Introducción
Los tumores benignos esofágicos resultan poco frecuentes. Los lipomas esofágicos son tumores benignos, a menudo pediculados y capaces de migrar hacia diferentes localizaciones, lo que explica la variedad de síntomas. Representan un problema diagnóstico y terapéutico. La exéresis se indica en los casos sintomáticos y en los de gran tamaño para prevenir complicaciones, sobre todo respiratorias. El abordaje puede ser endoscópico o mediante cirugía externa en función del tamaño y la localización.
Caso clínico
Paciente de 73 años, con antecedentes de exéresis de pólipos faríngeos hace 8 y 18 años y exéresis de lipoma de seno piriforme hace 6 meses, que es remitido por el otorrinolaringólogo por persistencia de clínica de disfagia alta tras la cirugía, sin otros síntomas. Se le practica una endoscopia digestiva, que informa de tumor submucoso de 8 cm en el tercio superior de esófago, que afecta desde boca de Killian hasta tercio medio esofágico. Con la sonda de ecoendoscopia se visualiza una masa ecogénica de 1,5 cm de diámetro que procede de submucosa e indica lipoma esofágico. En el tránsito baritado se aprecia un defecto de repleción de unos 10 cm de longitud que ocupa la totalidad de la luz esofágica (fig. 1). En la resonancia magnética se visualiza una tumoración del mediastino posterior hiperintensa en las imágenes potenciadas en T1 y T2, cuyo polo superior depende de esófago cervical. La tomografía computarizada cervicotorácica informa de una tumoración cervical intraesofágica de 10 × 3,5 × 4 cm, de características radiológicas compatibles con tejido graso. Ante estos hallazgos se decidió intervención quirúrgica. Mediante un abordaje por cervicotomía lateral izquierda, se procedió a la disección del esófago cervical y esofagotomía longitudinal; se visualizó una masa elástica que ocupaba la totalidad de la luz esofágica y se procedió a su extracción. La tumoración medía unos 10 cm, con una base de implantación fina en la pared posterior del esófago cervical (fig. 2). Se procedió a resección y posterior esofagorrafia. El postoperatorio fue satisfactorio, y se dio el alta al sexto día.
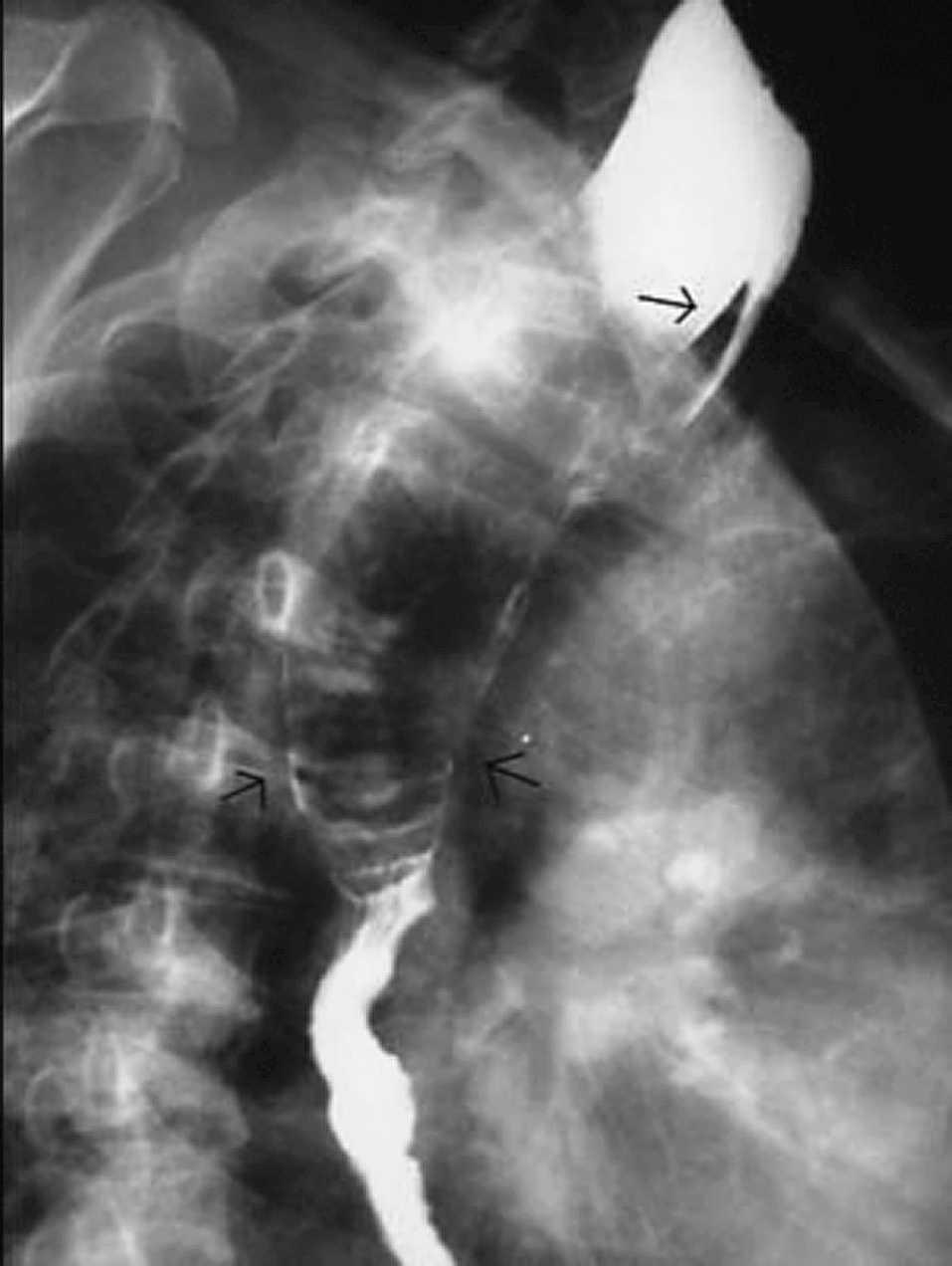
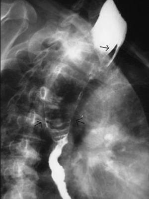
Fig 1. Tránsito baritado: ocupación total de luz esofágica por lipoma pediculado.
