El embarazo cervical supone un 1% de los embarazos ectópicos. En el pasado se asociaba a una alta incidencia de hemorragias intensas e histerectomías. En la actualidad el diagnóstico precoz ecográfico y el tratamiento con metotrexate posibilita la preservación de la fertilidad.
Cervical pregnancy represents less than 1% of all ectopic pregnancies. In the past, this event was associated with a high incidence of hysterectomies due to intense hemorrhage. Currently, due to early ultrasonographic diagnosis and medical treatment with metotrexate, future fertility can usually be preserved.
La implantación de la gestación a nivel cervical-uterino es rara, con una incidencia de entre 1/1.000–95.000 embarazos, y supone menos del 1% de los embarazos ectópicos1–3. Esta entidad se ha asociado a una alta incidencia de hemorragias intensas e histerectomías4. Actualmente el diagnóstico ecográfico precoz y el tratamiento conservador consiguen preservar la fertilidad.
Realizamos la descripción de dos casos clínicos de embarazo cervical con diagnóstico temprano e instauración de tratamiento conservador eficaz y preservación de la fertilidad. Igualmente realizamos una revisión de la bibliografía.
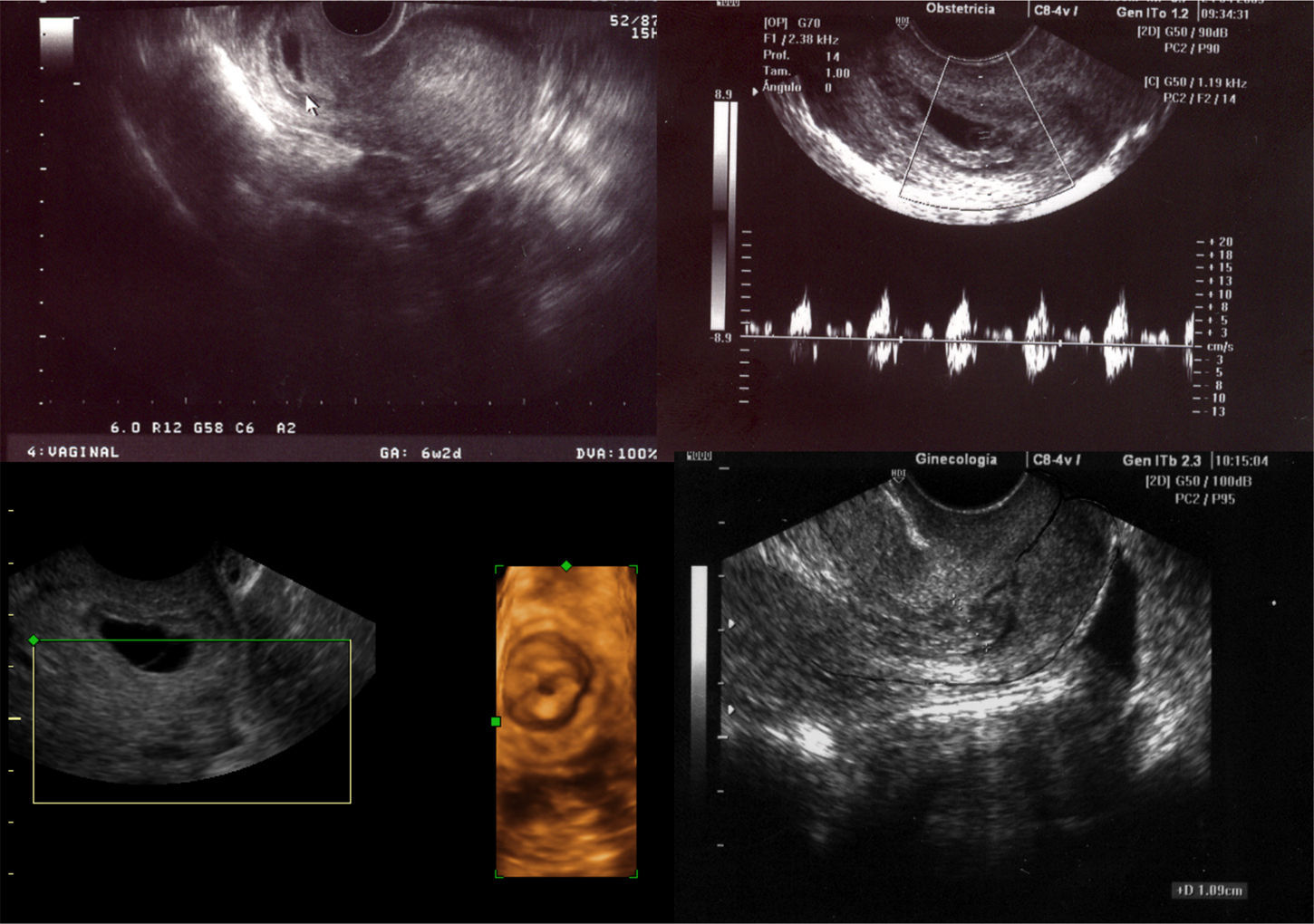
CasosCaso I: Primigesta de 29 años (gestación espontánea) sin antecedentes de interés que consulta a las 6+4 semanas de gestación por metrorragia de 3 días de evolución. En la exploración ginecológica destaca una movilización cervical dolorosa. En la ecografía vaginal se observa una cavidad uterina vacía, anejos normales y a nivel del cérvix posterior un saco gestacional de 52×25mm con un embrión en su interior de 32mm con actividad cardiaca (CA) positiva y una intensa vascularización peritrofoblástica en la valoración Doppler. (fig. 1). Presenta una beta gonadotrofina coriónica humana (B-hGC) de 9.202mU/ml. Se llega al diagnóstico de una gestación extrauterina cervical y se trata con una dosis intramuscular (IM) de 75mg de metotrexate. Al segundo día postratamiento se observa la expulsión del saco gestacional y a los 4 días posmetotrexate el nivel de B-hCG es de 1.636mU/ml. Se observa una evolución favorable con nivel negativo B-hCG (4,5mU/ml) a los 20 días postratamiento (fig. 2).
