P-002 - LECCIONES APRENDIDAS EN EL USO DEL MEGASTENT COMO MANEJO DE LA FÍSTULA TRAS GASTRECTOMÍA VERTICAL. A PROPÓSITO DE UN CASO CLÍNICO
Hospital Regional Universitario Carlos Haya, Málaga.
Introducción: El objetivo de este trabajo es presentar un caso clínico de resolución de la fístula tras gastrectomía vertical (GV) mediante colocación endoscópica de megastent. La colocación de megastent en el posoperatorio de fístulas tras GV ha demostrado una tasa de éxito cercana al 87% en la bibliografía. Es un procedimiento mínimamente invasivo que puede realizarse sin necesidad de anestesia general. El diseño del stent minimiza los riesgos de migración y facilita su extracción, aunque en algunas ocasiones puede requerir recolocación de la prótesis en caso de migración de la misma o mal funcionamiento. Es importante la realización de una Radiografía simple a las 24h tras su colocación para comprobar correcto posicionamiento.
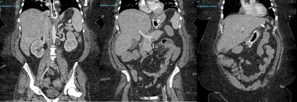
Caso clínico: Mujer de 53 años con antecedentes de sleeve gástrico en 2013, intervenida de re-sleeve gástrico en centro privado hace dos meses. Consulta por epigastralgia, vómitos y oliguria. Se realiza TAC (tomografía axilal computarizada) de abdomen que evidencia fuga de contraste cercana a cadeneta quirúrgica sugestiva de dehiscencia de sutura. Ingresa para endoscopia digestiva alta, identificando dos soluciones de continuidad de unos 4 mm, colocando prótesis totalmente recubierta de 14 cm ante la no disponibilidad de megastent. La paciente presenta mala tolerancia a la prótesis, junto con persistencia de vómitos y epigastralgia, se repite TAC evidenciando migración proximal de la prótesis. Se plantea retirada de la prótesis al 7.º día tras su colocación y posicionamiento de SNG de alimentación hasta disponibilidad de megastent dos semanas después. Se comprueba buen paso a través de la misma mediante tránsito contrastado con Gastrografín. Se procede al alta hospitalaria con buena tolerancia oral al 5.º día tras colocación de la prótesis.

Discusión: El megastent es una alternativa segura y con eficacia cercana al 90% en la bibliografía para el manejo de fugas tras GV frente a tasas de éxito del 50% con stent estándar. La falta de disponibilidad inmediata y su alto coste, así como la necesidad de personal altamente cualificado para su colocación pueden limitar su uso en nuestro medio. El diagnóstico precoz de la fístula y su uso en etapas tempranas y con una duración adecuada de colocación (4-6 semanas) son claves en las altas tasas de éxito asociadas a la técnica. Debe considerarse un stock limitado de megastent en centros de alto volumen, ya que en ocasiones, la falta de estocaje hace necesaria una terapia puente con stent tradicional que aumenta el coste del procedimiento y la estancia hospitalaria. Como complicaciones asociadas al uso del stent, en nuestro centro hemos advertido la migración de la misma, por lo que recomendamos la estandarización de la realización de Rx de tórax a las 24 h tras su colocación. Aunque menos frecuentes que con otros stents, las complicaciones como estenosis esofágica pueden ocurrir, especialmente con tiempos prolongados de colocación (> 8 semanas).





