no invasiva, se realiza con sonda convex de 3,5-5MHz, con el paciente en decúbito supino y la vejiga llena. Tras una buena anamnesis y exploración física, el estudio del sedimento urinario y el análisis de laboratorio, la ecografía permite al médico de familia confirmar o descartar un gran número de procesos relacionados con la hematuria: quistes y masas renales, litiasis, obstrucción benigna de próstata, masas vesicales…
Actualmente no existe un consenso general acerca de cuál es la secuencia diagnóstica más apropiada en el estudio de la hematuria, decantándose diversas guías clínicas por la aplicación de estrategias diferentes en función de los factores de riesgo de cada paciente. No obstante, la ecografía junto con cistoscopia se ha posicionado como la estrategia diagnóstica más rentable en la mayoría de los casos.
El uso de la ecografía en la valoración del paciente con hematuria en atención primaria permite realizar una valiosa aproximación diagnóstica, detectando signos de alarma y orientando adecuadamente la derivación del paciente a otros niveles, si es necesario, de forma temprana.
Hematuria is a frequent entity in primary care. The differential diagnosis covers multiple causes: physiological, pharmacological, false hematuria and urological pathologies, being fundamental in its study to assess the possible malignant neoplastic causes.
Urologic ultrasound is a non-invasive technique, using a 3.5-5MHz concave probe, with the patient lying supine and the bladder full. After anamnesis, physical examination, study of urinarium sediment and laboratory analysis to determine renal function, ultrasound allows the family doctor to confirm or rule out a large number of processes related to the etiology of hematuria: cysts and kidney masses, renal lithiasis, nephrocalcinosis, benign prostatic hyperplasia, polyps or vesical masses... However, this alone is not sufficient to establish a firm diagnosis in all cases.
Currently, there is no general consensus about the most appropriate diagnostic sequence in the study of hematuria, and several clinical guidelines were chosen for the application of different strategies depending on the risk factors. However, ultrasound together with cystoscopy has been positioned as the most cost-effective diagnostic strategy in most cases.
The use of ultrasound in the evaluation of the patient with hematuria in primary care allows a valuable diagnostic approach to be made, detecting warning signs and properly orienting the patient's referral to other levels, if necessary, early.
La hematuria es un motivo muy frecuente de consulta en atención primaria (AP) y en las urgencias hospitalarias y extrahospitalarias. La alta prevalencia de la hematuria hace que sea muy relevante que desde el primer nivel asistencial se puedan realizar todas las pruebas complementarias necesarias para la mejor aproximación diagnóstica. Es por esto por lo que el papel de la ecografía es tan importante en el abordaje de esta enfermedad. La presencia de un ecógrafo en estos ámbitos sanitarios puede resultar de tremenda utilidad para el diagnóstico y el tratamiento de estos pacientes, ya que con la ecografía es posible determinar la etiología de la hematuria y las posibles complicaciones del proceso responsable.
La hematuria, definida como la presencia de sangre en la orina, tiene una prevalencia en la población general muy variable que oscila entre el 2,5 y el 20%1–3. Es una entidad frecuente en AP, debiendo diferenciarse 2 situaciones: macrohematuria (hematuria visible) o presencia de >100 hematíes/campo de alta potencia en una muestra de orina recogida correctamente, y microhematuria o presencia de 3 o más hematíes/campo en una muestra de orina correctamente recogida, solo detectable por estudio microscópico.
La macrohematuria generalmente es observada por el propio paciente, y requiere confirmación diagnóstica mediante estudio de sedimento urinario para descartar seudohematuria o falsa hematuria ocasionada por la coloración rojiza de la orina por otras causas o contaminación. Es menos frecuente que la microhematuria, pero se asocia con mayor frecuencia a enfermedad maligna.
La microhematuria suele ser un hallazgo incidental (microhematuria asintomática) debiendo confirmarse en al menos 2 o 3 análisis de orina sucesivos. Se asocia con tasas más bajas de malignidad del tracto urinario.
En cualquier caso, ante la presencia de hematuria, y aunque esta no siempre se asocie a enfermedad subyacente, es obligado descartar la existencia de un proceso neoplásico maligno urológico, siendo los tumores vesicales los que con mayor frecuencia se asocian a la macrohematuria.
