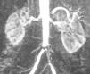
Los datos anamnésicos y exploratorios siguen siendo clave en el manejo del hipertenso. También, y en contra de la creciente parcelación del saber médico, es necesaria una visión global e integradora, lo que exige la búsqueda activa de la lesión del órgano diana. El índice tobillo/brazo (ITB) emerge como una herramienta sencilla que permite a través de la detección de estenosis arteriales proximales, corregir no solo limitaciones de la deambulación sino de manifestaciones relacionadas y a menudo olvidadas como la disfunción eréctil o la HTA vasculorrenal. No olvidemos que el mejor marcador de riesgo son los valores adecuadamente obtenidos de presión arterial y su correcta interpretación y que conviene evitar errores tan comunes como la toma tensional única, el fenómeno del redondeo o el de alarma. Alrededor de la mitad de pacientes con ITB patológico, están asintomáticos o presentan claudicación atípica, por lo que se hace aconsejable la realización extensiva del ITB en la población de riesgo cardiovascular significativo, independientemente de la presencia de síntomas.
Anamnesic and examination data are still the key for the management of the hypertensive subject. In addition, and against the growing division into parcels of medical knowledge, it is necessary to have a global and integrating view. This requires the active search for the target organ injury. To do so, the ankle/brachial index (ABI) is a simple test which, simultaneously, makes it possible to detect reversible arterial lesions and therefore treat the symptoms by intermittent claudication or manifestations that are also related and often overlooked, such as erectile dysfunction or renovascular hypertension. We must not forget that the best marker of risk is the correct levels of BP and their correct interpretation and that such common errors as using a single measurement of blood pressure, and the phenomenon of rounding up or down or of alarm should be avoided. Approximately half of patients with pathological ABI are asymptomatic or have atypical claudication. Thus, it is recommendation to made extensive use of the ABI in the significant cardiovascular risk population independently of the presence of symptoms.





