Head and neck cancer encompasses a heterogeneous group of neoplasms that, together, constitute the seventh most common type of cancer worldwide, with over 660,000 new cases each year.1 These tumors are associated with modifiable risk factors such as tobacco and alcohol consumption, but are often diagnosed in advanced stages, which underscores the need for early and effective intervention in Primary Care (PC).2
Controlling oncological risk factors is one of the main pillars to deal with cancer, so PC plays a very important role in detecting and reducing their presence in the population, since it is the gateway for patients to enter the health system.3 However, in order to carry out preventive measures rather than curative measures, PC has to deal with a series of barriers, including a significant burden of work and the lack of time that can be allocated to primary prevention.4
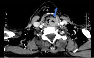
The case presented below is about a 73-year-old male patient with multiple cardiovascular risk factors, a former smoker of 50 pack-years with a history of heavy alcohol consumption, who came to the PC consultation due to a progressive foreign body sensation of 3–4 months’ duration associated with intermittent dyspnea and dysphonia. He had an oxygen saturation that fluctuated between 80 and 95% and, on auscultation, generalized hypoventilation and stridor were noted, with no other significant findings during the physical examination. He was given 80mg intramuscular methylprednisolone, which temporarily relieved his dyspnea. In the emergency department, the laryngoscopy revealed a mass in the left pyriform sinus and the computed tomography (CT) scan corroborated a tumor, which extended from the aryepiglottic fold to the cricoid cartilage, with the airway reduced to 4mm, and a pathological adenopathy at the right level IIA (Fig. 1). The biopsy confirmed the diagnosis of well-differentiated infiltrating keratinizing squamous cell carcinoma.
Head and neck cancers are more common in men than in women (ratio 2:1–4:1) and the average age at diagnosis is 50–70 years.2 90% of these cancers are squamous cell carcinomas and only 30–40% are detected in early stages because they do not usually produce symptoms until the disease is advanced or they are usually non-specific.2 For this reason, they usually have a poor prognosis with a 50% survival rate at 5 years, with hypopharyngeal tumors having the worst prognosis due to their prolonged asymptomatic period and early lymphatic dissemination.1,5
In addition, the incidence of second tumors in head and neck cancer is high, with an annual risk of 2–7%; in fact, the main risk factor is having a previous history of cancer.6 Signs that should make us suspect a tumor in this location from PC include cervical lymph nodes or masses, unilateral referred otalgia or serous otitis media, progressive nasal congestion, oral or nasal bleeding, as well as persistent and progressive dysphagia, odynophagia, dysphonia or irritating cough.7 Although in the described case of hypopharyngeal tumor the onset was a dynamic obstruction of the airway, the most common presentation is metastatic adenopathy.
The skill of Family Doctors is crucial for the management of oncological risk factors and the suspicion of tumors such as the one in the described case, but its importance goes beyond that: PC constitutes a great opportunity, not only to detect malignant tumors, but also to provide health education that in the long term reduce the incidence of cancer.3 For all these reasons, describing this case of a potentially preventable cancer such as head and neck cancer helps us to emphasize the need to implement preventive oncological strategies in PC.
In the etiology of cancer, both genetic and modifiable environmental factors are involved, with the latter accounting for over 90% of cases. Therefore, in order to improve preventive activities in PC, population-level health promotion strategies are necessary to reduce the main modifiable risk factors: tobacco, alcohol, physical exercise and diet.3 It is also essential to emphasize the importance of research in PC to evaluate new strategies for cancer prevention, since this is an area that still needs to be further explored.
In Table 1, we have compiled different strategies for the prevention of head and neck cancer to be carried out in PC. The importance resides in the fact that, given the high prevalence of tobacco, alcohol and the human papillomavirus (HPV) as the main risk factors, these tumors are highly preventable with proper health promotion.6 For this reason and based on the evidence collected, strategies should focus in order of priority on tobacco, alcohol and HPV, but taking into account that an annual increase of 30% in incidence is expected until 2030, especially due to HPV-related oropharyngeal cancer.6 Furthermore, prevention should be emphasized in patients who have already suffered from cancer, since they are the ones who have the highest risk of developing a new one.2
Modifiable risk factors for head and neck cancer and their potential preventive intervention from Primary Care (PC).1–3,6,8,9
| Risk factor | Preventive intervention in PC | Evidence |
|---|---|---|
| Tobacco use | • Brief advice and health education.• Tobacco cessation programs.• Pharmacotherapy: nicotine replacement therapy, bupropion, varenicline, cytisine, and cytisinicline. | Smoking is the main risk factor, contributing to 75% of head and neck cancers.6 Brief 3–5-min advice on the benefits of quitting smoking, which is the main tool for primary prevention, has been shown to significantly increase cessation rates. Quitting smoking for just 1–4 years reduces the risk of developing a tumor in this area by 30%.8 |
| Alcohol consumption | • Brief advice and health education.• Alcoholism screening: tests such as Alcohol Use Disorders Identification Test (AUDIT).• Pharmacotherapy: acamprosate, disulfiram, naltrexone. | Alcohol consumption is the second most important risk factor. Its effects are dose-dependent and multiply when combined with tobacco: worldwide, it alone accounts for 4% of head and neck tumors, but in almost half of tobacco-related cases alcohol was also involved.2,6 Cognitive-behavioral therapy added to drug therapy has been shown to increase alcohol cessation rates.6 |
| Human Papillomavirus (HPV) infection | • Education: provide information on the relationship between HPV and cancer promote safe sexual practices and the importance of vaccination.• HPV vaccination (both women and men). | HPV is associated with oropharyngeal cancer, especially type 16, and is implicated in 72% of head and neck tumors in developed countries.6 HPV vaccination is estimated to potentially prevent 70–90% of HPV-related cancers.9 A U.S. study found an 88.2% reduction in HPV infections thanks to vaccination; however, its impact has not yet been evaluated in large-scale clinical trials.2 |
| Others: physical inactivity, obesity, poor oral hygiene, EBV, harmful substances (wood dust, asbestos, etc.) | • Promotion of healthy lifestyles: a Mediterranean diet rich in fruits and vegetables, regular physical activity and dental health.• Education on occupational risks | These factors are considered minor risk factors for head and neck cancer.1 Their association with several types of cancer has been noted.3 Various studies have shown that a diet rich in fruit and vegetables, especially in vitamin A or beta-carotene, is associated with a reduced risk of head and neck cancer.3,8 |
In conclusion, the implementation of preventive strategies in PC is essential to reduce the incidence of oncological pathology, as the consultation with the family medicine doctor is a crucial opportunity for the management of cancer risk factors. Cases such as the one described of a patient with known risk factors who develops a potentially preventable cancer, highlight the importance and necessity of promoting a solid PC system that enables, beyond treating, primary preventive medicine to detect risk factors early in the population.
Ethical considerationsThis article has been carried out in accordance with the Code of Ethics of the World Medical Association (Declaration of Helsinki) and following the standards of good clinical practice.
FundingThis article has not received any funding.
Conflict of interestThe authors declare there is no conflict of interest.




