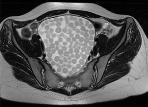
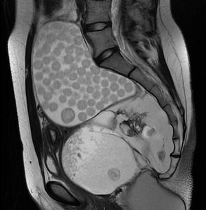
Paciente mujer de 23 años de edad, sin antecedentes conocidos, que consulta por retención aguda de orina recidivante. Se inicia estudio con ecografía abdominal, que se completa con TAC y RMN (figs. 1 y 2) de pelvis. Con hallazgos de teratoma sacrococcígeo de 12cm.
El teratoma quístico maduro es el tumor ovárico más común. Ofrece una imagen típica en RMN llamada en «bolsa de canicas», donde los glóbulos flotantes suelen tener un nido compuesto por detritos, material descamativo o vellos finos que es hiperintenso en T2 e hipointenso en T1.






