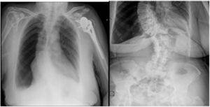
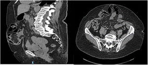
Mujer de 78 años con un índice de masa corporal (IMC) de 30,5 y antecedentes de colecistectomía a través de incisión subcostal derecha hace 42 años y hernioplastia umbilical hace cuatro años. Actualmente presenta eventración M2-3-4W2R1 (fig. 1) e índice de Tanaka de 28%, candidata a neumoperitoneo preoperatorio. Tras 72 horas de insuflación diaria de 1 litro, la paciente comienza con disnea y se realiza una radiografía abdomen-tórax, mostrando neumotórax masivo derecho (fig. 2) y requiriendo drenaje torácico e ingreso hospitalario. La paciente evoluciona favorablemente y es dada de alta al 6.° día.
Es importante el estrecho seguimiento con alto grado de sospecha para identificar y tratar precozmente las complicaciones. En la mayoría de los casos, estas no imposibilitan completar la cirugía exitosamente. Sin embargo, en nuestro caso sí impidió continuar con el plan preoperatorio previsto y provocó la renuncia definitiva a la cirugía.






