
Editado por: Alejandro Díez-Vidal - Unidad de Enfermedades Infecciosas. Servicio de Medicina Interna, Hospital Universitario La Paz. Madrid. España
Yale Tung-Chen - Servicio de Medicina Interna, Hospital Universitario La Paz. Madrid. España
Última actualización: Octubre 2025
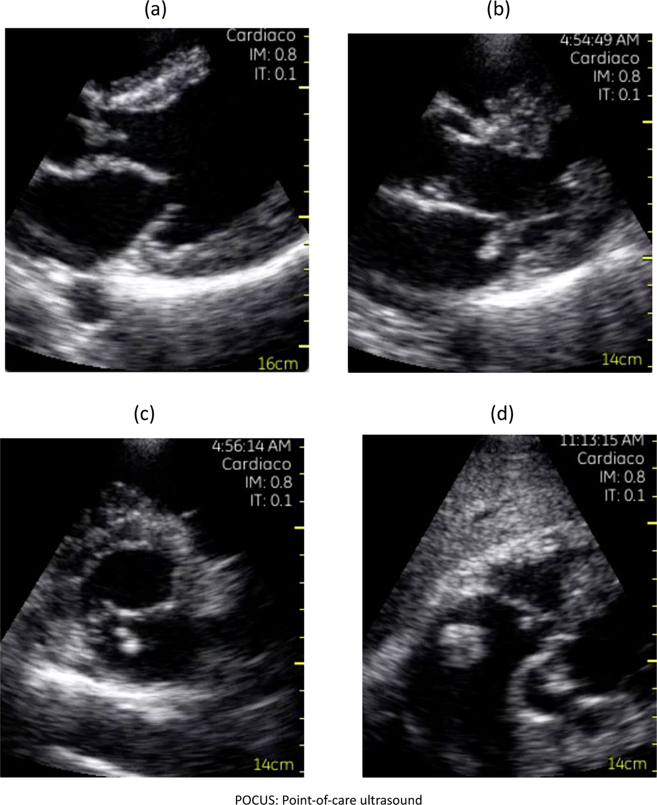
Más datosA narrative review assessed the utility of point-of-care ultrasound (POCUS) in evaluating suspected infective endocarditis (IE). MEDLINE, EMBASE, and Google Scholar were searched for studies published from January 1, 2010 to January 31, 2025. Data extraction was performed independently by three authors. Thirty-five studies involving 293 participants were included, the majority being case reports. For detecting valvular vegetations, POCUS demonstrated a sensitivity of 77% and a specificity of 94%. POCUS may serve as a useful adjunct to bedside physical examination, facilitating the detection of echocardiographic findings suggestive of IE and other endovascular infections. Nonetheless, the predominance of case reports, which represent the lowest level of clinical evidence, substantially limits the external validity and generalizability of these results. Further high-quality studies are warranted to confirm the diagnostic performance and clinical impact of POCUS in this setting. Overall, POCUS shows promise but evidence remains limited by study design.
Se realizó una revisión narrativa sobre la utilidad del ultrasonido en el punto de atención (point-of-care ultrasound [POCUS]) en pacientes con sospecha clínica de endocarditis infecciosa (EI). Se buscaron estudios publicados entre el 1 de enero de 2010 y el 31 de enero de 2025 en MEDLINE, EMBASE y Google Scholar. Tres autores extrajeron los datos de forma independiente. Se incluyeron 35 estudios con 293 participantes, la mayoría reportes de casos. POCUS mostró una sensibilidad del 77% y una especificidad del 94% para detectar vegetaciones valvulares. Como herramienta complementaria a la exploración física a pie de cama, POCUS puede facilitar la identificación de hallazgos ecocardiográficos sugestivos de EI y otras infecciones endovasculares. Sin embargo, el predominio de reportes de casos, que representan el nivel más bajo de evidencia clínica, limita considerablemente la validez externa y la generalización de los resultados. Se requieren estudios de mayor calidad para confirmar estos hallazgos.






