El divertículo de Meckel es la anomalía congénita más frecuente del tubo digestivo y afecta alrededor del 2% de la población general, con frecuencia similar entre varones y mujeres. Éste se origina por una obliteración incompleta del conducto onfalomesentérico, y aparece en el borde antimesentérico del íleon, en los últimos 100 cm de la válvula ileocecal1. Se trata de un divertículo verdadero porque contiene todas las capas que se encuentran en el intestino delgado normal2,3.
En el 60% de los divertículos de Meckel aparece mucosa heterotópica que, con mayor frecuencia, se corresponde con mucosa gástrica, es menos habitual la acinar pancreática, la mucosa colónica y excepcional la duodenal3.
La mayor parte de los divertículos de Meckel son asintomáticos, y se llega al diagnóstico de forma casual. Las manifestaciones clínicas son derivadas de las complicaciones y sólo aparecen en un 4% de los casos, que se pueden manifestar como obstrucción de intestino delgado (31%), hemorragia (23%), diverticulitis (14%)4, y con muy poca frecuencia como isquemia intestinal secundaria a torsión del divertículo5,6.
El diagnóstico del divertículo de Meckel se realiza de forma accidental en la mayor parte de los casos, y en ocasiones se pueden evidenciar mediante pruebas de imagen o incluso durante intervenciones quirúrgicas por otro motivo.
Presentamos el caso de un varón de 30 años de edad que acude al servicio de urgencias por presentar un cuadro de dolor abdominal de 12 h de evolución, localizado en el epigastrio e irradiado a la fosa ilíaca derecha y el hipogastrio, acompañado de importante cuadro vegetativo y sin alteración del ritmo intestinal.
A la exploración presenta abdomen blando, depresible, molestias difusas a la palpación profunda, sobre todo en hipogastrio y fosa ilíaca derecha, con defensa, Blumberg positivo y Valsalva negativo.
Los datos de laboratorio fueron: LDH, 153 U/l; amilasa, 132 U/l; leucocitos, 16.889/µl, y neutrófilos del 82,9%. Los demás parámetros estaban dentro de la normalidad. En la radiografía simple de abdomen no se evidenciaron signos patológicos.
Con la sospecha clínica de apendicitis aguda se decide realizar intervención quirúrgica urgente con incisión transversa en la fosa ilíaca derecha. En la intervención se objetivó abundante líquido libre, torsión e isquemia de divertículo de Meckel a 80 cm de la válvula ileocecal con bridas que causan obstrucción intestinal en el intestino delgado (fig. 1). El apéndice tiene un aspecto macroscópico normal. Se realiza resección segmentaria de íleon, anastomosis laterolateral manual y apendicectomía. La evolución en el postoperatorio inmediato es favorable y se le da de alta al quinto día del ingreso.
Fig. 1 – Divertículo de Meckel torsionado. Isquemia de asa intestinal.
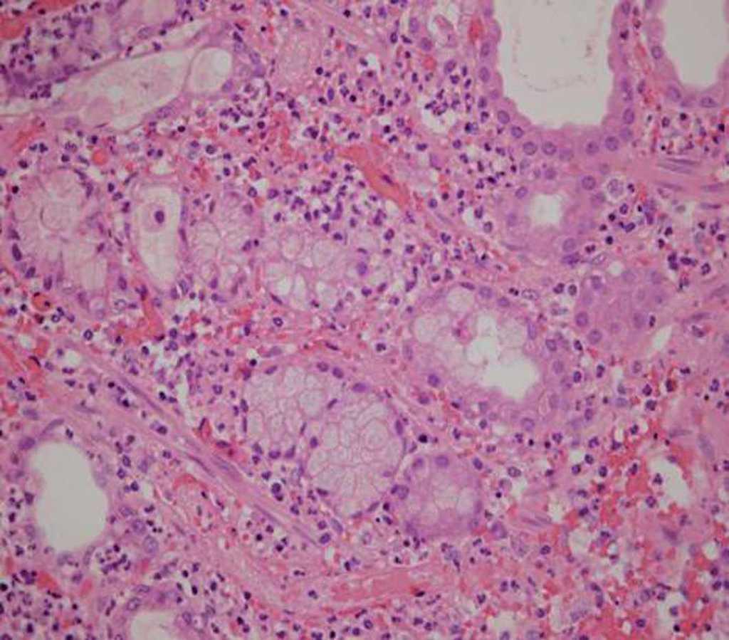
La anatomía patológica constató divertículo de Meckel con metaplasia de mucosa duodenal en la pared de éste; se observaron escasas glándulas de Brunner y algunas células de Paneth (fig. 2). En la formación diverticular se evidenciaron signos de necrosis isquémica que afectaban a mucosa y sub-mucosa, junto con pared hemorrágica y denudación de todo el epitelio. Se objetivó obliteración fibroadiposa de la luz en la punta apendicular.
Fig. 2 – Imagen microscópica de la mucosa duodenal.
En los casos en que el divertículo de Meckel es sintomático, la clínica es superponible a la de una apendicitis aguda, como en nuestro caso, que además presentó un intenso cortejo vegetativo.
La torsión del divertículo de Meckel es una complicación poco frecuente, que, en nuestro caso, además se acompañó de isquemia del asa intestinal torsionada; ésta es una forma de presentación clínica aún más infrecuente. Estos hallazgos sólo han sido publicados en otros 5 pacientes adultos5-9 y 2 niños10. Las variaciones anatómicas que más favorecen la torsión de un divertículo de Meckel son una base estrecha y una importante longitud; ambas características estaban presentes en nuestro caso clínico.
Entre los hallazgos anatomopatológicos, destacamos la metaplasia de la mucosa duodenal en el divertículo de Meckel, dato no evidenciado en la revisión realizada de los casos publicados.
*Autor para correspondencia. Correo electrónico: mantm29@yahoo.es (M.A. Montenegro).
Recibido el 14 de febrero de 2008 y aceptado el 14 de abril de 2008.






