La hemorragia digestiva en los pacientes trasplantados de páncreas es una entidad poco frecuente, pero está asociada a una alta morbilidad y mortalidad. Las causas más frecuentes son las hemorragias de la anastomosis duodenal y las hemorragias debido a infecciones por citomegalovirus. Pero ante la presencia de una hemorragia digestiva masiva en un paciente trasplantado pancreático, debemos sospechar un seudoaneurisma de las anastomosis vasculares del injerto.
Presentamos el caso clínico de un paciente varón de 47 años, con diabetes mellitus tipo 1, con complicaciones macrovasculares y microvasculares e insuficiencia renal crónica terminal en programa de hemodiálisis.
Se realizó un doble trasplante renal y pancreático en 1997. La reconstrucción vascular arterial pancreática se realizó mediante la anastomosis terminoterminal de la parte distal de la arteria mesentérica superior y la esplénica del injerto. La parte proximal de la arteria mesentérica del injerto se anastomosó con la arteria ilíaca derecha primitiva del receptor. La reconstrucción vascular venosa se realizó mediante anastomosis entre la vena porta del injerto y la vena cava distal. La derivación de la secreción exocrina se realizó mediante anastomosis laterolateral entre el duodeno del injerto y yeyuno proximal del receptor1,2. El postoperatorio cursó sin incidencias. La función del injerto renal se mantuvo estable durante 2 años, presentando posteriormente elevación de la creatinina plasmática debido a una nefropatía crónica del injerto de grado III. Reinició la hemodiálisis en 2005. En 2006 el paciente presentó aumento de la glucemia e inició la administración de insulina hasta la pérdida completa de la función pancreática por rechazo crónico del injerto.
El paciente acudió a urgencias a principios de 2008 por cuadro de diarreas asociado a dolor abdominal difuso y fiebre de 1 semana de evolución, acompañado de un episodio enterorragia. A su llegada se encontraba hemodinámicamente estable. Se realizó una ecografía en la que se observa un páncreas trasplantado hipoecoico de pequeño tamaño y con ligera cantidad de líquido libre a su alrededor.
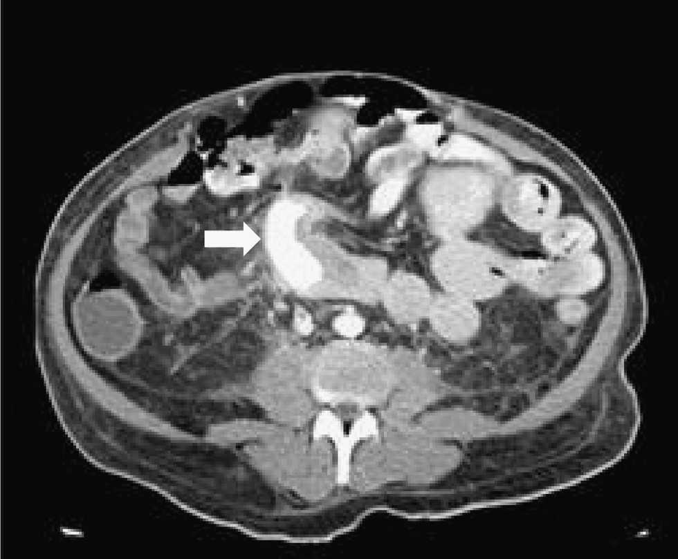
La realización de una fibrogastroscopia no mostró alteraciones significativas. Se continuó el estudio mediante la tomografía computarizada (TC) con contraste endovenoso, y se identificó un paso masivo de contraste a la luz del duodeno del injerto pancreático (figura 1). Durante la realización de la TC presentó varios episodios de enterorragias masivas y hemorragia digestiva alta.
Figura 1. Se observa la extravasación masiva del contraste endovenoso al duodeno del injerto y la presencia del contraste en asas de intestino delgado.
Dado que el paciente se encontraba en estado de shock hemodinámico, se decidió la intervención quirúrgica urgente. Se observó una pancreatitis aguda necrótica del injerto y distensión del duodeno y el yeyuno del receptor con sangre en su interior. Además se palpó una masa pulsátil en la anastomosis vascular arterial entre la esplénica y la mesentérica. Ante estos hallazgos, se practicó una arteriografía intraoperatoria que puso de manifiesto un seudoaneurisma de la anastomosis arterial esplenomesentérica del injerto, con extravasación de contraste hacia el duodeno del injerto (figura 2). Se embolizó mediante la inserción de coils a nivel de la arteria mesentérica del injerto. Una vez estabilizado el paciente se realizó la exéresis del injerto en bloque y la reconstrucción intestinal.
Figura 2. La arteriografía pone de manifiesto la extravasación de contraste a nivel de la arteria ilíaca y la presencia de un seudoaneurisma.
El trasplante simultáneo renopancreático es el tratamiento de elección de los pacientes con diabetes mellitus insulinodependiente e insuficiencia renal terminal. Las complicaciones vasculares en los trasplantes pancreáticos son inusuales, y su frecuencia está entre el 5 y el 8%3. La mayor parte son complicaciones hemorrágicas en el postoperatorio inmediato, relacionadas con el propio acto quirúrgico, o son complicaciones por trombosis de los vasos del injerto pancreático. Las complicaciones vasculares constituyen la principal causa de pérdida precoz del injerto3,4.
La hemorragia digestiva es poco frecuente en los receptores de trasplante pancreático, alrededor del 1%5. De las causas de hemorragia tardía, hay que destacar los seudoaneurismas de los vasos del injerto pancreático. Se observan en pacientes que han sufrido pancreatitis del injerto. La rotura se manifiesta clínicamente en forma de hemoperitoneo si se produce hacia la cavidad intraperitoneal o como una hemorragia digestiva cuando es hacia el tracto intestinal, en forma de enterorragias, melenas o rectorragias. El diagnóstico etiológico de la hemorragia digestiva puede constituir un verdadero reto, por la dificultad del acceso endoscópico a la anastomosis duodenoyeyunal.
La utilización de la TC será de gran utilidad con el propósito de identificar alteraciones patológicas en el segmento duodenal y el resto del tracto intestinal, así como puntos de hemorragia activa. Mediante angiografía selectiva confirmaremos el seudoaneurisma y su localización. Si la situación del paciente lo permite, lo embolizaremos con el propósito de detener la hemorragia activa. Si se logra el control de la hemorragia, es recomendable realizar la trasplantectomía del páncreas electivamente, dado que si no se lleva a cabo, un alto porcentaje sufre recurrencia de la hemorragia6,7.
Si la situación hemodinámica no es la adecuada, debemos tomar una actitud quirúrgica urgente, realizando la exéresis del seudoaneurisma, y del injerto si éste no es viable.
En los pacientes que han sido diagnosticados de un seudoaneurisma de forma incidental en el curso de una prueba de imagen, es recomendable la exéresis electiva del injerto no funcionante cuando el fallo del injerto esté bien documentado y se trate de pacientes con bajo riesgo anestésico, dado el riesgo potencial de hemorragia grave6,7,8.






