La hernia interna es responsable de menos del 1% de la oclusión intestinal. La herniación a través del ligamento ancho útero-ovárico (LAUO) es una afección rara que constituye menos del 7% de todas las hernias internas1. Durante la pandemia de la COVID-19 múltiples factores han inducido en la población un estado legítimo de evitar acudir a urgencias y evitar un riesgo conceptualmente más elevado de infección por SARS-CoV-2. Inevitablemente los pacientes tienden a minimizar la gravedad de sus síntomas y llegan al hospital tarde, con una patología urgente y grave.
El objetivo de nuestro artículo es presentar un caso de obstrucción intestinal evolucionada en el que se hubiese podido evitar o minimizar la resección intestinal si la paciente hubiese acudido precozmente a urgencias. En el contexto de la pandemia por SARS-CoV-2 hemos detectado este problema en los servicios de urgencias, con la aparición de casos más evolucionados. Especialmente hemos detectado casos de abscesos periapendiculares y casos de diverticulitis Hinchey3 y4 que en nuestro centro solemos encontrar en fase más temprana de la enfermedad.
Se presenta el caso de una paciente de 43años con antecedentes de resección laparoscópica de quiste uterino 15años antes. La paciente acude a nuestro hospital tras un cuadro de dolor cólico rápidamente evolutivo y persistente desde 24h, acompañado de vómitos. A pesar de la intensidad del dolor abdominal y de la gravedad de sus síntomas, la paciente decidió no acudir al hospital rápidamente.
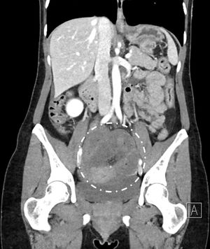
En urgencias, la paciente presenta distensión abdominal con dolor en el hemiabdomen inferior e irritación peritoneal a la palpación. La analítica muestra un síndrome inflamatorio con leucocitosis moderada (12.460G/l de glóbulos blancos), una proteínaC reactiva normal, LDH a 232U/l y anemia leve a 10,9g/dl de hemoglobina. La tomografía computarizada abdominal muestra una obstrucción intestinal mecánica con dilatación y signos de necrosis intestinal (fig. 1) con una sospecha de hernia interna estrangulada con zona de transición localizada en la pelvis. Se decide ingresar a la paciente y realizar intervención, y aplicamos el protocolo COVID-19 de nuestra institución, que conlleva realizar un test nasofaríngeo y una TC torácica; las pruebas complementarias no muestran signos de COVID-19 (resultados negativos).
El abordaje fue laparoscópico, encontrando un segmento intestinal de íleon necrótico de 70cm debido a una herniación interna de este en un foramen del LAUO izquierdo (fig. 2a). Por laparoscopia localizamos el defecto en el LAUO izquierdo de tipo ventana, según la clasificación de Hunt (fig. 2b)2. En vista de la dilatación del yeyuno proximal a la hernia y la necrosis ileal observada, se decidió reconversión en laparotomía pero con una incisión adaptada de 10cm. Se resecó el intestino necrótico realizando una anastomosis mecánica latero-lateral a unos 30cm de la válvula de Bauhin. El defecto del LAUO de 3cm (tipo3 según la clasificación de Cilley, fig. 2b)3 se cerró con una sutura de hilo barbado 3-0 no absorbible.
El postoperatorio transcurrió sin complicaciones y la paciente fue dada de alta al tercer día de postoperatorio. El control clínico a un mes postoperatorio ha sido sin particularidad.
Quain describe la primera hernia interna del LAUO en 1861 como un hallazgo de autopsia4. En 1934, Hunt propone una clasificación para este tipo de hernia interna. El tipo ventana muestra un defecto completo, es decir, de las dos capas peritoneales a través en el LAUO, y el tipo pouch muestra un defecto parcial de una sola capa peritoneal, anterior o posterior2.
En 1986, Cilley describió los defectos del ligamento ancho según la localización anatómica: tipo1 cuando se localizan caudalmente al LAUO, tipo2 cuando se sitúan por encima del ligamento redondo, y tipo3 cuando los defectos están entre el ligamento redondo y el resto del LAUO a través del mesoligamento redondo3.
El diagnóstico es intraoperatorio. Debe sospecharse en pacientes mujeres con síndrome obstructivo y sin antecedentes de laparotomía.
El origen del defecto generalmente es adquirido. Así, el embarazo, el parto, la enfermedad inflamatoria pélvica, la endometriosis o la cirugía son las causas más habituales. Debe sospecharse una causa congénita en pacientes nulíparas sin ningún evento ginecológico previo1,5.
El tratamiento es quirúrgico y consiste en la reducción de la hernia incarcerada, resección si procede del intestino necrótico y cierre del defecto. La laparoscopia se presenta como una opción segura y con una morbilidad comparable y una recuperación más temprana5-9. El abordaje mínimamente invasivo debe considerarse en el diagnóstico y el tratamiento de la hernia interna.
La hernia del defecto del LAUO es una urgencia quirúrgica a sospechar y añadir a la lista de diagnóstico diferencial en pacientes de sexo femenino con síndrome obstructivo o dolor suprapúbico, y más en pacientes sin ninguna laparotomía previa. El diagnóstico y la cirugía precoz reducen la morbimortalidad por estrangulamiento.
Universalmente10, debido a la pandemia de COVID-19 se ha creado un momento muy especial dentro del cual muchos pacientes demoran su llegada al hospital a pesar de una sintomatología grave y persistente por miedo a contraer la infección por SARS-CoV-2 en el hospital. Esto hace que ciertas afecciones tiendan a agravarse en cuanto a la morbimortalidad normalmente esperada.
FinanciaciónDeclaramos ausencia de financiación para este artículo.
Conflicto de interesesDeclaramos no tener conflicto de intereses.
Agradecemos la ayuda del servicio médico de cirugía general y visceral del hospital de Luxemburgo, así como el gran trabajo realizado por el equipo de enfermería.






