Introducción
La presencia de aire en la cavidad peritoneal o neumoperitoneo es una entidad frecuente que conduce a numerosas laparotomías de urgencia. La mayoría de las veces su causa es la perforación de una víscera hueca. En algunas ocasiones, el neumoperitoneo puede originarse en una entidad concreta que no va a requerir un tratamiento quirúrgico, o puede ser idiopático al no identificar un origen claro. Se presenta el caso de un paciente con un neumoperitoneo que requirió una laparotomía de urgencia pero que en el acto operatorio no se encontró ninguna causa intraabdominal que lo justificase. Se revisan las causas de neumoperitoneo, tanto quirúrgico como no quirúrgico.
Caso clínico
Paciente varón, de raza blanca y de 48 años de edad. Entre sus antecedentes patológicos destacaba: obesidad, una intervención quirúrgica años antes por un ulcus duodenal, una diabetes mellitus tipo 2 tratada con hipoglucemiantes orales, una intervención de prótesis de cadera bilateral, una enfermedad pulmonar obstructiva crónica más un cor pulmonale que había requerido ingresos hospitalarios en múltiples ocasiones y un síndrome de apnea obstructiva del sueño que precisaba el uso nocturno de aparato de presión positiva continua en las vías respiratorias.
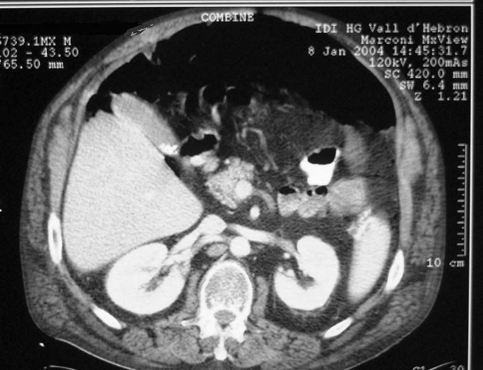
Ingresó en el servicio de neumología por un cuadro de sobreinfección respiratoria que evolucionó con una mala respuesta al tratamiento, con desarrollo de una insuficiencia respiratoria grave que precisó un ingreso en la unidad de cuidados intensivos (UCI) con intubación orotraqueal y ventilación mecánica. La evolución posterior fue satisfactoria y el paciente fue extubado y dado de alta de UCI a la planta de neumología al sexto día. A su llegada a planta el paciente presentó un empeoramiento de su estado general acompañado de distensión y dolor abdominal difuso, sin signos de irritación peritoneal y la aparición nuevamente de cuadro de insuficiencia respiratoria. Se realizó una tomografía computarizada abdominal de urgencia, donde se evidenció la presencia de un neumoperitoneo masivo (fig. 1). Se decidió realizar una intervención quirúrgica urgente, practicándose una laparotomía exploradora sin que se observara una perforación de víscera hueca ni ninguna otra causa intraabdominal de neumoperitoneo. El paciente siguió un curso posterior satisfactorio, tanto de la laparotomía como del cuadro respiratorio, y fue dado de alta hospitalaria al 10 día postoperatorio.
Fig. 1. Imagen de tomografía computarizada con neumoperitoneo masivo. Obsérvese la gran distensión abdominal secundaria a la presencia de aire en el interior.
Discusión
La causa de un neumoperitoneo suele ser la perforación de una víscera hueca en un 85-95% de las ocasiones1. Sin embargo, en el 5-15% restante la causa no se podrá atribuir a esta etiología, constituyendo lo que se ha denominado neumoperitoneo no quirúrgico, asintomático, benigno o idiopático2-4, que dará lugar a un dilema diagnóstico y terapéutico. La aproximación a este dilema se fundamenta básicamente en la historia clínica, la exploración física y los análisis complementarios, así como en los antecedentes del paciente. De esta manera, se puede encontrar un neumoperitoneo asociado con procesos endoscópicos gastrointestinales, como la colocación de una gastrostomía percutánea5, donde la resolución se suele producir espontáneamente y, salvo empeoramiento del paciente, no suele ser necesaria una laparotomía. La colocación de catéteres para diálisis peritoneal continua puede producir también un neumoperitoneo cuya resolución suele ser espontánea, salvo que se haya perforado una víscera hueca, en cuyo caso suele aparecer una peritonitis que determinará la práctica de una laparotomía6. Se ha descrito también el síndrome pospolipectomía endoscópica7. Se suele presentar con fiebre y dolor abdominal, el manejo de estos pacientes suele ser la administración de antibióticos intravenosos y la observación del curso del dolor, la fiebre y la leucocitosis y solo la mala evolución determinará la práctica de una laparotomía, ya que la mayoría de las veces se resolverá con tratamiento no quirúrgico. La neumatosis quística intestinal sería la causa más frecuente de neumoperitoneo no quirúrgico si se excluyen las causas relacionadas con un procedimiento terapéutico8. En esta entidad se produce una afección de la pared intestinal por quistes gaseosos en cualquier localización, aunque es más frecuente en el íleon terminal. Se desconoce su etiología, aunque se asocia a enfermedades del colágeno, trasplante de médula ósea,
enfermedad inflamatoria intestinal o síndrome de la inmunodeficiencia adquirida.
Las causas torácicas de neumoperitoneo no están tan claramente definidas como las abdominales descritas con anterioridad. No obstante, y aunque su prevalencia exacta se desconoce, parece ser que la ventilación mecánica es la causa torácica más frecuente de la presencia de aire libre en la cavidad peritoneal9. El manejo suele ser conservador, aunque se han descrito casos en los que se ha hecho necesaria una descompresión quirúrgica para evitar un síndrome compartimental abdominal10. Para explicar el paso de aire del tórax al abdomen se han mencionado los orificios anatómicos o la presencia de síndromes "porosos" del diafragma1. Otras causas más anecdóticas de neumoperitoneo son las que tienen un origen ginecológico1,9.
En nuestro caso, aunque no encontramos en el acto quirúrgico ninguna causa que lo justificase, probablemente se trataba de un neumoperitoneo en el contexto de una ventilación mecánica previa, con paso de aire de la cavidad torácica a la abdominal. De forma retrospectiva, es posible que un tratamiento no quirúrgico hubiera sido una conducta terapéutica adecuada; sin embargo, la descompensación del estado general del paciente, el desarrollo de una nueva insuficiencia respiratoria (probablemente en el contexto de una hiperpresión intrabdominal), acompañado del antecedente de una cirugía ulcerosa previa motivó la práctica de una laparotomía.
Podemos concluir que, ante la presencia de un neumoperitoneo, la actitud debe ser la sospecha de la perforación de una víscera hueca y, por tanto, la práctica de una laparotomía urgente. Sin embargo, en casos seleccionados donde los antecedentes patológicos, la historia clínica, la exploración física y los análisis complementarios sean favorables se puede optar por un manejo no quirúrgico con estrecha vigilancia del paciente y, ante cualquier empeoramiento, practicar una laparotomía.