Fig. 2. Cirugía: lipoma exteriorizado por cervicotomía con base de implantación.
El informe patológico de la pieza resecada fue de tumoración de tejido adiposo maduro recubierto de tejido conectivo, que en su superficie presentaba epitelio escamoso, compatible con lipoma submucoso esofágico.
Discusión
Los tumores benignos esofágicos son raros. Representan menos del 1% de todas las neoplasias esofágicas1. Los lipomas se originan en la submucosa, habitualmente son tumores pequeños que no causan síntomas y no es necesario extirparlos. Ocasionalmente, y debido a las fuerzas peristálticas, el lipoma submucoso se elonga, se pedicula y acaba siendo una masa móvil endoluminal. Se han publicado menos de 20 casos de lipomas esofágicos resecados2.
Las manifestaciones clínicas dependen de la posición del lipoma. El hecho de que sean pediculados hace que sean capaces de migrar y explica la variedad de los síntomas. Como el esófago puede acomodarse al crecimiento gradual de una masa benigna, muchos pacientes no tienen síntomas hasta que el tumor alcanza tamaños considerables. Los sintomas pueden ser disfagia, dolor torácico, disnea, disfonía, hipersialorrea y, en raras ocasiones, sangrado digestivo por ulceración del tumor. Se han descrito casos de obstrucción respiratoria aguda por migración del tumor a la vía aérea3,4. La mayoría, sin embargo, cursa de forma asintomática y se diagnostica durante exámenes endoscópico o radiológico habituales.
En cuanto al diagnóstico, fácilmente se reconocen en la endoscopia por su superficie lisa, elástica y de color amarillento. La biopsia endoscópica es difícil porque la mucosa tiende a retraerse con facilidad. En la ecoendoscopia se observa una lesión hiperecogénica y homogénea originada en la capa submucosa del esófago. El tránsito baritado muestra un defecto de repleción intraesofágico con dilatación esofágica. Con la introducción de la tomografía computarizada, el diagnóstico es más preciso y demuestra una masa de densidad grasa intraluminal. En ese caso hay que diferenciarlo de una entidad denominada lipomatosis esofágica, relacionada con el uso de esteroides. La imagen tomográfica del lipoma es una masa de densidad grasa central rodeada de la pared esofágica normal. En contraste, en la lipomatosis esofágica se observa un "doble anillo" por el depósito intramural de grasa, probablemente localizado entre las capas del músculo estriado de la porción proximal del esófago5. Esta apariencia es patognomónica, lo que facilita el diagnóstico diferencial entre ambas entidades y evita, por consiguiente, investigaciones y cirugías innecesarias.
En cuanto al tratamiento, en caso de lipomas pequeños y asintomáticos, se recomienda conducta expectante con controles endoscópicos y/o radiológicos. Cuando nos hallamos ante una tumoración de tamaño apreciable, está indicada la escisión para prevenir la obstrucción laríngea aguda5. La exéresis puede ser endoscópica o por cirugía externa, en función del tamaño del lipoma. Se han descrito casos de asfixia súbita al movilizar el lipoma durante las maniobras endoscópicas6.
Correspondencia: Dra. S. Castro i Boix.
Unidad de Cirugía Esofagogástrica. Hospital General.
Hospital Vall d'Hebron.
Pg. de la Vall d'Hebron,119-129. 08035 Barcelona. España.
Manuscrito recibido el 29-8-2005 y aceptado el 6-9-2005.






