metricas
covid
Medicina Clínica False positive AI results due to breast implants on chest radiographs: The impor...
Información de la revista
Vol. 165. Núm. 6.
(Diciembre 2025)
Compartir
Descargar PDF
Más opciones de artículo
Vol. 165. Núm. 6.
(Diciembre 2025)
Image in medicine
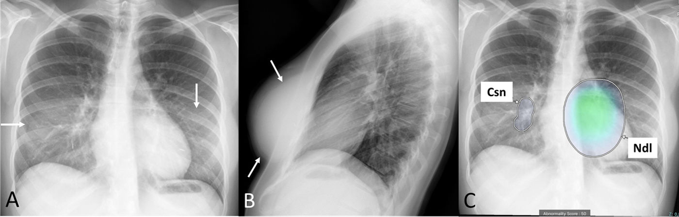
False positive AI results due to breast implants on chest radiographs: The importance of the lateral view
Resultados falsos positivos de la IA debido a prótesis mamarias en la radiografía de tórax: la importancia de la proyección lateral
Visitas
40
Luis Gorospe
Autor para correspondencia
luisgorospe@yahoo.com

Corresponding author.
, Esther Gambí-Pisonero, Ana María Ayala-Carbonero
Department of Radiology, Ramón y Cajal University Hospital, Madrid, Spain
Este artículo ha recibido
Información del artículo
Texto completo
Descargar PDF
Estadísticas
Figuras (1)

Artículo

Opciones para acceder a los textos completos de la publicación Medicina Clínica
Suscriptor
Suscriptor de la revista

Si ya tiene sus datos de acceso, clique aquí.

Si olvidó su clave de acceso puede recuperarla clicando aquí y seleccionando la opción "He olvidado mi contraseña".
Suscribirse
Suscribirse a:

Medicina Clínica

Comprar
Comprar acceso al artículo

Comprando el artículo el PDF del mismo podrá ser descargado

Comprar ahora
Contactar
Teléfono para suscripciones e incidencias
De lunes a viernes de 9h a 18h (GMT+1) excepto los meses de julio y agosto que será de 9 a 15h
Llamadas desde España
932 415 960
Llamadas desde fuera de España
+34 932 415 960
E-mail