Infective endocarditis is an infection of the endocardial surface of the heart. Patients with a prosthetic valve are at higher risk to develop infective endocarditis and more often develop complications of the disease. Pseudoaneurysms are severe complications associated with severe valvular and perivalvular damage.1
A seventy-two-year-old male with a past history of subacute mitral valve endocarditis with severe mitral regurgitation and moderate aortic regurgitation, who has undergone mitral valvuloplasty and placement of aortic biological prosthesis four years before, was admitted to our hospital with complaints of fever for one week. Urine and blood cultures were positive for Enterococcus faecalis and antibiotic therapy with ampicillin and gentamicin was initiated.
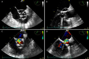
A transesophageal echocardiography (Fig. 1A and B) was performed and demonstrated a biological prosthesis in aortic position with reduced opening and a perivalvular echo-free saccular cavity along with the non-coronary and left coronary cusps, corresponding to a pseudoaneurysm. With Color-Flow Doppler (Fig. 1C and D) it was possible to observe a communication between the perivalvular cavity and the cardiovascular lumen with a high-velocity jet entering the left ventricle outflow tract.
Antibiotic therapy was maintained and the patient was referred for cardiothoracic surgery.



