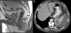
Varón de 66 años, en seguimiento por carcinoma epidermoide de laringe T4N0M0. Presenta tumoración ulcerada a nivel de margen anal izquierdo de 10×5cm de 2 meses de evolución. La resonancia magnética identifica una tumoración perianal con posible infiltración de músculo puborrectal e implante metastásico a nivel de coxis (fig. 1A). Mediante tomografía computarizada se aprecian múltiples adenopatías inguinofemorales y mesentéricas, con metástasis a nivel del riñón izquierdo y en el bazo. Esta última alcanza los 6cm y condiciona un hematoma subcapsular contenido (fig. 1B). La biopsia anal muestra carcinoma epidermoide de canal anal.
El factor de impacto mide la media del número de citaciones recibidas en un año por trabajos publicados en la publicación durante los dos años anteriores.
© Clarivate Analytics, Journal Citation Reports 2025
SJR es una prestigiosa métrica basada en la idea de que todas las citaciones no son iguales. SJR usa un algoritmo similar al page rank de Google; es una medida cuantitativa y cualitativa al impacto de una publicación.
Ver másSNIP permite comparar el impacto de revistas de diferentes campos temáticos, corrigiendo las diferencias en la probabilidad de ser citado que existe entre revistas de distintas materias.
Ver más




