Mujer de 54 años con antecedentes de obesidad (IMC = 50,40). Intervenida en 2012 por hernia umbilical incarcerada que no requirió resección intestinal.
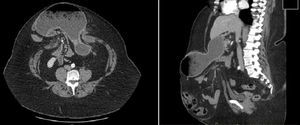
Actualmente presenta eventración de laparotomía media, causante de varios ingresos hospitalarios por suboclusión intestinal, resueltos conservadoramente. En TC abdominal se observa eventración gigante que contiene cuerpo y antro gástrico y asas de intestino delgado sin signos de complicación (fig. 1).
Es intervenida de forma programada para tratamiento de la obesidad mórbida y de la hernia incisional. Se realiza bypass gástrico con colocación de malla de Proceed® de 30×30cm.
El postoperatorio transcurre sin incidencias, siendo alta 7 días tras la intervención.
DiagnósticoEventración gigante con cuerpo y antro gástrico y asas de intestino delgado sin signos de complicación.