Entre las causas de hematuria podemos diferenciar:
- -
Falsa hematuria: coluria, hemoglobinuria, determinados alimentos, menstruación, metrorragia, hemospermia, ureterorragia…
- -
Causa farmacológica: AINE, ciclofosfamida
- -
Causa hematológica: coagulopatías congénitas o adquiridas
- -
Hematuria fisiológica: estados febriles, ejercicio intenso, …
- -
Causa nefrológica: enfermedad glomerular, nefropatías, poliquistosis, …
- -
Causa urológica: ITU, cistitis, urolitiasis, traumatismos, cuerpo extraño, patología vascular, neoplasias benignas primarias (OBP, oncocitomas), neoplasias malignas primarias (adenocarcinoma de próstata, carcinoma de células renales, tumores uroteliales, carcinoma vesical), metástasis, linfoma
- -
Causa iatrogénica: instrumentación o procedimiento en la vía urinaria
- -
Miscelánea: amiloidosis, endometriosis
Dado que el diagnóstico diferencial es extenso, es recomendable una anamnesis y una exploración física detalladas en estos pacientes, seguido de una analítica con función renal y un estudio morfológico de los elementos celulares hallados en el sedimento urinario, todo ello con 2 objetivos principales: determinar el origen de la hematuria4 y establecer individualmente los factores de riesgo de malignidad de cada paciente, ya que, tal como recogen las últimas guías clínicas, como la de la Asociación Americana de Urología (AUA)2, será dicho riesgo el determinante fundamental para decidir la secuencia de pruebas complementarias, incluyendo ecografía, TAC, citología urinaria, urografía y cistoscopia.
IndicacionesLa ecografía tiene un papel relevante en el estudio diagnóstico de un gran número de procesos causantes de hematuria, tales como litiasis, quistes renales, enfermedad prostática, y puede ser considerada actualmente la prueba de imagen de elección en la valoración inicial de estos pacientes, ya que la combinación de ecografía y cistoscopia ha sido identificada como la más rentable en el diagnóstico tanto de macro como de microhematuria6.
Actualmente no existe un consenso claro sobre la secuencia más adecuada para el diagnóstico de la hematuria, existiendo gran variabilidad entre las recomendaciones de diferentes guías y grupos de expertos. No obstante, podemos establecer algunas recomendaciones para el manejo de estos pacientes en el ámbito de la AP6–8:
- –
Todos aquellos pacientes con macro o microhematuria y sospecha de lesión renal aguda u origen glomerular, deberán ser derivados a nefrología para estudio:
- •
La macrohematuria debe investigarse siempre, excepto que exista una causa benigna obvia. Incluso en estos casos, debería realizarse un estudio si la hematuria persiste.
- •
En estos pacientes podría considerarse la combinación de ecografía y uretrocistoscopia como la más adecuada.
- •
- –
La microhematuria asintomática supone el mayor reto diagnóstico dentro del grupo de las hematurias. En estos pacientes la valoración inicial recomendada es la valoración clínica y analítica junto con la ecografía renal y vesical en el ámbito de la AP4.
- •
Si en la valoración ecográfica inicial existen anomalías o estamos ante un paciente con múltiples factores de riesgo, se debería ampliar el estudio, valorando urografía por tomografía (CTU).
- •
Los pacientes con alto de riesgo de malignidad, tales como edad ≥60 años, antecedentes de tabaquismo de >30 paquetes/año, >25 hematíes/campo en orina o historia de macrohematuria previa, deben someterse a cistoscopia e imágenes del tracto urinario superior con CTU.
- •
La ecografía es la prueba de elección para el estudio inicial de hematuria en las mujeres embarazadas4. Otros estudios deben ser aplazados, si es posible, hasta después del parto9,10.
El uso de la ecografía en la valoración del paciente con hematuria en AP permite dirigir nuestra sospecha diagnóstica, detectar signos de alarma y orientar más adecuadamente la derivación del paciente a otros niveles si es necesario, en tiempo y forma aropiados3.
