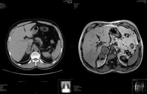
Varón de 48 años en el que, en TAC torácica realizada para estudio de enfisema pulmonar, se observa lesión nodular, inespecífica, en la glándula adrenal derecha, de 4×2,5×2cm. Para completar estudio de masa adrenal incidental, se realiza RM, en donde se evidencia masa adrenal derecha, heterogénea, de 6,8×4,4×3,9cm, en íntimo contacto con el pilar del diafragma y la vena cava inferior, a la cual comprime, compatible con carcinoma o lesión metastásica (fig. 1). En el momento de la realización de la resonancia el paciente denota la aparición de un dolor constante de intensidad leve en hipocondrio derecho.
La exploración general revelaba un paciente con un hábito normal, normotenso y la exploración física por aparatos no destacó ninguna alteración.
En las pruebas complementarias iniciales, los resultados del hemograma, VSG, bioquímica general incluyendo transaminasas e iones, fueron normales. Los marcadores tumorales: alfafetoproteína, CEA, CA 19.9, CA 125, CA 15.3 y PSA fueron negativos. Los estudios de metanefrinas en orina de 24 h, catecolaminas fraccionadas plasmáticas y cortisol plasmático fueron normales. La ACTH no estaba suprimida y el cociente aldosterona/actividad de renina plasmática era normal. El estudio hormonal consistente en cortisol libre urinario, dopamina, adrenalina y noradrenalina en orina de 24 h, estradiol, progesterona, 17-OH-progesterona, testosterona, androstendiona y dehidroepiandrostendiona sulfato estaban dentro de parámetros normales.
Ante el diagnóstico de una masa adrenal no funcionante de rápido crecimiento, se decide intervención quirúrgica, realizándose suprarrenalectomía derecha laparoscópica con abordaje anterior subcostal transperitoneal.
La cirugía fue dificultosa por la localización retrocava de la glándula, objetivándose infiltración macroscópica de la cápsula hepática. Se realiza resección completa de la glándula, incluyendo el área de infiltración macroscópica de la cápsula hepática.
El postoperatorio cursó sin incidencias, siendo alta a los 6 días de la intervención.
El estudio anatomopatológico de la pieza resecada informa de una glándula adrenal de 47 g, que contiene una tumoración no encapsulada de 7×4,5×4,2cm con una superficie de corte de aspecto carnoso y pequeñas áreas hemorrágicas. Microscópicamente la glándula adrenal se halla borrada por la existencia de una extensa tumoración con patrón sólido con áreas de necrosis. En algunas zonas muestra un patrón fasciculado con células fusocelulares, si bien la mayor parte presenta un aspecto citológico marcadamente atípico, altamente pleomórfico, con células de tamaño grande y marcadas irregularidades en tamaño nuclear con núcleos lobulados y nucléolos prominentes, con un índice mitótico de 10 mitosis por campo de gran aumento. Inmunohistoquímicamente muestra positividad intensa para Ki-67 (> 75%) y negatividad para queratina 8/18, queratinas AE1-AE3, proteína S 100, HMB45, melan A, cromogranina y sinaptofisina, presentando tinción intensa para vimentina, actina y desmina (fig. 2).
Mediante inmunohistoquímica, se mostró intensa positividad para Ki-67 (> 75%) y negatividad para queratina 8/18, queratinas AE1-AE3, la proteína S 100, HMB45, melan A, cromogranina y sinaptofisina, mostrando tinción intensa para vimentina, actina y desmina. Se muestra estudio anatomopatológico con aspecto citológico marcadamente atípico, altamente pleomórfico, con células de tamaño grande y marcadas irregularidades en tamaño nuclear con núcleos lobulados y nucléolos prominentes, con un índice mitótico de 10 mitosis por campo de gran aumento (H-E 200X).
Los controles posteriores se realizan cada 3 meses, el inicial mediante RMN centrada en el lecho quirúrgico de la adrenalectomía derecha, con objeto de estudiar los cambios posquirúrgicos vs. persistencia de enfermedad local, TAC toracoabdominal y analítica general. Los siguientes, mediante TAC toracoabdominal y analítica general, llevando actualmente un seguimiento de 17 meses, con el paciente libre de recidivas, tanto a nivel del lecho quirúrgico como de metástasis a distancia.