Caso II: Primigesta de 40 años de edad, con esterilidad primaria de 6 años de evolución y gestación obtenida por técnica de reproducción asistida (FIV-ICSI). A las 7 semanas de gestación en el control gestacional y encontrándose asintomática se observa un nivel de B-hCG de 15.339mU/ml. En la ecografía vaginal se observa a nivel cervical un saco gestacional de 20×13mm con una vesícula vitelina en su interior; se observa la cavidad uterina vacía y los anejos normales. Se llega al diagnóstico de un embarazo cerivcal y se trata con metotrexate a dosis de 1mg/kg de peso (75mg). En la monitorización de B-hCG se requirieron 3 dosis de metotrexate (13.200mU/ml al 5.° día, 6.542mU/ml al 10.° día y 4.210 en el día 20) (fig. 3). Al final se observó una buena evolución encontrándose asintomática la paciente y con B-hCG negativas a los 55 días del tratamiento.
DiscusiónSchneider en 19465 realiza la primera descripción clínica y patológica de un embarazo cervical y Raskin en 1978 realiza el primer diagnóstico ecográfico6. En el pasado esta entidad producía cuadros de hemorragias importantes, que como único tratamiento posible era la histerectomía, que aún así presentaba una mortalidad del 50%4,7.
La etiología del embarazo cervical es desconocida y se asocian varios factores etiológicos a este tipo de gestación: edad avanzada, multiparidad, dilatación cervical y legrados previos, síndrome de Asherman, cesáreas previas, antecedentes de cirugía uterina o cervical, fertilización in-vitro, número incrementado de embriones transferidos, terapia hormonal, endometrio inmaduro para la implantación, estenosis cervical, enfermedad tubárica, anomalías cromosómicas embrionarias, quimioterapia (Herceptin), exposición a dietilbestrol (DES) y endometrisis crónica1–3,7.
En 1911 Rubin8 describe los criterios anatomopatológicos del embarazo cervical, pero estos han perdido relevancia ya que el diagnóstico en la actualidad es ecográfico. Hofmann sugiere como criterios diagnósticos ecográficos del embarazo cervical9: la no evidencia de gestación intrauterina y la presencia de un saco gestacional con material trofoblástico a nivel cervical, dando una forma más esférica al cérvix con la presencia de un orificio cervical interior cerrado; describiendo una figura del reloj de arena entre un útero vacío un orificio cervical interior cerrado con un cérvix ocupado.
