El deterioro cognitivo es una afección cada vez más frecuente en las consultas de atención primaria y no en todos se debe a enfermedad de Alzheimer o demencia vascular. Entre otras posibilidades diagnósticas, la hidrocefalia normotensiva o hidrocefalia crónica del adulto puede manifestarse de esta forma.
Se presenta a continuación un caso clínico de hidrocefalia normotensiva, entidad que se caracteriza por una tríada típica: trastornos de la marcha, demencia e incontinencia urinaria.
Con este caso queremos llamar la atención sobre un tipo de deterioro cognitivo que puede ser mejorable si la derivación ventricular es efectiva.
Cognitive impairment is becoming increasingly more common in primary care, and not all is due to Alzheimer's disease or Vascular Dementia. Other diagnostic possibilities, such as normotensive hydrocephalus or chronic adult hydrocephalus also have very similar signs. A clinical case of normotensive hydrocephalus is presented, a condition that is characterised by a typical triad: Gait disturbance, dementia and urinary incontinence.
La hidrocefalia «normotensiva» o hidrocefalia crónica del adulto (HCA), descrita en 1965 por Adams y Hakim, es una entidad poco conocida, que se manifiesta en sus formas completas por un cuadro de demencia progresiva, alteraciones de la marcha e incontinencia de esfínteres. La tríada no es patognomónica, y también puede observarse en la demencia vascular1.
La etiología más aceptada por diversos autores es una alteración en los mecanismos de reabsorción del LCR, tanto en los casos secundarios como en los idiopáticos. Recientemente Albeck et al2 han demostrado que la resistencia a la reabsorción de LCR aumenta con la edad.
El diagnóstico es clínico, con la confirmación radiológica. Las características en la tomografía computarizada (TC) y en la resonancia magnética (RM) en la hidrocefalia no obstructiva son: hidrocefalia cuadriventricular, hipodensidad periventricular en la TC o hiperintensidad en el T2 de la RM: generalmente, representan absorción transependimaria del LCR (líquido cefalorraquídeo) que habitualmente desaparecen tras la colocación de la derivación, colapso de los surcos corticales de la convexidad y astas frontales de aspecto redondeado2.
El tratamiento consiste en derivación ventriculoperitoneal. La respuesta a una sola punción lumbar (PL) (con la extracción de 15-30ml de LCR) o a PL seriadas puede tener algún valor pronóstico3. EL LCR extraído debe enviarse siempre al laboratorio para realizar los estudios habituales.
El síntoma que tiene mayores probabilidades de mejorar con la derivación es la incontinencia; en segundo lugar, los trastornos de la marcha y, por último, la demencia1.
Caso clínicoMujer de 84 años, viuda, autónoma e independiente, con antecedentes de hipertensión arterial, asma extrínseco leve, distimia de años de evolución en tratamiento, degeneración macular en ojo izquierdo, con alteración importante de la visión, espondilolisis con espondiloartrosis, listesis con protrusión discal L4-L5 y estenosis foraminal, y osteoporosis. Sus hijos acudieron a la consulta porque su madre, en los últimos meses, presentaba un deterioro progresivo y generalizado que se manifestaba por dificultad para andar, torpeza, inestabilidad y caídas frecuentes, falta de concentración, olvidos y pérdidas de orina.
A la exploración física se observaba una presión arterial de 130/70 mmHg. No se objetivaron signos de enfermedad cardiaca ni respiratoria. Neurológicamente la paciente se encontraba consciente y algo desorientada temporoespacialmente, bradipsíquica.
Mini-Mental Test: 21/30. Exploración neurológica normal, únicamente podíamos observar una leve pérdida de fuerza en extremidades inferiores.
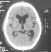
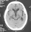
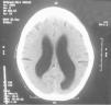
Desde nuestra consulta se solicitó una analítica, donde hemograma, bioquímica, perfil metabólico, perfil hepático, iones, hormonas tiroideas, acido fólico, vitamina B12, coagulación y orina fueron normales. Se realizó TC cerebral, que se informó como dilatación de ventrículos laterales y tercero, y retracción de parénquima cerebeloso (figs. 1–3).
De esta forma se llegó al diagnóstico de deterioro cognitivo secundario a una hidrocefalia normotensiva.
Se remitió a la paciente a neurología, donde se valoró realizar punciones evacuadoras periódicas para evaluar su eficacia. Se realizaron tres punciones evacuadoras, con la extracción de 10ml aproximadamente en cada una, con buena respuesta clínica, y se propuso al servicio de neurocirugía la colocación de una válvula de derivación ventriculoperitoneal. Tras la colocación de esta, la paciente mejoró significativamente en cuanto a su deterioro cognitivo, deambulación e incontinencia, quedando asintomática. A los 6 meses tras la colocación de dicha válvula, la exploración neurológica era normal, persistiendo la leve debilidad en extremidades inferiores, y la clínica anteriormente mencionada había desaparecido totalmente.
