metricas
covid
Medicina Clínica Evaluación diagnóstica del derrame pleural
Información de la revista
Vol. 123. Núm. 11.
Páginas 426-432 (Octubre 2004)
Compartir
Descargar PDF
Más opciones de artículo
Vol. 123. Núm. 11.
Páginas 426-432 (Octubre 2004)
Evaluación diagnóstica del derrame pleural
Diagnostic evaluation of pleural effusion
Visitas
17290
José Manuel Porcela, Manuel Rubio Caballeroa
a Servicio de Medicina Interna. Hospital Universitario Arnau de Vilanova. Lleida. España.
Este artículo ha recibido
Información del artículo
Texto completo
Bibliografía
Descargar PDF
Estadísticas
Tablas (6)
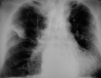
Fig. 1. Opacidad elíptica en el hemitórax derecho, que corresponde a una colección de líquido pleural en la cisura menor por insuficiencia cardíaca.
Tablas
Fig. 2. Derrame pleural subpulmonar que produce elevación del hemidiafragma izquierdo. Nótese la mayor distancia entre la burbuja de aire gástrico y la línea diafragmática.
Tablas
Fig. 3. Indicaciones de la toracocentesis. DP: derrame pleural; TC: tomografía computarizada. *En DP pequeños o loculados la toracocentesis se puede realizar guiada con ecografía.
Tablas
Fig. 4. Algoritmo diagnóstico del derrame pleural. ADA: adenosindesaminasa; LP: líquido pleural; TC: tomografía computarizada; TEP: tromboembolia pulmonar; TG: triglicéridos. *En la práctica clínica, se solicita un estudio bioquímico, citológico y eventualmente microbiológico en la toracocentesis inicial, antes de conocer si se trata de un trasudado o de un exudado. **Algunos autores utilizan la biopsia pleural a ciegas como procedimiento previo a la toracoscopia o cuando ésta no está disponible.
Tablas
Tablas
Tablas
Mostrar másMostrar menos

Artículo

Opciones para acceder a los textos completos de la publicación Medicina Clínica
Suscriptor
Suscriptor de la revista

Si ya tiene sus datos de acceso, clique aquí.

Si olvidó su clave de acceso puede recuperarla clicando aquí y seleccionando la opción "He olvidado mi contraseña".
Suscribirse
Suscribirse a:

Medicina Clínica

Comprar
Comprar acceso al artículo

Comprando el artículo el PDF del mismo podrá ser descargado

Comprar ahora
Contactar
Teléfono para suscripciones e incidencias
De lunes a viernes de 9h a 18h (GMT+1) excepto los meses de julio y agosto que será de 9 a 15h
Llamadas desde España
932 415 960
Llamadas desde fuera de España
+34 932 415 960
E-mail
Opciones de artículo
Herramientas