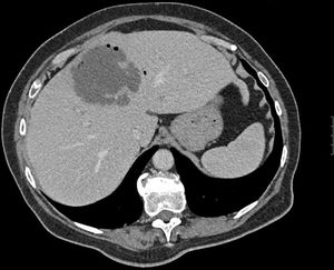
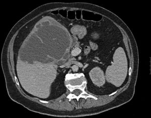
Mujer de 70 años hipertensa, diabética y con cardiopatía hipertensiva, que consulta por dolor en hipocondrio derecho de 2 semanas de evolución, fiebre y vómitos. Presenta fracaso renal e hipotensión refractaria. La TC urgente evidencia una colecistitis aguda litiásica con un absceso hepático de 13cm. Se realiza drenaje percutáneo urgente ecoguiado en quirófano, iniciando antibioterapia y soporte hemodinámico. Tras buena evolución clínica, es dada de alta al décimo día (figs. 1 y 2).
El confinamiento por el SARS-CoV-2 y el miedo al contagio hospitalario parecen conllevar un retraso diagnóstico grave que hará que los cirujanos nos enfrentemos a urgencias quirúrgicas más complejas.






