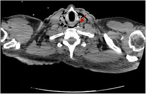
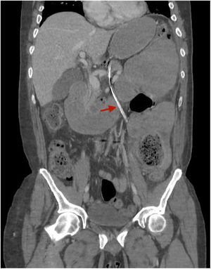
Varón de 46 años, con historia de múltitiples intervenciones abdominales, ingresado por oclusión intestinal. Se coloca sonda nasogástrica (SNG) que inicialmente no es productiva. Se solicita tomografía tóraco-abdominal por empeoramiento clínico, observándose un trayecto extraluminal de la SNG a nivel abdominal y torácico (fig. 1) sin hallar punto de perforación, y que se orienta como probable perforación a nivel cervical (fig. 2). La exploracion ORL identifica la perforación en cavum inferior, disecando la pared posterior de la faringe. Se retira la SNG, y se inicia tratamiento médico con corticoides, fluconazol y meropenem. El paciente presenta mejoría clínica radiológica e inicia tolerancia oral a la semana.
FinanciaciónLos autores confirman la ausencia de financiación alguna para la realización de este caso.






