metricas
covid
Medicina Clínica Spontaneous coronary artery dissection: Not so infrequent to be ignored
Información de la revista
Vol. 153. Núm. 6.
Páginas 245-249 (Septiembre 2019)
Compartir
Descargar PDF
Más opciones de artículo
Vol. 153. Núm. 6.
Páginas 245-249 (Septiembre 2019)
Special article
Spontaneous coronary artery dissection: Not so infrequent to be ignored
Disección coronaria espontánea: no tan infrecuente para ser ignorada
Visitas
26
Pedro L. Cepas-Guillén1, Eduardo Flores-Umanzor1, Manel Sabate, Mónica Masotti
Autor para correspondencia
MASOTTI@clinic.cat

Corresponding author.
Cardiology Department, Cardiovascular Institute (ICCV), Hospital Clinic, IDIBAPS, University of Barcelona, Barcelona, Spain
Este artículo ha recibido
Información del artículo
Texto completo
Bibliografía
Descargar PDF
Estadísticas
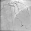
Figuras (4)
Mostrar másMostrar menos

Artículo

Opciones para acceder a los textos completos de la publicación Medicina Clínica
Suscriptor
Suscriptor de la revista

Si ya tiene sus datos de acceso, clique aquí.

Si olvidó su clave de acceso puede recuperarla clicando aquí y seleccionando la opción "He olvidado mi contraseña".
Suscribirse
Suscribirse a:

Medicina Clínica

Comprar
Comprar acceso al artículo

Comprando el artículo el PDF del mismo podrá ser descargado

Comprar ahora
Contactar
Teléfono para suscripciones e incidencias
De lunes a viernes de 9h a 18h (GMT+1) excepto los meses de julio y agosto que será de 9 a 15h
Llamadas desde España
932 415 960
Llamadas desde fuera de España
+34 932 415 960
E-mail
Opciones de artículo
Herramientas