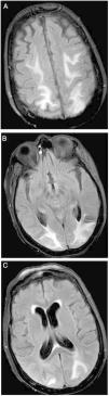
El síndrome de encefalopatía posterior reversible (PRES) constituye una entidad clínico-radiológica relacionada con múltiples etiologías con hallazgos similares en neuroimagen. Su incidencia es desconocida y su patogenia es multifactorial, englobando fenómenos de disfunción endotelial y autorregulación del flujo cerebral, entre otros. Existe una gran variedad de condiciones asociadas, siendo las más frecuentes la hipertensión, eclampsia y la terapia inmunosupresora, junto con otros fármacos, drogas, enfermedades autoinmunes e incluso la uremia.
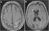
Presentamos el caso de un síndrome de encefalopatía posterior reversible secundario a afectación renal como forma de debut de una amiloidosis AL.
Posterior reversible encephalopathy syndrome (PRES) is a clinical and radiological entity linked to multiple aetiologies with similar neuroimaging findings. Its incidence is unknown, and its pathogenesis is multifactorial, encompassing phenomena of endothelial dysfunction and cerebral flow autoregulation, inter alia. There is a wide variety of associated conditions, the most frequent being hypertension, eclampsia, and immunosuppressive therapy, along with other drugs, autoimmune diseases, and even uraemia.
We present the case of a reversible posterior encephalopathy syndrome secondary to renal involvement as a debut form of AL amyloidosis.




