La resección hepática en 2 tiempos con ligadura o embolización portal permite la resección R0 en pacientes con metástasis hepáticas de cáncer colorrectal con volumen hepático residual (VHR) insuficiente1. En los últimos años, la técnica ALPPS y sus variantes, se han desarrollado para lograr una hipertrofia mayor y más rápida del hígado remanente, que permite llevar a cabo el segundo tiempo quirúrgico muy precozmente, evitando la progresión de la enfermedad durante el intervalo2–5. Sin embargo, esta técnica presenta una morbimortalidad superior a la cirugía en 2 tiempos1,6,7. Presentamos otra alternativa para la resección R0 en pacientes con enfermedad hepática avanzada, con elevada carga tumoral en segmento IV y con VHR muy bajo. Se trata de realizar una triseccionectomía hepática derecha en 2 tiempos con embolización portal en el intervalo.
Varón de 68 años con adenocarcinoma en ángulo esplénico de colon no estenosante y sin signos de sangrado. Metástasis hepáticas múltiples bilobares potencialmente resecables. CEA inicial: 344, K-ras mutado. La figura 1A muestra las imágenes del TAC inicial. Tras 10 ciclos de FOLFOX/bevacizumab, sin respuesta RECIST, apreciamos que existía respuesta morfológica, y consideramos la posibilidad de resección quirúrgica. El VHR para una resección R0 era de 18% (240cc, peso 80kg). La embolización portal del segmento IV no era posible por la gran metástasis presente en el mismo, que amputaba las ramas portales de dicho segmento impidiendo la colocación de coils. Consideramos la técnica ALPPS, pero pensamos que el riesgo de complicaciones a nivel del segmento IV, debido a la elevada carga tumoral, y el riesgo de insuficiencia hepática por el bajo volumen residual, eran altos, y nos decidimos por realizar la técnica que describimos a continuación:
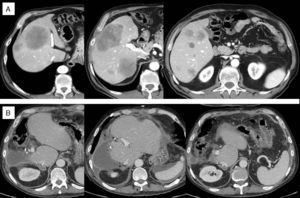
A) TAC inicial: múltiples metástasis de 1 a 10cm en segmentos derechos y segmento IV, una metástasis en segmento II y 2 en segmento III, superficiales de 0,5-1cm y segmento I libre de enfermedad. Nódulo pulmonar inespecífico de 0,5cm. B) TAC postoperatorio: ausencia de enfermedad hepática.
Procedimos en primer lugar a la resección no anatómica de las 3 metástasis descritas en los segmentos II y III. A continuación realizamos una mesohepatectomía reglada (segmentos IVa+b, V y VIII): ligadura intraglissoniana de ramas portabiliares del segmento IV. Sección de parénquima hepático en plano sagital entre los segmentos medial y lateral izquierdos hasta plano precava. Disección y ligadura intraparenquimatosa de ramas portabiliares y arteria de los segmentos anteriores derechos. Aislamiento extraglissoniano de pedículo posterior derecho que se deja marcado con lazo vascular para la segunda intervención. Sección de parénquima en plano sagital entre los segmentos anteriores y posteriores derechos hasta plano precava. Ligadura y sección de vena suprahepática (VSH) media. Disección de VSH derecha dejándola marcada con lazo vascular. El postoperatorio cursó sin incidencias y sin datos de insuficiencia hepática (bilirrubina [mg/dl] y actividad de protrombina [%] en 1.°, 3.°, 5.° y 7.° día postoperatorio: 1/72, 1/79, 0,7/88 y 0,7/86, respectivamente). Fue dado de alta asintomático en el 7.° día postoperatorio.
A las 3 semanas el VHR (segmentos I-II-III) era del 26% (382cc). La TAC mostraba crecimiento de las metástasis residuales derechas y leve crecimiento del nódulo pulmonar, con ausencia de enfermedad en otras localizaciones. Se realizó una embolización portal derecha (segmentos posteriores) alcanzando un VHR del 33% (504cc) a las 4 semanas de la embolización (hipertrofia del 110% respecto al volumen inicial). Se planificaron 3 ciclos de quimioterapia sistémica (5-FU y levamisol) durante el intervalo, presentando en el segundo neutropenia febril, por lo que no se administró el tercero y obligó a retrasar el segundo tiempo quirúrgico.