Técnica de exploración y hallazgos normales5La ecografía es una técnica inocua y muy accesible. Actualmente existen ecógrafos que se están implantando en los centros de salud de muchas comunidades autónomas de nuestro país, que permiten la realización de una ecografía en el centro cuando el paciente acude a consulta o en los servicios de urgencias, que permiten al médico realizar una ecografía sin depender del radiólogo de guardia. Además, se está invirtiendo en ecógrafos ultraportátiles que permiten hacer la ecografía en el domicilio del paciente cuando las circunstancias del paciente o la enfermedad lo exigen, por ejemplo, paciente con dificultad de movilidad, unidades de cuidados paliativos, ámbito rural…
Ante el estudio de una hematuria es importante conocer bien las indicaciones de cuando realizar la ecografía y la preparación necesaria para una adecuada valoración y exploración urológica.
Para la realización de una ecografía urológica lo más importante es que el paciente tenga una adecuada repleción vesical, no habiendo consenso en el volumen de orina requerido, pero en nuestra experiencia deben ser al menos de 200-250cc. La importancia de esta repleción radica en que la visualización de la pared vesical es mejor cuanto más llena esté la vejiga.
La técnica precisa una sonda convex de 3,5-5MHz de frecuencia y el paciente colocado en decúbito supino, aunque para explorar los riñones a veces se coloca al paciente en decúbito lateral. Se realizan cortes longitudinales y transversales de ambos riñones a nivel subcostal pidiéndole una inspiración forzada al paciente. Se utiliza la ventana intercostal cuando existe abundante meteorismo intestinal que dificulte la visualización de los riñones por vía abdominal.
Los riñones se visualizan como estructuras ovaladas, con una clara diferenciación corticomedular, es decir, observando una zona cortical más hipoecogénica y una zona medular o sinusal más hiperecogénica. Presentan un eje longitudinal de 9-13cm y un eje transversal de 4-6cm siendo habitualmente el riñón izquierdo de mayor tamaño que el derecho. El grosor del parénquima renal normal tiene un grosor medio de entre 1,1 y 2cm5,10,11.
Para la visualización de la vejiga y la próstata realizaremos cortes longitudinales y transversales colocando la sonda en la región suprapúbica e inclinando ligeramente la sonda para sortear la sínfisis del pubis5.
Hallazgos patológicosEn el abordaje ecográfico de cualquier órgano o estructura es importante valorar, como norma general, el tamaño, la estructura, la morfología, la presencia de lesiones ocupantes de espacio y la existencia de enfermedad inflamatoria de ese órgano o sistema.
Ante un paciente con hematuria es muy importante tener claras las distintas etiologías y saber en cuales de ellas la ecografía tiene un papel relevante en su diagnóstico.
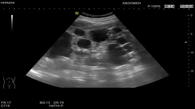
Quistes simples renalesLos quistes simples renales son lesiones benignas, asintomáticas y muy frecuentes (2-3%)1.
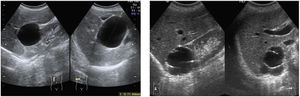
Ecográficamente las visualizamos como lesiones anecogénicas, redondeadas, de tamaño variable, de paredes finas y lisas, con refuerzo acústico posterior y sin contenido en su interior ni tabiques. Pueden ser corticales si dependen de la corteza renal o sinusales si se localizan en la zona medular10. Existen casos excepcionales en los que el quiste puede tener algún tabique en su interior, de mayor o menor grosor, con o sin contenido en su interior. Es en estas situaciones en las que hablamos de quistes complejos y es importante realizar una TAC para la correcta clasificación del quiste en la conocida como clasificación de Bosniak, que realmente es una clasificación radiológica de la TAC, no es una clasificación ecográfica (fig. 1 y video 1).
Imagen de la izquierda: Corte longitudinal y transversal en hipocondrio derecho. Quiste simple cortical de paredes finas, sin contenido, de unos 7cm. Imagen de la derecha: Corte longitudinal y transversal en hipocondrio derecho. Quiste cortical de paredes finas, con algún tabique fino en su interior.
A veces los quistes pueden sufrir una rotura espontánea o sangrado intraquístico, lo cual genera fiebre y dolor lumbar. En caso de complicación se observa una lesión con contenido ecogénico, bordes imprecisos, pérdida del refuerzo y a veces pérdida de la morfología redondeada habitual11,12.