Jurkovic10, con ecografía en modo-B y Doppler color, propone como criterios diagnósticos: una cavidad uterina vacía con un endometrio engrosado, una dilatación y/o alargamiento del cérvix con una bolsa gestational o material trofoblástico debajo del nivel inferior del orificio cervical interno con ausencia del «Sliding sign» y una identificación de vascularización peritrofoblástica en el examen Doppler.
El diagnóstico diferencial del sangrado vaginal sin dolor, forma de presentación clínica del embarazo cervical, incluye la fase cervical de un aborto espontáneo, cuadro varicoso cervical, placenta previa, cáncer cervical, embarazo ectópico roto, aborto provocado o coriocarcinoma7,9–11.
En rara ocasión la gestación implantada a nivel cervical sobrepasa las 20 semanas de gestación debido al importante sangrado que se produce a este nivel ya que en el cérvix no existe decidua basal protectora y la invasión trofoblástica se realiza rápidamente7; por ello en el pasado el tratamiento del embarazo cervical fue la histerectomía urgente para cohibir el importante sangrado que se produce7. En 1962 Sheldon12 informó 2 casos de embarazo cervical manejados de forma conservadora y con preservación de la función reproductora. Aunque existen múltiples técnicas quirúrgicas utilizadas para eliminar este tipo de embarazo (histerectomía total o supracervical, resección segmentaria uterina y placentaria, cervicotomía, amputación cervical, biopsia cervical, resección histeroscópica) actualmente el tratamiento de elección es el conservador con preservación de la fertilidad7,10:
Tratamiento conservador se puede realizar con: técnicas quirúrgicas (evacuación digital, dilatación cervical y curetaje/extracción, extracción con fórceps, excisión local), con administración de quimioterapia sistémico (metotrexate, actinomicina, etopósido), con administración intracervical (metotrexate, prostaglandina F2 alpha) o intraamniótica del tratamiento (metotrexate, cloruro potásico).
Además es frecuente tener que realizar un control de la hemostasia generalmente por vía vaginal (taponamiento vaginal, balón de Foley, tubo de blakemore, suturas hemostáticas, cerclaje, ligadura de transvaginal de vasos cervicales o uterinos, etc.) y ocasionalmente por vía abdominal (ligadura o embolización de las arterias hipogástricas o uterinas, inyección de vasopresina en las arterias hipogástricas)7.
Actualmente el tratamiento de elección es el médico con administración sistémica de metotrexate consiguiendo desde el año 2000 una tasa de éxitos del 95,6% con una necesidad de medidas adicionales para el control de la hemostasia del 21% y tan solo un 4,4% de los casos han requerido de la realización de histerectomía13. La efectividad de una sola dosis de metotrexate varía entre un 62–83% y entre un 40% con la presencia de actividad cardiaca fetal a un 91% con ausencia de esta7,13. La efectividad de este tratamiento médico conservador depende principalmente de la precocidad de la instauración de este y por ello del diagnóstico precoz. Se consideran factores pronósticos de peor efectividad del embarazo cervical con metotrexate: edad gestacional >9 semanas, B-hCG >10.000mIU/ml, longitud craneocaudal fetal >10mm y la presencia de actividad cardiaca fetal14.
En general a partir de las 15 semanas de gestación el tratamiento médico sistémico con metotrexate no suele ser suficiente7,13. La pauta habitual de metotrexate no suele diferir de la utilizada para los embarazos ectópicos en otras localizaciones (50mg/m2 o 1mg/kg los días 1,3,5 asociado a ácido folínico)7,10,13.
No existen evidencia que haga pensar que tras el tratamiento conservador (médico o quirúrgico) del embarazo cervical se disminuya la capacidad reproductiva de la gestante15–18 y actualmente no se recomienda gestación hasta 6–12 meses del tratamiento con metotrexate; aunque no se han encontrado ningún efecto teratogénico en mujeres tratadas con este fármaco7,17.
ConclusiónEl embarazo cervical es un problema raro que puede producir una alta morbilidad maternal. El diagnóstico precoz y el tratamiento conservador ofrecen buenos resultados evitando la histerectomía y conservando la fertilidad futura.






