metricas
covid
Medicina Clínica Hodgkin disease presenting as hemoptysis and mimicking lung cancer
Información de la revista
Vol. 165. Núm. 1.
(Julio 2025)
Compartir
Descargar PDF
Más opciones de artículo
Vol. 165. Núm. 1.
(Julio 2025)
Image in medicine
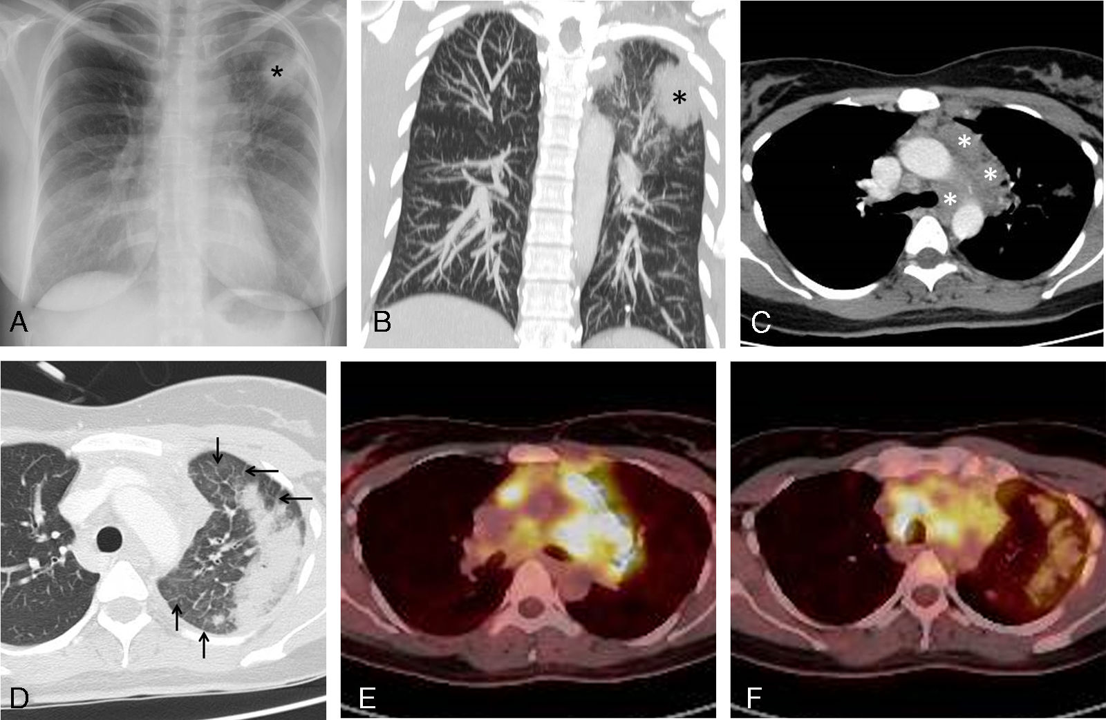
Hodgkin disease presenting as hemoptysis and mimicking lung cancer
Hemoptisis como forma de presentación de un linfoma de Hodgkin que simula un cáncer de pulmón
Visitas
23
Luis Gorospea,
Autor para correspondencia
luisgorospe@yahoo.com

Corresponding author.
, Odile Ajuria-Illarramendib, Rosa Mariela Mirambeaux-Villalonac
a Department of Radiology, Hospital Universitario Ramón y Cajal, Madrid, Spain
b Department of Nuclear Medicine, Hospital Universitario Ramón y Cajal, Madrid, Spain
c Department of Pulmonology, Hospital Universitario Ramón y Cajal, Madrid, Spain
Este artículo ha recibido
Información del artículo
Texto completo
Descargar PDF
Estadísticas
Figuras (1)

Artículo

Opciones para acceder a los textos completos de la publicación Medicina Clínica
Suscriptor
Suscriptor de la revista

Si ya tiene sus datos de acceso, clique aquí.

Si olvidó su clave de acceso puede recuperarla clicando aquí y seleccionando la opción "He olvidado mi contraseña".
Suscribirse
Suscribirse a:

Medicina Clínica

Comprar
Comprar acceso al artículo

Comprando el artículo el PDF del mismo podrá ser descargado

Comprar ahora
Contactar
Teléfono para suscripciones e incidencias
De lunes a viernes de 9h a 18h (GMT+1) excepto los meses de julio y agosto que será de 9 a 15h
Llamadas desde España
932 415 960
Llamadas desde fuera de España
+34 932 415 960
E-mail