Las complicaciones vasculares en la hernioplastia inguinal son frecuentes, siendo la más habitual la formación de hematomas. No obstante, la incidencia de complicaciones vasculares severas (incluyendo las lesiones de vasos femorales) es mucho menor, estimándose alrededor del 1%.
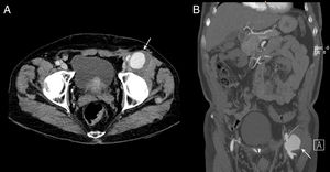
Presentamos un paciente que desarrolló un pseudoaneurisma de la arteria femoral común (AFC) tras hernioplastia inguinal mediante técnica de Lichtenstein, probablemente con relación a la fijación de la malla en la cirugía (fig. 1).
El paciente fue intervenido por Cirugía Vascular objetivando ruptura de la pared posterior de la AFC y colocándose un injerto con anastomosis término-terminal.