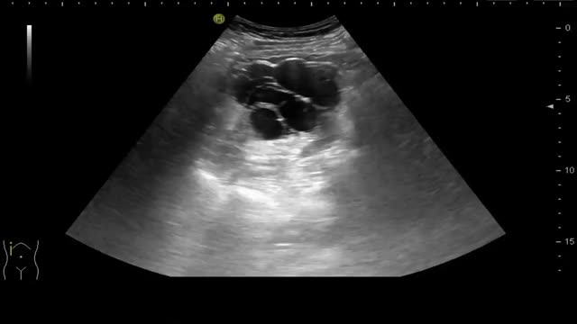
Poliquistosis renalLa poliquistosis renal es una enfermedad autosómica dominante que se caracteriza por la presencia de múltiples quistes simples en ambos riñones, asociado o no a quistes simples hepáticos (poliquistosis hepatorrenal). El crecimiento de estos quistes destruye el parénquima renal y puede generar enfermedad renal crónica. El diagnóstico precoz de esta patología es importante porque se consigue un seguimiento clínico más estricto, se cumplen los objetivos terapéuticos y se retrasa el avance de la enfermedad. La ecografía abdominal es la mejor técnica de imagen para el diagnóstico, el cribado de familiares y el seguimiento de pacientes. Los hallazgos ecográficos observados son múltiples lesiones quísticas, la mayoría simples, de tamaño muy variable que aumentan de forma importante el volumen renal total (VRT) que se ha visto una relación directa entre el VRT y la pérdida funcional del riñón.
El diagnóstico ecográfico de una poliquistosis en pacientes con antecedentes familiares es (video 2):
- –
15-39 años: 3 quistes de distribución uni o bilateral
- –
40-59 años: 2 quistes en cada riñón
- –
>60 años: 4 quistes en cada riñón
La urolitiasis es una enfermedad frecuente, no exenta de morbilidad, cuya prevalencia está aumentando en los países desarrollados. Las técnicas de imagen utilizadas para el diagnóstico son la radiografía simple, la ecografía, la TAC y la urografía intravenosa. Pueden ser asintomáticas o producir síntomas de obstrucción de tracto urinario y hematuria.
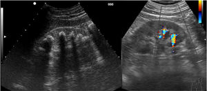
Ecográficamente las litiasis se observan como estructuras hiperecogénicas puntiformes o con forma de teja, con 2 artefactos ecográficos que apoyan el diagnóstico, la sombra acústica posterior y el artefacto centelleo con Doppler color (fig. 2 y video 3).
Se localizan en cualquiera de los cálices renales, en la pelvis renal, uréteres y vejiga. Son visibles con ecografía cuando son superiores a unos 4mm y son más fáciles de visualizar cuando se localizan en los calices o en la vejiga; y mucho más difíciles en el trayecto de los uréteres13.
Cuando una litiasis se desplaza hacia el uréter produce clínica compatible con un cólico renoureteral (dolor lumbar, náuseas, vómitos, …), y ecográficamente se observan signos de uropatía obstructiva, es decir, hidronefrosis o dilatación de la pelvis renal y/o los calices renales. Es en estos casos en los que hay que intentar determinar la localización de la litiasis que está produciendo la obstrucción. Con ecografía se localiza con facilidad si se encuentra en la pelvis renal o en el uréter distal, y es más difícil en el uréter medio por la interposición de meteorismo intestinal.
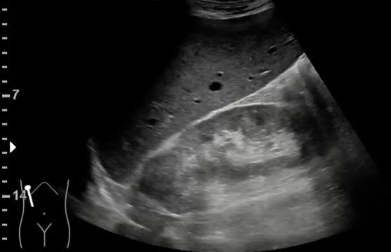
Crecimiento benigno de la próstataLa ecografía es la técnica de imagen más adecuada para la valoración inicial de un paciente con un síndrome prostático. Permite la visualización de todo el sistema urinario, riñones, vejiga y próstata, valorando posibles alteraciones que pueda producir el crecimiento prostático. En los casos en que exista hematuria es importante evaluar no solo el tamaño prostático sino también la existencia de datos de vejiga de lucha, coágulos y litiasis vesicales.
