Las infecciones enfisematosas (formadoras de gas) abdominales presentan una elevada morbimortalidad1,2. La presencia de gas en el parénquima de órganos sólidos puede producirse en un heterogéneo grupo de enfermedades: infección por bacterias formadoras de gas, infarto y necrosis de dichos órganos o fístulas desde el tubo digestivo adyacente2. La pancreatitis enfisematosa (PE) es excepcional2,3,4,5,6,7,8. Este término no se adapta a la última clasificación de Atlanta, y para hablar con propiedad debería denominarse necrosis pancreática infectada con neumoperitoneo y retroneumoperitoneo, pero para facilitar la lectura seguiremos llamándolo PE9. Presentamos un paciente con PE por Kleibsella pneumoniae, neumoperitoneo (NP) y retroneumoperitoneo (RNP) sin perforación visceral.
Varón de 66 años, con antecedentes de: obesidad, HTA, diabetes mellitus tipo 2, ex fumador, síndrome de apnea obstructiva del sueño con espirometría con patrón mixto, herniorrafia inguinal, hiperplasia benigna de próstata, HDA por úlcera prepilórica y pancreatitis litiásica leve. Acude por dolor abdominal intenso, de 2h de evolución, de inicio brusco en hemiabdomen superior, que no cede con analgésicos y se acompaña de vómitos. Mantiene buenas constantes vitales (presión arterial, 130/80mmHg; frecuencia cardíaca, 96lat/min; frecuencia respiratoria 20/min, y temperatura, 36°C). En la analítica destacan 18.000 leucocitos; amilasa, 5.900; AST, 169; ALT, 105, y BT, 2,5g/dl; PCR, 0,8. En la ecografía abdominal se visualiza una vesícula distendida con barro biliar sin dilatación de la vía biliar. No se observa bien el páncreas, pero se ve aumentado de tamaño e hipoecoico. Tras 12h, empeora súbitamente su estado clínico, con agitación, sudor, taquipnea, livideces y agudización del dolor abdominal (presión arterial, 90/60mmHg; frecuencia cardíaca, 160lat/min). En la analítica presenta 15.500 leucocitos; glucosa, 332mg/dl; creatinina, 1,7mg/dl; PCR, 6,8mg/dl y acidosis metabólica. El abdomen está distendido sin peritonismo. Su situación clínica se agrava con hipotensión, mala perfusión periférica, bradicardia extrema y asistolia que precisa RCP. Hay deterioro analítico: leucocitos, 4.470; creatinina, 2,5mg/dl; pH 7,23, y bicarbonato, 10,9mmol/l, y precisa noradrenalina a altas dosis (30) y FiO2 al 100%. Se realiza tomografía computarizada abdominal, en la que se observa NP, RNP y gas en el páncreas (figura 1). Ante la sospecha de pancreatitis y perforación de víscera hueca, se decide intervención urgente, en la que no se observa perforación, sino un páncreas necrótico, hemorrágico y desestructurado circundado por un líquido serohemático maloliente. Se realiza colecistectomía, necrosectomía limitada, se colocan drenajes para lavados (Beger). En el líquido citado crece Kleibesella pneumoniae. El paciente se mantiene inestable, en anuria y fallece a las 24h.
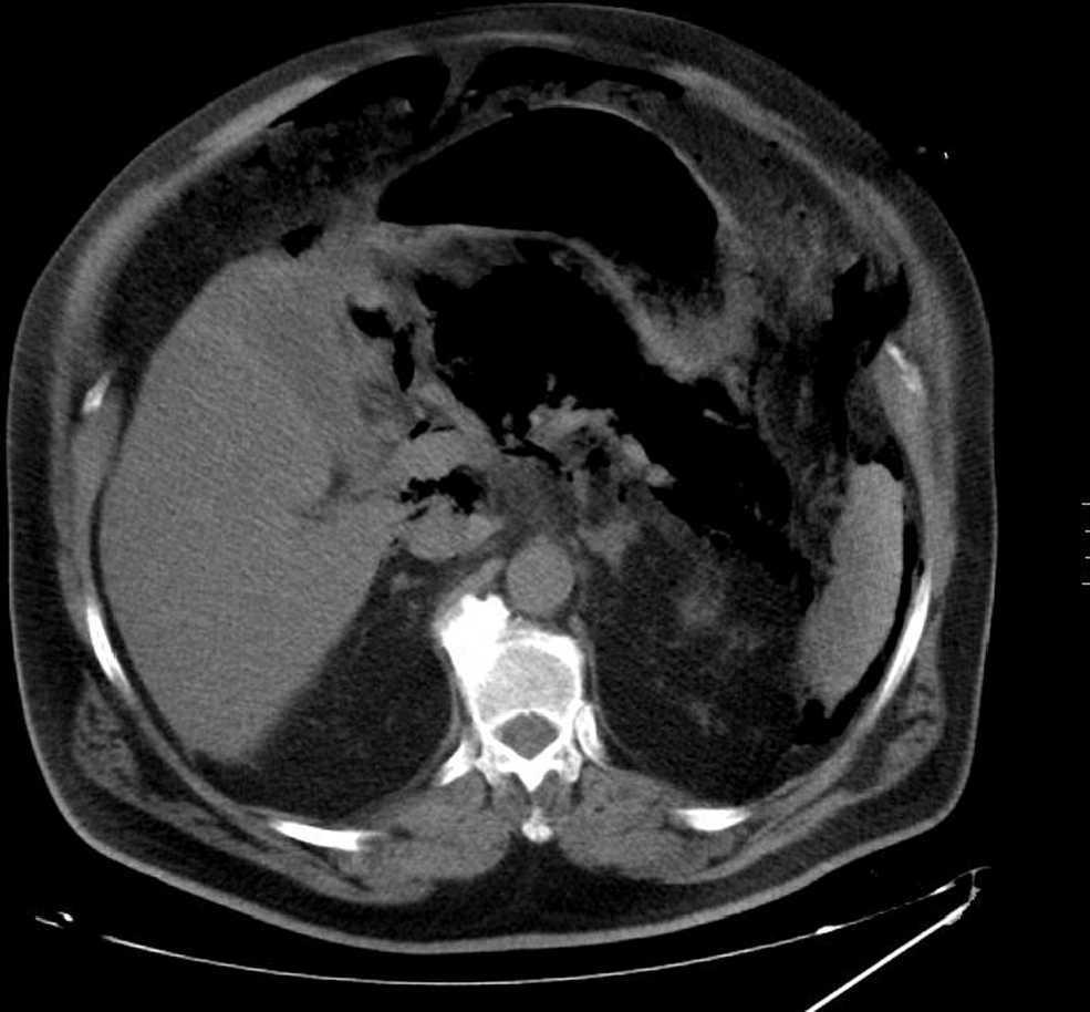
Figura 1. Tomografía computarizada abdominal: pancreatitis enfisematosa, neumoperitoneo y retroneumoperitoneo.
