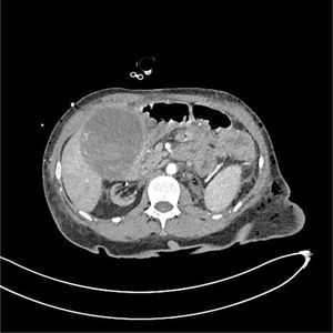
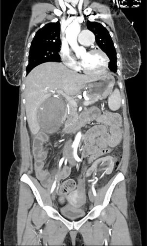
Paciente mujer de 47 años con antecedentes de nefropatía por inmunoglobulina A (IgA) que requirió trasplante renal en dos ocasiones y hemicolectomía derecha por perforación intestinal, en el posoperatorio inmediato de nefrectomía izquierda por neoplasia renal, presenta shock hipovolémico secundario a colecistitis necro-hemorrágica evidenciando sangrado activo en la tomografía axial computarizada (TAC) (figs. 1 y 2) realizada por sospecha de hemorragia posquirúrgica. Se efectúa una colecistectomía emergente encontrando 500 cc de contenido hemático en el interior de la vesícula y sangrado activo en el peritoneo parietal de la misma que cede tras la ligadura de la arteria cística. La paciente es dada de alta sin sufrir complicaciones.
AutoríaTodos los autores han leído y aprobado el manuscrito. Cada uno de los autores ha participado de forma relevante en el diseño y desarrollo del mismo, asimismo, todos ellos están de acuerdo con la versión definitiva del manuscrito.
Responsabilidades éticasPara la realización de este trabajo se han seguido los protocolos establecidos por dicho centro para acceder a los datos de la historia clínica.
FinanciaciónEste trabajo no ha recibido ningún tipo de financiación.
Conflicto de interesesLos autores declaran no tener ningún conflicto de intereses.



