Introducción
El quiste de colédoco es una rara anomalía congénita de etiología desconocida. Presenta una incidencia de 1 caso por cada 100.000-200.000 nacidos vivos, siendo ésta mayor en Oriente. Se observa con mayor frecuencia en mujeres con una relación de 3:11,2.
Es la malformación quística del árbol biliar más frecuente en el niño, aunque también se han descrito en adolescentes y adultos jóvenes2,3.
El primero en describir el quiste de colédoco fue Vater en 1723. Desde entonces se han propuesto varias clasificaciones morfológicas, y las más utilizadas son la de Alonso-Lej (1959) y la de Todani (1977)4-6.
La tríada clásica de dolor, ictericia y masa abdominal es infrecuente; los síntomas habitualmente son intermitentes y poco específicos, lo cual puede conducir a un retraso diagnóstico1-3,6.
El propósito de este trabajo es describir un caso de perforación de quiste de colédoco en un varón de 12 años.
Caso clínico
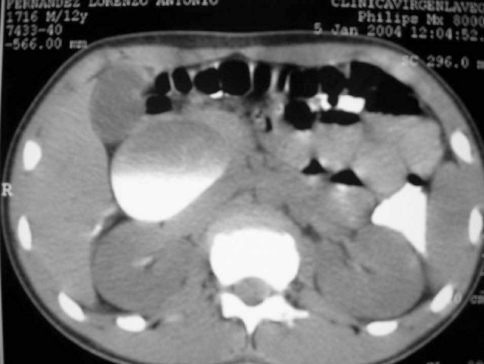
Paciente de 12 años que consulta por dolor en el epigastrio y el hipocondrio derecho de 24 h de evolución. En la exploración se aprecia dolor a la palpación en el epigastrio y el hipocondrio derecho sin signos de irritación peritoneal y discreta distensión abdominal en esa zona. Se realiza una analítica que evidencia leucocitosis (15.000) con desviación izquierda (83 S), elevación de amilasas en sangre y orina (100 y 1.200 UI) y fosfatasa alcalina de 1.121 UI. Se practica ecografía que revela una colesterolosis, un quiste de colédoco de tipo I y signos de pancreatitis aguda asociados. El paciente fue ingresado en planta y presentó mejoría clínica a las 24 h del ingreso. Se realiza un colangiotomografía computarizada (TC) abdominal que confirmó la presencia de un quiste de colédoco de tipo Ia de la clasificación de Todani, de 8,5 cm de diámetro (figs. 1 y 2). A las 48 h del ingreso el paciente presentó un aumento del dolor abdominal, por lo que se practicó una TC abdominal urgente que puso de manifiesto la persistencia del quiste y líquido perihepático y periesplénico, que no había en la exploración anterior, sin signos de necrosis pancreática. Ante la sospecha de perforación del quiste se decidió realizar una intervención quirúrgica urgente. Mediante laparotomía media suprainfraumbilical, se accedió a cavidad abdominal, donde se encontró una peritonitis biliar sin signos de infección. Se aspiraron aproximadamente 2 l de líquido y se lavó profusamente la cavidad peritoneal. Se comprobó la fuga biliar puntiforme en la cara anterior del quiste de colédoco que se encontraba necrosado en su unión con la bifurcación hepática. Se realizaron una colecistectomía reglada y una quistectomía completa, ligando el colédoco normal a su entrada en el páncreas, quedando el límite de la sección proximal en la bifurcación hepática. Se practicó una hepaticoyeyunostomía término-lateral con 2 tutores a ambos conductos hepáticos extraídos con el método de Witzel en el asa en Y de Roux de unos 60 cm de longitud, yeyunoyeyunostomía manual a pie de asa, drenaje tipo Penrose subhepático y cierre de la laparotomía por planos. El paciente evolucionó favorablemente, fue dado alta al décimo día postoperatorio y se encuentra asintomático a los 6 meses de la intervención.
El examen microscópico del quiste refiere que aparece erosionado de forma discontinua y recubierto por epitelio cilíndrico de núcleos redondos. La pared es fibrosa, colágena, con escaso componente de linfocitos.
Discusión y comentarios
La mayoría de los autores defiende como mecanismo patogénico la presencia de un conducto biliopancreático común. Esta malformación produce el reflujo del líquido pancreático en la vía biliar; de esta manera, la tripsina del jugo pancreático activada por los ácidos biliares erosiona la mucosa de la vía biliar y produce una dilatación secundaria de ésta. Según esta teoría, el quiste de colédoco es una lesión secundaria y no una malformación en sí2,5,7.
Aunque se han descrito casos familiares, no se han demostrado factores genéticos7.
El quiste de colédoco cursa con frecuencia con ictericia y/o dolor abdominal1,3,4,6,8. Por tanto, en niños con ictericia en los que no se demuestre claramente la presencia de una hepatitis es necesario investigar la anatomía del árbol biliar para descartar este problema. Asimismo, en niños con dolores abdominales recurrentes también es preciso descartar la presencia de un quiste de colédoco. Puede aparecer una elevación de las amilasas que la mayoría de las veces se debe a la difusión de amilasas a través del debilitado epitelio de la pared del quiste, aunque también pueden desarrollar una pancreatitis severa. En resumen, el quiste de colédoco debería incluirse en el diagnóstico diferencial de la ictericia y la pancreatitis, sobre todo en niños, ya que un retraso diagnóstico puede conducir a problemas graves1,2,6,8.
En cuanto a las complicaciones del quiste de colédoco, la más frecuente es la pancreatitis aguda, que se caracteriza por dolor abdominal con confirmación analítica. Otra complicación relativamente frecuente es la coledocolitiasis favorecida por el estasis biliar. La perforación del quiste es una complicación grave y poco frecuente, secundaria a la distensión e inflamación de la vía biliar; la peritonitis biliar secundaria a la perforación puede ser fatal. También se han descrito casos de cirrosis biliar secundaria, por lo que algunos autores recomiendan realizar una biopsia hepática, aunque el aspecto macroscópico del hígado sea normal. Es especialmente relevante la posible malignización, sobre todo en adultos en los que no se había diagnosticado previamente el quiste de colédoco o en los que habían sido intervenidos en la infancia sólo con una derivación biliodigestiva1-4,6-8.
Fig. 1. Colangiotomografía abdominal en la que se observa una gran masa quística de 8,5 cm de diámetro dependiente de la vía biliar extrahepática compatible con quiste de colédoco de tipo I.
Fig. 2. Reconstrucción en tres dimensiones donde se observa la vía biliar intrahepática y el quiste de colédoco dependiente de la vía biliar extrahepática.
La ecografía es el método de elección para el diagnóstico inicial. Con los ecógrafos de alta resolución es posible realizar el diagnóstico en el feto intraútero2,7. Algunos autores recomiendan la colangiografía transparietohepática como la técnica más útil para dar una visión de conjunto del árbol biliar2. Actualmente, la colangio-TC, como en nuestro caso, y la colangiorresonancia pueden ser de gran utilidad sin necesidad de recurrir a técnicas más cruentas3.
Una vez que el quiste de colédoco se ha diagnosticado debe ser tratado, con el fin de reducir al mínimo las complicaciones. La técnica obligada consiste en la exéresis completa del quiste y la reconstrucción mediante una hepaticoyeyunostomía en Y de Roux. Están contraindicadas las derivaciones porque no previenen una malignización posterior1-10.