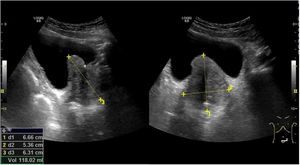
La ecografía por vía abdominal permite no solo la medición de tamaño prostático, es decir los ejes y el volumen, sino también la forma de crecimiento, valorando si es un crecimiento uniforme o principalmente del lóbulo medio.
Para la medición de tamaño prostático se utiliza la doble pantalla para poder medir en el corte longitudinal el eje craneocaudal y en el corte transversal el eje anteroposterior y el transversal de la próstata, y de esta manera poder hallar el volumen prostático. La clasificación del crecimiento prostático es5 (fig. 3 y video 4):
- -
Grado I: Eje AP 30-38mm y volumen 20-36cc
- -
Grado II: Eje AP 38-45mm y volumen 36-60cc
- -
Grado III: Eje AP 45-55mm y volumen 60-90cc
- -
Grado IV: Eje AP>55mm y volumen >90cc
En los casos en los que hay un crecimiento principalmente del lóbulo medio, estas medidas son algo diferentes, ya que el lóbulo medio protruye hacia la luz vesical dando una imagen a veces de lesión intraluminal.
En los casos en los que el crecimiento prostático va asociado a vejiga de lucha encontraremos como datos ecográficos un engrosamiento difuso de las paredes vesicales, con la presencia de divertículos vesicales, visualizados como evaginaciones de la pared, habitualmente con cuello estrecho en los que podemos encontrar en algunas ocasiones litiasis en su interior14.
En algunos pacientes con crecimiento prostático y hematuria de larga evolución se pueden observar coágulos vesicales, visualizados como masas heterogéneas, sólidas, habitualmente redondeadas, que se movilizan con los cambios posturales, lo que determina que no depende de pared vesical y, por tanto, descartar que se trate de una neoplasia vesical.
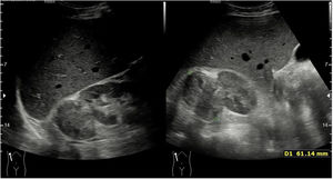
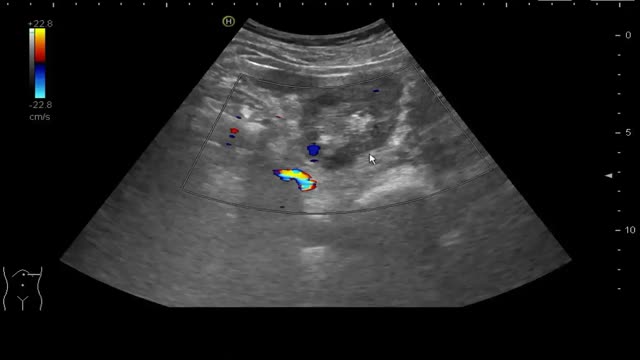
Carcinoma renalLos tumores renales suponen el séptimo cáncer en frecuencia en todo el mundo. Habitualmente afecta a varones y su mayor incidencia está entre los 60 y 70 años. Entre los distintos tipos de carcinoma renal destacan el carcinoma de células claras (80%) y el carcinoma papilar (15%). La detección de este tipo de tumores ha aumentado mucho por el diagnóstico incidental al realizar pruebas de imagen dentro del proceso diagnóstico de otras patologías generalmente digestivas o revisiones de pacientes con síndrome prostático.
La ecografía es una técnica insustituible en el diagnóstico de los tumores renales ya que es accesible, no invasiva y muy fácilmente reproducible. Una vez visualizada la lesión sólida renal mediante ecografía se realiza una TAC o una RMN para la planificación quirúrgica y el seguimiento posterior del paciente.
