metricas
covid
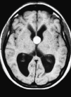
Medicina Clínica Quiste coloide del III ventrículo e hidrocefalia.
Información de la revista
Vol. 118. Núm. 11.
Páginas 440 (Marzo 2002)
Compartir
Descargar PDF
Más opciones de artículo
Vol. 118. Núm. 11.
Páginas 440 (Marzo 2002)
Quiste coloide del III ventrículo e hidrocefalia.
Visitas
3447
M Angustias Ibañez Pérez de la Blancaa, Francisco J Cantalejo Santosa
a Servicio de Cuidados Críticos y Urgencias del Hospital Universitario Virgen de las Nieves. Granada.
Este artículo ha recibido
Información del artículo
Texto completo
Descargar PDF
Estadísticas
Tablas (2)
Fig. 1.
Tablas
Fig. 2.
Tablas
Mostrar másMostrar menos

Artículo

Opciones para acceder a los textos completos de la publicación Medicina Clínica
Suscriptor
Suscriptor de la revista

Si ya tiene sus datos de acceso, clique aquí.

Si olvidó su clave de acceso puede recuperarla clicando aquí y seleccionando la opción "He olvidado mi contraseña".
Suscribirse
Suscribirse a:

Medicina Clínica

Comprar
Comprar acceso al artículo

Comprando el artículo el PDF del mismo podrá ser descargado

Comprar ahora
Contactar
Teléfono para suscripciones e incidencias
De lunes a viernes de 9h a 18h (GMT+1) excepto los meses de julio y agosto que será de 9 a 15h
Llamadas desde España
932 415 960
Llamadas desde fuera de España
+34 932 415 960
E-mail
Opciones de artículo
Herramientas