La diverticulosis colónica es una entidad común que causa un proceso inflamatorio agudo en aproximadamente el 20% de los pacientes1. Alrededor del 20% de los pacientes intervenidos en forma electiva por complicaciones de la diverticulosis lo hacen por una fístula del colon con otro órgano, siendo la fístula colovesical la más frecuente y la colouterina una de las más inusuales2. Actualmente el tratamiento miniinvasivo de la enfermedad diverticular incluye la utilización de cirugía videolaparoscópica3 y la aplicación de programas de optimización perioperatoria o ERAS (Enhanced Recovery After Surgery)4.
Presentamos el caso de una mujer de 65 años con una fístula colouterina secundaria a enfermedad diverticular complicada, tratada mediante resección laparoscópica del colon sigmoides con preservación del útero en el marco de un programa ERAS5.
Se trata de una paciente con cirugía laparoscópica por endometriosis 30 años atrás, colonoscopia reciente que sólo mostraba divertículos en colon sigmoides, tabaquismo y obesidad (IMC 32 kg/m2). La paciente consultó por flujo vaginal purulento, sin otras manifestaciones clínicas, dos meses después de haber recibido tratamiento médico por primer episodio de diverticulitis aguda. Al examen colposcópico presentaba salida de pus por cuello uterino y leve dolor a la movilización del mismo.
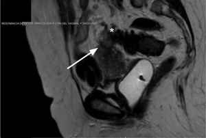
Se realizó enema opaco con doble contraste que mostró como único hallazgo patológico formaciones diverticulares sin signos de complicación y una resonancia magnética que identificó una fístula entre el colon sigmoide y el útero con características inflamatorias (fig. 1).
La paciente fue incluida en un programa ERAS, realizó preparación intestinal prequirúrgica mediante enema y se administró profilaxis antibiótica durante la inducción anestésica. Se realizó laparoscopia exploradora electiva observándose un proceso inflamatorio entre el colon sigmoides y el útero. Se procedió al desmontaje de la fístula colouterina mediante el uso de electrocauterio (fig. 2). Se completó sigmoidectomía por vía laparoscópica, con descenso del ángulo esplénico y anastomosis colorrectal primaria con doble sutura mecánica, según técnica previamente descrita6. La paciente evolucionó sin complicaciones y fue dada de alta hospitalaria al segundo día postoperatorio. El estudio histopatológico mostró una colopatía diverticular. En control ambulatorio al séptimo día postoperatorio, la paciente no presentaba flujo vaginal. Luego de 18 meses de seguimiento no tuvo complicaciones relacionadas con la patología tratada.
La fístula colouterina secundaria a diverticulitis es una entidad infrecuente con pocos casos reportados en la literatura mundial2. Quizás esto sea debido a que el grosor del miometrio ofrece gran resistencia al proceso inflamatorio subagudo que termina comunicando la luz del colon con el endometrio. Clínicamente se manifiesta por flujo vaginal purulento debido a la presencia de materia fecal en el útero, aunque también puede manifestarse como sepsis si hay acumulación de pus en la cavidad uterina. El antecedente de cirugía por endometriosis, aunque alejado, cobra importancia, ya que podría haber producido adherencias entre el colon sigmoides y el miometrio favoreciendo la progresión del proceso inflamatorio iniciado posteriormente.
El enema opaco no mostró la comunicación entre ambos órganos como sucede habitualmente7. Si bien la tomografía computarizada es muy sensible y específica para el diagnóstico de las complicaciones agudas de la diverticulosis, la identificación del trayecto fistuloso y la exclusión diagnóstica de una neoplasia es difícil. Por ello utilizamos la resonancia magnética que tiene mayor precisión para el diagnóstico de la fístula además de permitir determinar sus características inflamatorias8.
La cirugía constituye el tratamiento definitivo y la resección en bloque de ambos órganos es la estrategia más frecuentemente reportada9. Sin embargo, no existen guías claras sobre la necesidad de histerectomía en los casos en los que no hay piometra ni manifestaciones de sepsis. De este modo, considerando que la paciente no presentaba signos de inflamación sistémica (fiebre, leucocitosis, etc.), optamos por una estrategia conservadora, realizándose solamente la sigmoidectomía con anastomosis primaria. La resección laparoscópica tiene ventajas frente a la cirugía abierta con menos dolor, menor estadía hospitalaria y rápida recuperación10. Una adherencia del 83% a las medidas del protocolo ERAS en este caso en particular, contribuyó a la corta estadía hospitalaria y baja morbilidad.
Se hizo tratamiento antibiótico profiláctico durante la inducción anestésica similar al realizado para el tratamiento de las fístulas colovesicales. No se continuó el mismo en el postoperatorio debido al óptimo estado clínico de la paciente, sin signos de inflamación sistémica antes ni después del procedimiento, y a la falta de evidencias que indiquen otra conducta.
Esta rara entidad puede ser tratada adecuadamente en forma mínimamente invasiva sin necesidad de histerectomía en las condiciones clínicas aquí presentadas con alta hospitalaria temprana.






