Fig. 1.
Fig. 2.
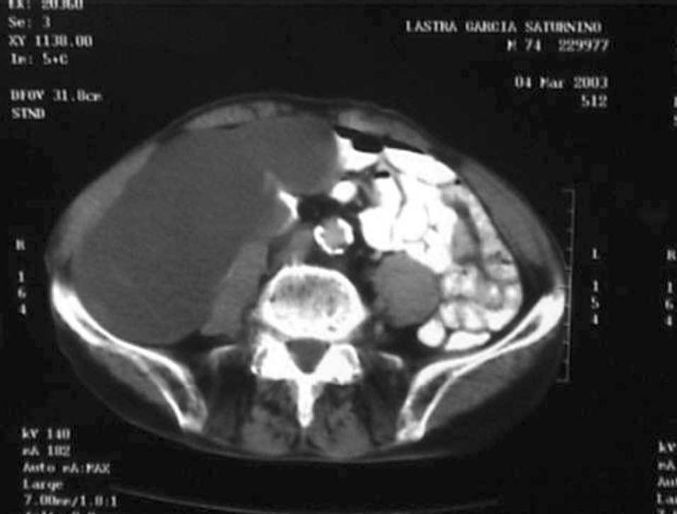
Varón de 76 años que presenta una masa blanda, no pulsátil e indolora en el hemiabdomen derecho. La tomografía computarizada (TC) helicoidal muestra una tumoración quística infracecal de 20 cm (fig. 1). En la punción-aspiración con aguja fina (PAAF) se obtiene material mucoide sin signos citológicos de malignidad. Se practicó una hemicolectomía derecha por una gran tumoración quística dependiente del ciego (fig. 2) cuyo informe anatomopatológico correspondió a un cistoadenoma apendicular.
Comentario
El mucocele apendicular es la dilatación quística del apéndice debido a la acumulación progresiva de material mucinoso como consecuencia de una obstrucción proximal de su luz. Se clasifican en 4 tipos histológicos: quistes de retención, hiperplasia mucosa, cistoadenomas y cistoadenocarcinomas. En los cistoadenomas la mucosa está revestida por un epitelio columnar con proyecciones papilares productores de mucina. Pueden originarse de novo o estar precedidos por un mucocele simple, no infiltran las paredes del apéndice y no producen metástasis, lo que se consideran rasgos de benignidad. Sin embargo, los cistoadenomas pueden presentar una transformación maligna en algunas circunstancias o tras una apendicectomía. La PAAF, aunque útil en la orientación diagnóstica, supone un riesgo de diseminación en caso de rotura. La apendicectomía es el tratamiento adecuado en los mucoceles simples; no obstante, este caso, debido al gran tamaño y al abundante material mucinoso similar al observado en los seudomixomas peritoneales, nos indujo a realizar un procedimiento más radical.






