Los tumores del espacio retrorrectal son el conjunto de tumoraciones quísticas y/o sólidas que se localizan en la región presacra1. Presentan una incidencia de 1/40.000 ingresos2. Se clasifican en: inflamatorios, quistes de desarrollo y congénitos, neurogénicos, óseos y miscelánea2. Son más frecuentes en mujeres de entre 40 y 60 años. Pueden ser quísticos o sólidos. Los más frecuentes son los benignos (2/3 del total), sobre todo los inflamatorios, los malignos son más frecuentes en varones2. El quiste hidatídico está producido por larvas enquistadas de Echinococcus granulosus, que habita en el intestino delgado del perro y otros cánidos salvajes3. De los quistes formados, el 75% se localiza en el hígado, el 30% en el pulmón y alrededor del 20% en otras zonas4.
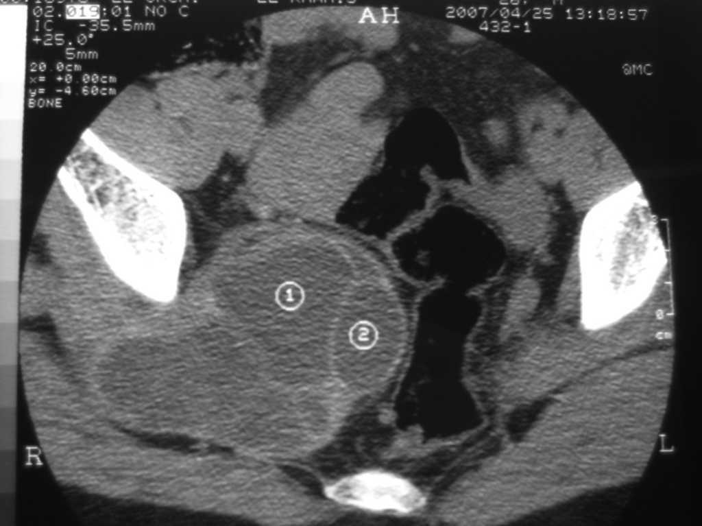
Presentamos el caso de un paciente de 26 años de origen marroquí, que acude a urgencias por cuadro de dificultad para la marcha, dolor lumbar irradiado a la pierna derecha con pérdida de fuerza y atrofia muscular, de 6 meses de evolución. A la exploración presenta marcha en estepaje, pie varo, importante atrofia muscular en la región gemelar y peronea derecha, parálisis de la flexión dorsal e hipoalgesia del cuarto y el quinto dedo del pie derecho. El abdomen es blando y depresible, sin masas ni megalias. Al tacto rectal se palpa tumoración en la cara lateral derecha del recto que respeta la mucosa. Se realiza examen neurofisiológico que indica el origen proximal alto intrapelviano del cuadro de axonotmesis ciática que presenta el paciente. En la resonancia magnética (RM) de la columna lumbar se identifica una lesión quística compleja intramuscular (piriforme derecho) de 11 ×6 cm de diámetro, con compresión extrínseca del plexo sacro derecho (fig. 1). Se realiza tomografía computarizada (TC) abdominopelviana que informa de masa quística bilobulada, multiseptada bien diferenciada a nivel del presacro derecho, que se extiende por escotadura ciática hasta la región glútea (fig. 2). Se consideran entre los diagnósticos diferenciales el origen infeccioso de la lesión (hidatidosis, cisticercosis) o tumoral (mixoma intramuscular, schwannoma). La serología para hidatidosis resulta positiva (1/320), por lo que se inicia tratamiento preoperatorio con albendazol. Se interviene al paciente mediante abordaje anterior, y se aprecia una tumoración quística posterior al plexo sacro, que comprime y desplaza anteriormente el nervio ciático. Se realiza exéresis completa del quiste hidatídico, previa protección del campo quirúrgico con suero salino hipertónico al 20%. No se identifican quistes en otras localizaciones. Durante el postoperatorio el paciente evoluciona favorablemente, y recibe el alta hospitalaria el 16.° día postoperatorio. En la revisión a los 6 meses el paciente se encuentra sin dolor, y va recuperando masa muscular y funcionalidad de la pierna derecha.