Segundo tiempo quirúrgico (9 semanas después del primero)Tumor primario en ángulo esplénico. Ausencia de metástasis en segmentos I-II-III. Realizamos una hemicolectomía izquierda oncológica y a continuación la resección del lóbulo hepático derecho remanente (segmentos posteriores). Para ello se identificaron con facilidad los lazos vasculares en VSH derecha y pedículo derecho. Oclusión de pedículo derecho en bloque con grapadora lineal y posterior sección con endograpadora/cortadora lineal. Sección de VSH derecha con endograpadora/cortadora lineal. En el postoperatorio presentó disfunción hepática leve: bilirrubina (mg/dl) y actividad de protrombina (%) en 1.°, 3.°, 5.° y 7.° día postoperatorios: 1,7/47, 1,3/55, 1,5/62 y 1,3/64, respectivamente; y ascitis que respondió al tratamiento diurético. Fue dado de alta en el 9.° día postoperatorio.
La TAC de reevaluación poscirugía, mostraba ausencia de metástasis hepáticas (fig. 1B), un nódulo pulmonar de 1cm y otros 2 nódulos subpleurales subcentimétricos de nueva aparición. Se reinició tratamiento con quimioterapia sistémica con progresión de la enfermedad pese a las diferentes líneas de tratamiento administradas.
Las 2 técnicas de las que disponemos actualmente para la resección R0 en un caso como el que presentamos son la hepatectomía en 2 tiempos con embolización portal derecha y del segmento IV (con o sin quimioterapia en intervalo) o la ALPPS1. En casos con volumen tumoral grande en el segmento IV, la embolización percutánea puede ser imposible o con mucho riesgo de embolizar accidentalmente las ramas de los segmentos II y III. La embolización aislada de la porta derecha no es una opción válida, ya que daría lugar al crecimiento de las metástasis del segmento IV durante el intervalo. La ALLPS es una alternativa en estos casos, y ha demostrado que puede lograr importantes y rápidos incrementos del VHR y, por tanto, la resección R0 en un periodo de tiempo muy corto evitando la progresión. Sin embargo, hasta la fecha, la morbimortalidad de esta técnica es superior, sobre todo a expensas de complicaciones biliares, sépticas y de insuficiencia hepática6–8. Pensamos que con la técnica que describimos, al resecar el segmento IV, evitamos las complicaciones relacionadas con colangitis, necrosis o sepsis de este segmento descritas con la técnica ALPPS2,5,6,8. Por otro lado, este abordaje supone una forma de «acondicionamiento» del hígado remanente. La mesohepatectomía da lugar a un aumento del flujo portal a los segmentos I-II y III, y del flujo por VSH izquierda. La ligadura portal derecha podría desencadenar insuficiencia hepática, por lo que se retrasa a un momento posterior. La mesohepatectomía realizada como describimos supone una partición in situ que desconecta el hígado derecho del izquierdo, por lo que la embolización portal derecha da lugar a una hipertrofia del hígado remanente mayor y más rápida que con la embolización preoperatoria, como sucede en la técnica ALPPS. Pero a diferencia de esta, el aumento del flujo portal no es tan brusco, porque ya aumentó previamente tras la mesohepatectomía, y el drenaje por VSH izquierda debería ser mejor. Todo ello condiciona que el riesgo de insuficiencia hepática sea menor. Desconocemos que tiempo se necesita para lograr el «acondicionamiento» y esperamos 21 días para la embolización, pero es probable que en futuros estudios experimentales nos aporten algún dato que permita acortarlo9.
Consideramos que esta técnica puede permitir la resección R0 en casos como el descrito con un riesgo de insuficiencia hepática muy bajo, aunque con un riesgo de progresión mayor que con la ALLPS. Será necesaria su aplicación en más casos para poder conocer su verdadera utilidad.






