Mujer de 82 años con cirrosis hepática por virus C, hipertensión portal, insuficiencia cardiaca e insuficiencia renal crónica, consulta por deterioro funcional, vómitos y dolor en hipocondrio derecho de tres días de evolución. Analíticamente presenta neutrofilia, acidosis metabólica y PCR 13,09.
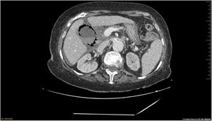
La TC abdominal con contraste muestra áreas en vidrio esmerilado bilaterales, periféricas, basales pulmonares, sugestivas de SARS-CoV-2 con PCR negativa. Vesícula biliar distendida con paredes llenas de aire y con barro biliar con líquido perihepático y pélvico (fig. 1).
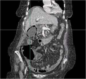
Se (fig. 2) descarta cirugía por elevada morbimortalidad, consensuando tratamiento conservador con antibióticos. Exitus a las 24 h del ingreso.
Diagnóstico: colecistitis enfisematosa.