Fig. 1 – Lesión quística compleja intramuscular en imagen de resonancia magnética.
La poca frecuencia de la localización extrahepática y extrapulmonar de la hidatidosis se debe a que hígado y pulmones actúan como filtros biológicos que atrapan la mayoría de los embriones hexacantos que originan los quistes hidatídicos5. De las localizaciones poco frecuentes del quiste hidatídico, la más común es la peritoneal (2-25% de los casos), la mayoría, secundaria a quistes hepáticos que se rompen hacia la cavidad peritoneal5,6. En el 2,5-5% tienen ubicaciones más raras, como bazo, riñón, músculo, mama, hueso, cerebro y otros órganos5-7.
El recto y su meso forman una unidad linfovascular de origen embriológico distinto de las estructuras somáticas que lo rodean, y hay un espacio que lo separa del sacro, el espacio retrorrectal, que contiene tejido conjuntivo laxo6. Los tumores que ocupan este espacio son frecuentemente asintomáticos1. Cuando aparecen síntomas se relacionan con la localización y el tamaño y, en el caso de los quistes, con la presencia o la ausencia de infección (el 30% de los casos8). Las manifestaciones clínicas suelen ser inespecíficas: dolor abdominal (el síntoma más común1 y que suele implicar malignidad2), distensión abdominal, masa palpable o síntomas secundarios a la compresión de estructuras vecinas: estreñimiento, incontinencia o compresión nerviosa, como en nuestro caso. El tacto rectal es muy importante4. Es necesario realizar una endoscopia por la alta incidencia en el diagnóstico de acenocarcinoma colorrectal2, aunque la sensibilidad de esta prueba para diagnosticar tumores retrorrectales es baja. La ecografía transrectal ha demostrado presentar alta sensibilidad, además aporta información sobre el tamaño y consistencia de la masa, invasión local a estructuras vecinas y posible infiltración linfática; sin embargo, a pesar de esta evidencia, en nuestro caso no fue realizada esta prueba. La TC y la RM son también pruebas de imagen imprescindibles. La biopsia se realiza sólo en lesiones aparentemente irresecables, por el riesgo potencial de implante y recurrencia en las que no se extirpan completamente. El tratamiento es quirúrgico, aunque sean benignas y asintomáticas4, pues permite establecer un diagnóstico definitivo, previene degeneración maligna e impide posible sobreinfección2. Hay numerosas técnicas de abordaje quirúrgico para resecar estos tumores, así aquellos de pequeño tamaño que no aparentan malignidad pueden extirparse por vía posterior transcoxígea, así disminuyen el riesgo de sangrado, la necesidad de transfusión y, por tanto, la morbilidad2. Otras vías a tener en cuenta son: transanal, transacra, abdominal o combinada1.Para abordar el espacio retrorrectal es fundamental conocer la anatomía de esta región, y en especial la forma de evitar las lesiones de elementos como las venas presacras, que sangran profusamente, y el nervio presacro9. Para disminuir el riesgo de siembra peritoneal, en caso de rotura accidental del quiste durante la intervención quirúrgica, se aconseja el empleo de albendazol antes de la cirugía durante 4 días10,y entre 1 y 3 meses en el postoperatorio, en especial cuando se ha derramado líquido hidatídico durante el acto quirúrgico.
Fig. 2 – Masa bilobulada, multiseptada a nivel del presacro derecho en la tomografía computarizada abdominopelviana.
*Autor para correspondencia. Correo electrónico: vanematu69@hotmail.com (V. Maturana Ibáñez).
Recibido el 19 de febrero de 2008 y aceptado el 1 de julio de 2008.