Debido a la ausencia de evidencia científica y de enfermedad residual tanto local como a distancia en las pruebas radiológicas efectuadas, y a la presencia de márgenes libres en el estudio anatomopatológico de la pieza de adrenalectomía, el servicio de Oncología de nuestro hospital, apoyándose en el Servicio de Oncología y de Anatomía Patológica del Complejo Hospitalario Universitario de Santiago de Compostela, decidió no pautar tratamiento quimioterápico adyuvante.
El leiomiosarcoma (LMS) es un tumor mesenquimal derivado del músculo liso cuya ubicación más frecuente es el miometrio, el retroperitoneo y el tracto respiratorio1,3. El LMS primario de la glándula adrenal se desarrolla a partir de estructuras que contienen músculo liso, como la vena principal adrenal y sus ramas tributarias. Su variante primaria es rara, siendo más frecuente el LMS adrenal metastásico o su extensión desde el retroperitoneo1–9. El primer caso comunicado en la literatura mundial fue en 1981, por Choi y Liu2, siendo publicados desde entonces poco más de una veintena de casos. Una variante extremadamente rara es el LMS pleomórfico, del cual solo hemos encontrado publicados 4 casos en la literatura mundial1,3–5.
El LMS adrenal primario no presenta predominio por sexo ni tampoco lateralidad, siendo más frecuentes en edades medias de la vida, habiéndose comunicado casos desde los 25 a los 68 años1. Tampoco presenta factores de riesgo bien definidos, si bien se ha comunicado mayor incidencia en pacientes inmunodeprimidos infectados por el VIH y el virus de Epstein-Barr1,10.
De crecimiento rápido, como se puede apreciar en este caso (fig. 1), por debajo de 5cm suelen ser asintomáticos; son sus síntomas más frecuentes el dolor abdominal y lumbar, y la sensación de efecto masa en hipocondrio, así como la astenia y el adelgazamiento10. Por encima de 8cm, casi todos los casos comunicados presentaban metástasis a distancia en el momento del diagnóstico1,3,10.
En los análisis de laboratorio y hormonales, no se suelen detectar alteraciones significativas, y en las pruebas de imagen no se ha descrito ninguna característica específica de este tumor, si bien los tumores derechos con frecuencia se extienden por la vena cava inferior hasta el pilar diafragmático derecho1,7,8. En nuestro caso el tumor se extendía hasta la cápsula hepática.
En todos los casos comunicados el diagnóstico se realizó durante la cirugía o la autopsia, siendo por tanto la adrenalectomía el tratamiento de elección, si bien debido al tamaño del tumor en muchos casos se asoció la nefrectomía1,3. El papel de la quimioterapia y la radioterapia es controvertido, siendo comunicada su utilidad para el control sintomático del dolor o para la lesión metastásica1,6.
Anatomopatológicamente se trata de un tumor sólido carnoso, en ocasiones con áreas de necrosis. Histológicamente presenta patrón fasciculado con células fusiformes, con núcleos lobulados y nucléolos prominentes y alto índice de mitosis, con cierto grado de atipia nuclear y nucleolar. Inmunohistoquímicamente las células son positivas para vimentina, actina y desmina (fig. 2)9.
El pronóstico del LMS adrenal primario es malo, y se relaciona el grado de malignidad del tumor, la invasión local y las metástasis a distancia. Microscópicamente el número de mitosis por campo de gran aumento parece que tiene relación con la supervivencia4, con una supervivencia media de 8,4 meses en los pacientes con más de 10 mitosis/campo, que llega a los 48 meses en los casos de menos de 1010.
El LMS pleomórfico adrenal primario es una variante extremadamente rara, del cual solo hay comunicados 4 casos en PubMed1–5. De alto grado de malignidad, histológicamente se comporta como una tumoración no encapsulada con patrón sólido con áreas de necrosis y una marcada atipia citológica, altamente pleomórfico, con células de tamaño grande y marcadas irregularidades en tamaño nuclear con núcleos lobulados y nucléolos prominentes, y un alto índice de mitosis por campo de gran aumento. De los 4 casos, 3 eran mujeres y la media de edad fue de 49 (28-63) años. En 2 casos el síntoma predominante fue el dolor abdominal y en uno se trató de un incidentaloma. Tres casos presentaron metástasis al diagnóstico o en los 12 meses siguientes y, en cuanto al tratamiento, estuvo condicionado por la existencia de afectación extraglandular, recibiendo 2 casos quimioterapia y radioterapia, un caso cirugía y otro desconocido1,3–5.






