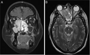
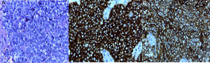
Mujer de 37 años con episodios de epistaxis y sensación de cuerpo extraño en fosa nasal. La resonancia magnética mostró extensa lesión neoformativa de 6cm con áreas necróticas comprometiendo la totalidad de la cavidad nasal, y extensión hacia la fosa craneal anterior, destrucción de la lámina papirácea con marcado efecto de masa hacia la cavidad orbitaria ipsilateral (fig. 1). La biopsia fue reportada como carcinoma neuroendocrino de células pequeñas (CNCP) (fig. 2). El CNCP es una enfermedad rara en la región nasosinusal, la sintomatología es inespecífica e incluye insuficiencia respiratoria, rinorrea y epistaxis. El comportamiento de esta neoplasia es localmente agresivo. Existe poca experiencia en el manejo de este tipo de tumores, la resección amplia como tratamiento inicial está indicada, y la radioterapia y/o quimioterapia como adyuvancia.
El factor de impacto mide la media del número de citaciones recibidas en un año por trabajos publicados en la publicación durante los dos años anteriores.
© Clarivate Analytics, Journal Citation Reports 2025
SJR es una prestigiosa métrica basada en la idea de que todas las citaciones no son iguales. SJR usa un algoritmo similar al page rank de Google; es una medida cuantitativa y cualitativa al impacto de una publicación.
Ver másSNIP permite comparar el impacto de revistas de diferentes campos temáticos, corrigiendo las diferencias en la probabilidad de ser citado que existe entre revistas de distintas materias.
Ver más





