La pancreatitis aguda es una complicación rara en el seno del hiperparatiroidismo (HPT) primario. Las formas subagudas y crónicas calcificantes son las más habituales. Sin embargo, la pancreatitis aguda necrosante es excepcional. Los episodios de pancreatitis suelen ocurrir en el transcurso de las crisis de hipercalcemia. Presentamos el caso de una pancreatitis aguda necrosante como forma inicial de presentación de un caso de HPT primario.
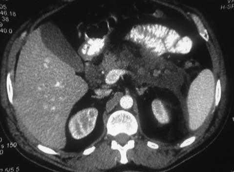
Varón de 30 años sin antecedentes de interés que refiere ingesta ocasional de alcohol sin tratamientos farmacológicos previos. Consulta en urgencias por un intenso dolor en epigastrio asociado a náuseas y vómitos. En la exploración resalta un intenso dolor a la palpación en epimesogastrio con defensa involuntaria y signos de irritación peritoneal. En la analítica se objetiva una leucocitosis de 22.400 con el 89% de neutrófilos, con amilasas en sangre y orina elevadas (1.850 y 3.420, respectivamente). La ecografía abdominal encontró una vesícula biliar normal sin litiasis con una desestructuración de la cabeza pancreática y líquido libre peripancreático. En la tomografía computarizada (TC) se halló una desestructuración completa de la glándula pancreática con líquido libre peripancreático (grado E de Balthazar) (fig. 1). Con el diagnóstico de pancreatitis aguda grave quedó ingresado en UCI; evolucionó favorablemente del cuadro abdominal, pero quedó como secuela una diabetes tratada con antidiabéticos orales. Un análisis de la serie iónica mostró: calcemia de 11,8 mg/dl, con fosforemia de 2,8 mg/dl. El análisis de paratirina (PTH) plasmática mostró unas concentraciones de 794 pg/ml, que así confirmó el cuadro de HPT primario. La ecografía cervical fue normal, y se observó hipercaptación de la glándula paratiroides inferior izquierda en el MIBI, compatible con adenoma, por lo que se indicó cirugía. El cribado genético del MEN I fue negativo. En la cirugía se objetivaron 3 glándulas normales, la inferior izquierda tenía aspecto adenomatoso y se extirpó. El análisis histológico confirmó el diagnóstico de adenoma de paratiroides. El paciente se encuentra asintomático 2 años después de la intervención, con cifras de calcemia normales y una TC abdominal de control que muestra un páncreas de morfología normal.
Fig.1.Pancreatitis aguda grave con importante desestructuración del tejido pancreático y líquido libre peripancreático y en celda renal como forma de inicio en un paciente afectado de hiperparatiroidismo primario por adenoma.
La incidencia de pancreatitis aguda por HPT primario oscila en el 1-8% según las series publicadas, y son excepcionales las formas necrosantes1,2. En un 30% de los casos la pancreatitis se manifiesta de forma aguda y leve, mientras que en un 34% es de tipo crónico. Así, en un 20% de los pacientes con HPT primario se objetivan calcificaciones pancreáticas en las diferentes pruebas de imagen3. Las pancreatitis pueden aparecer como inicio del HPT primario al igual que en nuestro caso; sin embargo, lo más frecuente es que acontezca en el seno de un hiperparatiroidismo ya conocido y ocasionalmente en el postoperatorio de una paratiroidectomía3. La pancreatitis aguda suele desarrollarse en el transcurso de una crisis de hipercalcemia, cualquiera sea su origen4. La etiología más frecuente en este sentido es el HPT primario. Por ello, las concentraciones elevadas de calcio iónico en sangre durante el episodio abdominal deben hacernos pensar en esta entidad y obliga a determinar los valores de PTH en plasma5. Se han relacionado positivamente las concentraciones de calcio iónico en sangre con la gravedad de la pancreatitis6. En los casos necrosantes la situación es extremadamente grave, con una morbilidad cercana al 50%4. En nuestro caso la evolución fue favorable, si bien quedó como secuela la diabetes. Una vez resuelto el cuadro abdominal la mejor profilaxis para evitar nuevos episodios de pancreatitis aguda es la cirugía con la exéresis del adenoma o las glándulas hiperplásicas. El
curso clínico de las formas subagudas y crónicas no se modifica con el tratamiento de la enfermedad paratiroidea7. Por último, se debe recordar que en pacientes jóvenes como el nuestro, es obligado realizar el cribado de la neoplasia endocrina múltiple mediante análisis genético del oncogén MENIN (MEN I), sobre todo en áreas geográficas donde la prevalencia de la enfermedad es alta, como en nuestro caso8.
Correspondencia: Dr. P.A. Cascales Campos. Olivo, 40, 2.° A. El Palmar. 30120 Murcia. España. Correo electrónico: cascalex@yahoo.es
Manuscrito recibido el 5-6-2007 y aceptado el 4-7-2007.