La PE es una forma excepcional de infección pancreática caracterizada por la presencia de gas en y alrededor del páncreas, causada por gérmenes productores de gas2,3,4,5,6,7,8. Las PE se clasifican en4,7,8: primarias o espontáneas cuando se producen sin manipulaciones instrumentales o enfermedades subyacentes, o secundarias si ocurren tras la realización de biopsias pancreáticas, instrumentaciones o asociadas a pancreatitis litiásica como en nuestro caso. Los pacientes con PE suelen presentar múltiples comorbilidades: insuficiencia renal crónica, diabetes mal controlada, tuberculosis o infección por el VIH1,3.
La PE puede producirse por diversos gérmenes anaerobios: Escherichia coli, Klebsiella, Pseudomonas, Enterobacter, Bacteroides o Clostridium perfringens2,3,4,5,6,7,8. Nuestro caso fue producido por Klebsiella pneumoniae, bacteria gramnegativa que puede ser productora de gas.
Existen varias teorías de cómo llega el germen anaerobio al lecho pancreático: vía hemática, vía linfática, por propagación transmural desde el colon, por translocación bacteriana, por reflujo duodenal o por migración desde el árbol biliar1,4,5,6. Al llegar las bacterias al páncreas pueden replicarse rápidamente y producir gas, ya que el tejido necrótico pancreático constituye un excelente medio de cultivo por su baja cantidad de oxígeno.
La tomografía computarizada abdominal es la técnica de elección en las infecciones enfisematosas del páncreas, ya que detecta el gas en el parénquima pancreático, evalúa su extensión y su localización1,3,4, y también permite detectar colecciones peripancreáticas o gas portal. El contraste intravenoso no es necesario para visualizar el gas, pero es útil para evaluar la necrosis pancreática1. Es importante destacar que aproximadamente un 20% de las necrosis pancreáticas infectadas muestran pequeñas ampollas de gas peripancreático y su presencia aislada no es específica de infección, ya que puede deberse a fístulas entéricas, infarto pancreático, reflujo duodenal tras esfinterotomía o manipulaciones instrumentales endoscópicas1,4,6,8. Una gran cantidad de gas sí es indicativa de PE8. La presencia de gas retroperitoneal en los pacientes con pancreatitis aguda grave es muy infrecuente (2,7%)2. La ecografía en la PE tiene una utilidad limitada. El gas se observa como focos múltiples irregulares ecogénicos con sombra sucia acústica posterior1.
La excepcionalidad de este caso consiste en que, añadido a la PE, ya infrecuente, se asoció NP y RNP sin perforación visceral4,7. Sólo 3 casos se han descrito previamente y la infección siempre fue por C. perfringens4,7. La existencia de perforaciones viscerales durante una pancreatitis aguda es una situación conocida; por ello, si en estos pacientes se detecta NP, se debe realizar una intervención quirúrgica urgente para solucionar la perforación4,7. Nosotros decidimos, ante los hallazgos de la tomografía y la pésima evolución clínica, asumir que el NP y el RNP se debían a una perforación. Pero en la laparotomía se comprobó exhaustivamente la ausencia de perforación visceral, especialmente del colon, que frecuentemente se afecta en las pancreatitis agudas graves10, y NP y RNP se debían a la difusión del gas pancreático vía peritoneal y retroperitoneal. Si bien para ciertos autores la presencia de NP y RNP en una PE no habría cambiado la decisión de laparotomía, ya que recomiendan efectuar siempre cirugía2,7, existen casos aislados de manejo conservador de la PE mediante drenaje percutáneo2. La mortalidad de la PE es muy alta2,3,4,5,6,7,8, especialmente en los casos con NP y NRP sin perforación4,7.