Ecográficamente es imposible distinguir entre los diferentes tipos de carcinoma renal. Normalmente se observa una masa renal sólida, generalmente heterogénea, dependiente de la corteza renal, más o menos exofítica, de predominio hipoecogénico. Las lesiones de muy pequeño tamaño suelen pasar desapercibidas con ecografía. Cuando se observa una lesión sólida hiperecogénica suele indicar presencia de grasa y por tanto podría tratarse de un angiomiolipoma, pero no siempre es así, por lo que, dependiendo del tamaño, las características y los síntomas (hematuria) y/o factores de riesgo del paciente puede estar indicado una TAC o una RMN. Durante la ecografía es importante utilizar el Doppler color para valorar la vascularización intralesional, que en caso de confirmarse es un criterio de malignidad, pero en los casos en los que el Doppler sea negativo no indica benignidad. Otro dato importante es la morfología de la lesión. Cuando una lesión es redondeada y de bordes bien definidos, se sospecha benignidad; mientras que una lesión de bordes mal definidos o lobulados es más sospechosa de malignidad15 (fig. 4 y video 5).
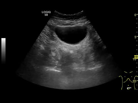
Tumor vesicalEl carcinoma vesical es el segundo cáncer urotelial más frecuente, después de cáncer de próstata. Es mucho más frecuente en varones y el factor de riesgo más importante es el tabaquismo. Además, son tumores con mucha frecuencia multifocales y con un índice de recidiva muy alto. También se puede detectar otros tipos de tumores vesicales como el carcinoma escamoso o el adenocarcinoma, pero son menos frecuentes.
Normalmente ante un paciente con hematuria en el que sospechamos tumor vesical se debe realizar una adecuada exploración física y solicitar analítica de orina, ecografía y cistoscopia.
Para poder realizar adecuadamente la ecografía es necesario una repleción vesical de al menos 200-250cc para poder visualizar correctamente toda la pared vesical. Con la ecografía podemos definir la localización del tumor y el tamaño. Los tumores más difíciles de visualizar son aquellos situados en el cuello de la vejiga o en la pared anterior, mientras que son muy fácilmente visualizables los tumores de la pared posterior o lateral. Con respecto al tamaño es importante conocer que los tumores inferiores a 5mm son difíciles de visualizar.
Los tumores vesicales se observan como lesiones sólidas, generalmente polipoideas, dependientes de pared, que no se movilizan con los cambios posturales del paciente (fig. 5).
Una vez que se detecta la lesión sólida de crecimiento intraluminal es importante utilizar el Doppler color para ver si presenta vascularización, pero en caso de tener Doppler positivo no indica más criterios de malignidad ni de agresividad del tumor16.
ConclusiónEl desarrollo e implantación de la ecografía en el ámbito de la AP, medicina de urgencias y medicina rural es ya un hecho, lo que permite al médico tener una herramienta de mucho valor ante un paciente con hematuria.
La ecografía es una extensión de la historia clínica del paciente y de la exploración física, ya que puede ayudar al diagnóstico de la patología causante de la hematuria, mejorar la derivación del paciente acortando tiempos de espera y en muchos casos permite el seguimiento de determinadas enfermedades.
Habitualmente pediremos al paciente que acuda a la realización de la ecografía con una repleción vesical adecuada que permita no solo valorar los riñones, sino también toda la pared vesical y la próstata en los varones.
Las causas de la hematuria pueden ser múltiples, y es importante tener claro el diagnóstico diferencial para poder obtener con la ecografía la máxima información posible.
La ecografía adquiere una especial relevancia en el diagnóstico de los quistes renales, tanto simples como complejos, en el diagnóstico y en el seguimiento de los pacientes con poliquistosis renal y sus familiares; por supuesto en la valoración de la urolitiasis, tanto en los pacientes asintomáticos como en los que presentan sintomatología de cólico renoureteral con uropatía obstructiva. Un capítulo muy importante es la capacidad que ofrece la ecografía en el diagnóstico de las neoplasias urológicas que causan hematuria, tanto las benignas (la hipertrofia benigna de próstata) como las malignas (carcinoma renal o vesical). En estos casos la detección de este tipo de lesiones hace que desde AP se pueda derivar al paciente de una forma adecuada y urgente al urólogo, mejorando así la capacidad de resolución y la asistencia a los pacientes.
Consideraciones éticasSe ha contado con el consentimiento del paciente y se han seguido los protocolos de los centros de trabajo sobre tratamiento de la información de los pacientes.
Conflicto de interesesLos autores expresan que no existe conflicto de intereses en el artículo realizado.