DiscusiónAnte un paciente que presenta un deterioro cognitivo, es decir, pérdida o alteración de las funciones mentales, tales como memoria, orientación, lenguaje, reconocimiento visual o conducta, que interfiere con la actividad e interacción social de la persona afectada, podemos pensar en varias afecciones; las más frecuentes son la enfermedad de Alzheimer y sus variantes (50%), la enfermedad cerebrovascular (20%) y la enfermedad de Parkinson (10%). Por ello, en la mayoría de los casos la demencia es irreversible. Pero hay muchas otras causas, algunas reversibles, cuyo diagnóstico es importante descartar, como la demencia de la depresión y las de causas extracerebrales clínicas.
Para precisar la magnitud del deterioro cognitivo y en función de ello confirmar o descartar la presencia de deterioro, se llevan a cabo exámenes específicos que cuantifican las funciones mentales, denominados «examen neuropsicológico cuantitativo» o «examen, pruebas o tests psicométricos»3 (tabla 1).
Tipos de demencia
| Trastorno de la memoria asociado a la edad | Cambios en la memoria de fijación (olvidos). Propios de la edad |
| Deterioro cognitivo leve | Deterioro en la memoria, pero no suficiente para considerarlo propio de demencia, porque las funciones cognitivas globales se preservan |
| Demencia o deterioro cognitivo demencial | Enfermedad de Alzheimer (el 50% de los casos): deterioro cortical. Comienza típicamente por alteración de la memoria reciente, a lo que sigue desorientación temporal, espacial, apraxia y agnosia |
| Demencia vascular: manifestaciones «corticales» (cognitivas) y «subcorticales» (lentitud psicomotriz, junto con paresias, trastornos de la marcha, síndrome suprabulbar, etc., propios de la ECV). Hay lesiones y cambios cerebrovasculares | |
| Demencia mixta: deterioro de tipo Alzheimer, pero también signos y síntomas cerebrovasculares que pueden contribuir a su deterioro | |
| Demencia de la enfermedad de Parkinson: suele establecerse una vez diagnosticadas las manifestaciones motoras de la enfermedad. El trastorno cognitivo es «subcortical», típicamente con gran aumento en las latencias (lentitud psicomotriz), aunque finalmente las respuestas a las pruebas cognitivas sean correctas | |
| Demencia de la depresión («seudodemencia») (20% de los casos): reversible con antidepresivos. |
Tras descartar otros tipos de demencia, sobre todo por la rapidez de instauración de los síntomas (motivo por el que se descartó el trastorno de la memoria asociado a la edad, la demencia tipo Alzheimer, la demencia mixta y la demencia de la enfermedad de Parkinson), tampoco se observaron lesiones cerebrovasculares que justificaran una demencia de tipo vascular, y la paciente no presentaba ningún cuadro depresivo, por lo que también se descartó dicha causa de demencia.
Sobre todo, fueron los hallazgos de la TC, junto con la rápida instauración de la tríada clásica de Hackim y Adams (deterioro cognitivo, incontinencia urinaria y alteración de la marcha), los que ayudaron al diagnóstico.
Con frecuencia se ha utilizado el término «demencia» para describir el deterioro cognitivo asociado a la HCA, pero la utilización de este término no es del todo apropiada. Muchos enfermos presentan cuadros leves de alteración cognitiva que no cumplen con los criterios aceptados de demencia establecidos en la versión IV del Manual Diagnóstico y Estadístico de los Trastornos Mentales (DSM-IV). Los pacientes con HCA presentan un patrón de afección de tipo frontosubcortical, en ausencia de síntomas corticales, como afasia, apraxia o agnosia. La detección de este patrón y la ausencia de los síntomas corticales mencionados nos van a permitir diferenciar esta afección de otras demencias neurodegenerativas. No existe actuallmente un sistema estandarizado para la valoración de la situación basal de estos pacientes y la cuantificación de sus cambios después del tratamiento quirúrgico. Tampoco hay consenso respecto al momento óptimo para realizar dicha valoración. El momento idóneo para la valoración posquirúrgica sería entre los 6 y 12 meses después de la intervención4.
El tratamiento clásico de la HCA supone la implantación de una derivación de LCR ventriculoperitoneal o, en casos muy concretos, ventriculoauricular. Algunos autores han indicado que las derivaciones lumboperitoneales podrían ser una alternativa en el tratamiento de la HCA. Sin embargo, las derivaciones lumboperitoneales no previenen la aparición de colecciones subdurales, suelen asociarse a un elevado porcentaje de disfunciones a largo plazo y pueden causar una herniación secundaria de las amígdalas del cerebelo (Chiari secundario)5.







