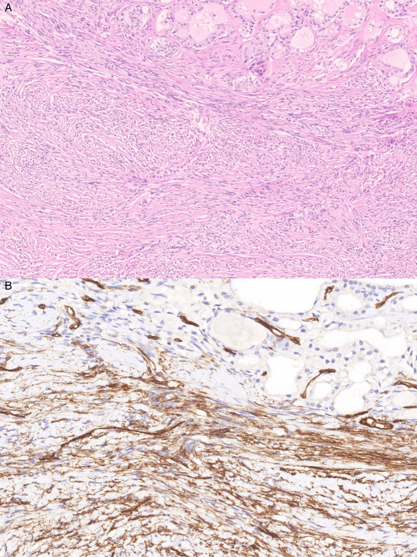
El tumor fibroso solitario (TFS) es un tipo de neoplasia fibroblástica con apariencia histológica característica que típicamente muestra expresión citoplasmática de CD34 y nuclear de STAT6, asociada a la fusión de los genes NAB2 y STAT6. La localización tiroidea es excepcional con solo 51 casos descritos en todo el mundo hasta la fecha. Su comportamiento en tiroides es generalmente benigno, aunque de rápido crecimiento, y su tratamiento es eminentemente quirúrgico. La fusión de los genes NAB2 y STAT6 detectada mediante inmunohistoquímica es patognomónica de TFS. Como se ejemplifica en el presente caso, la biopsia con aguja gruesa (BAG) es más probable que proporcione suficiente cantidad de material para el estudio microscópico, inmunohistoquímico y de otras técnicas que permitan el diagnóstico.
Solitary fibrous tumor (SFT) is a type of fibroblastic neoplasm with characteristic histological features, typically showing cytoplasmic expression of CD34 and nuclear expression of STAT6, associated with NAB2-STAT6 gene fusion. Thyroid localization is exceptionally rare, with only 51 cases reported worldwide to date. Its behavior in the thyroid is generally benign, although it may exhibit rapid growth, and its treatment is primarily surgical. The NAB2-STAT6 gene fusion, detected by immunohistochemistry, is pathognomonic for SFT. As exemplified in the present case, core needle biopsy (CNB) is more likely to provide sufficient material for microscopic, immunohistochemical, and other diagnostic techniques.

