metricas
covid
Medicina Clínica Complicaciones cardiovasculares graves e inesperadas en los pacientes epiléptic...
Información de la revista
Vol. 122. Núm. 18.
Páginas 718-719 (Mayo 2004)
Compartir
Descargar PDF
Más opciones de artículo
Vol. 122. Núm. 18.
Páginas 718-719 (Mayo 2004)
Complicaciones cardiovasculares graves e inesperadas en los pacientes epilépticos
Severe and unexpected cardiovascular complications in patients with epilepsy
Visitas
2115
Alejandro Quíleza, Francisco Purroya, Jorge Hernándeza, Mercè Falipa
a Servicio de Neurología. Hospital Universitario Vall d'Hebron. Barcelona. España.
Este artículo ha recibido
Información del artículo
Texto completo
Bibliografía
Descargar PDF
Estadísticas
Tablas (1)
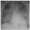
Fig. 1. Radiografía de tórax que muestra signos de edema pulmonar bilateral sin cardiomegalia.
Tablas

Artículo

Opciones para acceder a los textos completos de la publicación Medicina Clínica
Suscriptor
Suscriptor de la revista

Si ya tiene sus datos de acceso, clique aquí.

Si olvidó su clave de acceso puede recuperarla clicando aquí y seleccionando la opción "He olvidado mi contraseña".
Suscribirse
Suscribirse a:

Medicina Clínica

Comprar
Comprar acceso al artículo

Comprando el artículo el PDF del mismo podrá ser descargado

Comprar ahora
Contactar
Teléfono para suscripciones e incidencias
De lunes a viernes de 9h a 18h (GMT+1) excepto los meses de julio y agosto que será de 9 a 15h
Llamadas desde España
932 415 960
Llamadas desde fuera de España
+34 932 415 960
E-mail
Opciones de artículo
Herramientas